Skip to main content

Menin Antibody (JE30-97)

Novus Biologicals, part of Bio-Techne | Catalog # NBP3-32588

Recombinant Monoclonal Antibody
Novus Biologicals, part of Bio-Techne
Catalog #
Availability
Size / Price
Qty
Loading...
NBP3-32588

Key Product Details

Species Reactivity

Human

Applications

Immunohistochemistry, Immunohistochemistry-Paraffin, Western Blot

Label

Unconjugated

Antibody Source

Recombinant Monoclonal Rabbit IgG Clone # JE30-97 expressed in HEK293

Concentration

1 mg/ml

Product Specifications

Immunogen

Synthetic peptide within Human Menin aa 566-615 / 615. (Uniprot: O00255)

Localization

Nucleus

Clonality

Monoclonal

Host

Rabbit

Isotype

IgG

Theoretical MW

68 kDa.
Disclaimer note: The observed molecular weight of the protein may vary from the listed predicted molecular weight due to post translational modifications, post translation cleavages, relative charges, and other experimental factors.

Description

Novus Biologicals Rabbit Menin Antibody (JE30-97) (NBP3-32588) is a recombinant monoclonal antibody validated for use in IHC and WB. All Novus Biologicals antibodies are covered by our 100% guarantee.

Scientific Data Images for Menin Antibody (JE30-97)

Menin Antibody (JE30-97)

Western Blot: Menin Antibody (JE30-97) [NBP3-32588]

Western Blot: Menin Antibody (JE30-97) [NBP3-32588] - Western blot analysis of Menin on different lysates with Rabbit anti-Menin antibody (NBP3-32588) at 1/500 dilution.

Lane 1: 293 cell lysate
Lane 2: PC-3M cell lysate
Lane 3: Jurkat cell lysate

Lysates/proteins at 10 ug/Lane.

Predicted band size: 68 kDa
Observed band size: 68 kDa

Exposure time: 2 minutes;

8% SDS-PAGE gel.

Proteins were transferred to a PVDF membrane and blocked with 5% NFDM/TBST for 1 hour at room temperature. The primary antibody (NBP3-32588) at 1/500 dilution was used in 5% NFDM/TBST at room temperature for 2 hours. Goat Anti-Rabbit IgG - HRP Secondary Antibody at 1:200,000 dilution was used for 1 hour at room temperature.
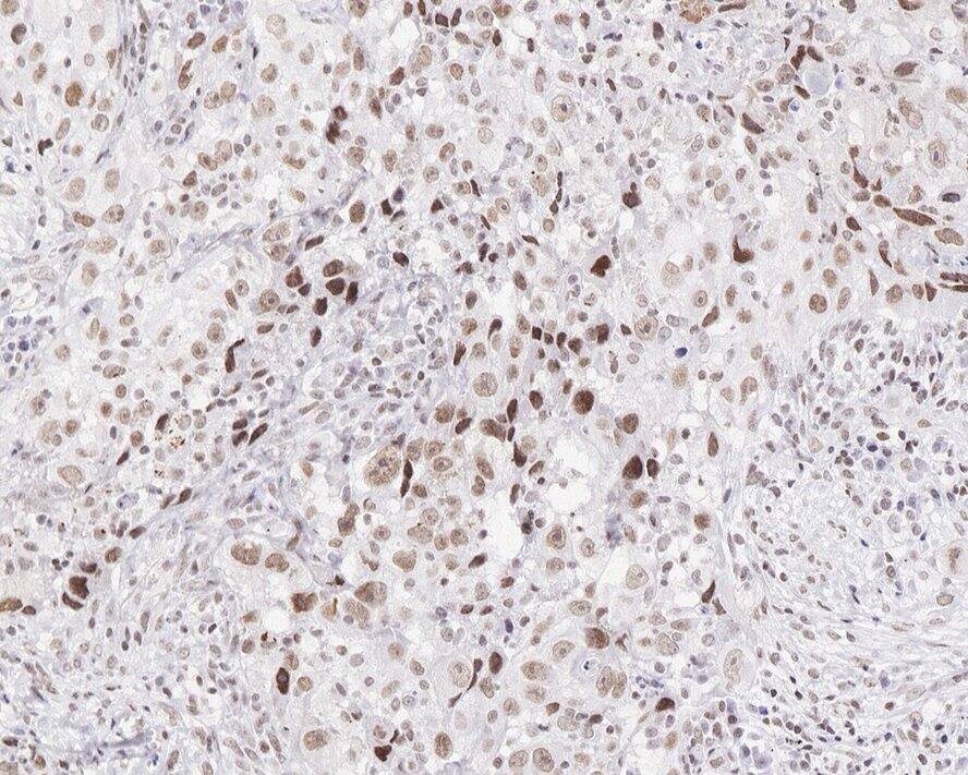
Menin Antibody (JE30-97)

Immunohistochemistry: Menin Antibody (JE30-97) [NBP3-32588]

Immunohistochemistry: Menin Antibody (JE30-97) [NBP3-32588] - Immunohistochemical analysis of paraffin-embedded human lung cancer tissue with Rabbit anti-Menin antibody (NBP3-32588) at 1/200 dilution.

The section was pre-treated using heat mediated antigen retrieval with Tris-EDTA buffer (pH 9.0) for 20 minutes. The tissues were blocked in 1% BSA for 20 minutes at room temperature, washed with ddH2O and PBS, and then probed with the primary antibody (NBP3-32588) at 1/200 dilution for 1 hour at room temperature. The detection was performed using an HRP conjugated compact polymer system. DAB was used as the chromogen. Tissues were counterstained with hematoxylin and mounted with DPX.

Applications for Menin Antibody (JE30-97)

Application
Recommended Usage

Immunohistochemistry-Paraffin

1:200

Western Blot

1:500-1:1000

Formulation, Preparation, and Storage

Purification

Protein A purified

Formulation

1*TBS (pH7.4), 0.05% BSA and 40% Glycerol

Preservative

0.05% Sodium Azide

Concentration

1 mg/ml

Shipping

The product is shipped with polar packs. Upon receipt, store it immediately at the temperature recommended below.

Stability & Storage

Store at 4C short term. Aliquot and store at -20C long term. Avoid freeze-thaw cycles.

Background: Menin

Multiple Endocrine Neoplasia is an autosomal dominant disorder characterized by a high frequency of peptic ulcer disease and primary endocrine abnormalities involving the pituitary, parathyroid, and pancreas.

Long Name

Multiple Endocrine Neoplasia I

Alternate Names

MEAI, MEN1

Gene Symbol

MEN1

Additional Menin Products

Product Documents for Menin Antibody (JE30-97)

Certificate of Analysis

To download a Certificate of Analysis, please enter a lot number in the search box below.

Product Specific Notices for Menin Antibody (JE30-97)

This product is for research use only and is not approved for use in humans or in clinical diagnosis. Primary Antibodies are guaranteed for 1 year from date of receipt.

Loading...
Loading...
Loading...
Loading...