Skip to main content

MEK2 Antibody

Novus Biologicals, part of Bio-Techne | Catalog # NBP2-17268

Novus Biologicals, part of Bio-Techne
Catalog #
Availability
Size / Price
Qty
Loading...
NBP2-17268

Key Product Details

Species Reactivity

Validated:

Human, Mouse, Rat

Cited:

Porcine

Predicted:

Bovine (100%), Canine (100%), Chicken (99%). Backed by our 100% Guarantee.

Applications

Validated:

Immunohistochemistry, Immunohistochemistry-Paraffin, Western Blot, Immunocytochemistry/ Immunofluorescence

Cited:

Western Blot

Label

Unconjugated

Antibody Source

Polyclonal Rabbit IgG

Concentration

Concentrations vary lot to lot. See vial label for concentration. If unlisted please contact technical services.

Product Specifications

Immunogen

Recombinant protein encompassing a sequence within the center region of human MEK2. The exact sequence is proprietary.

Reactivity Notes

Porcine reactivity reported in scientific literature (PMID: 31757483).

Clonality

Polyclonal

Host

Rabbit

Isotype

IgG

Theoretical MW

44 kDa.
Disclaimer note: The observed molecular weight of the protein may vary from the listed predicted molecular weight due to post translational modifications, post translation cleavages, relative charges, and other experimental factors.

Description

Novus Biologicals Rabbit MEK2 Antibody (NBP2-17268) is a polyclonal antibody validated for use in IHC, WB and ICC/IF. Anti-MEK2 Antibody: Cited in 1 publication. All Novus Biologicals antibodies are covered by our 100% guarantee.

Scientific Data Images for MEK2 Antibody

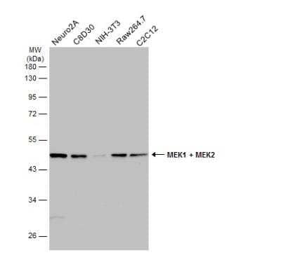
Western Blot: MEK2 Antibody [NBP2-17268]

Western Blot: MEK2 Antibody [NBP2-17268]

Western Blot: MEK2 Antibody [NBP2-17268] - Various whole cell extracts (30 ug) were separated by 10% SDS-PAGE, and the membrane was blotted with MEK1 + MEK2 antibody diluted at 1:500. The HRP-conjugated anti-rabbit IgG antibody (NBP2-19301) was used to detect the primary antibody.
Immunocytochemistry/ Immunofluorescence: MEK2 Antibody [NBP2-17268]

Immunocytochemistry/ Immunofluorescence: MEK2 Antibody [NBP2-17268]

Immunocytochemistry/Immunofluorescence: MEK2 Antibody [NBP2-17268] - Analysis of methanol-fixed HCT116, using antibody at 1:500 dilution.
Immunohistochemistry-Paraffin: MEK2 Antibody [NBP2-17268]

Immunohistochemistry-Paraffin: MEK2 Antibody [NBP2-17268]

Immunohistochemistry-Paraffin: MEK2 Antibody [NBP2-17268] - HBL435 xenograft, using MEK1 + MEK2 antibody at 1:500 dilution. Antigen Retrieval: Trilogy™ (EDTA based, pH 8.0) buffer, 15min.

Applications for MEK2 Antibody

Application
Recommended Usage

Immunocytochemistry/ Immunofluorescence

1:100-1:1000

Immunohistochemistry

1:100-1:1000

Immunohistochemistry-Paraffin

1:100-1:1000

Western Blot

1:500-1:10000

Formulation, Preparation, and Storage

Purification

Antigen Affinity-purified

Formulation

PBS, 1% BSA, 20% Glycerol

Preservative

0.01% Thimerosal

Concentration

Concentrations vary lot to lot. See vial label for concentration. If unlisted please contact technical services.

Shipping

The product is shipped with polar packs. Upon receipt, store it immediately at the temperature recommended below.

Stability & Storage

Aliquot and store at -20C or -80C. Avoid freeze-thaw cycles.

Background: MEK2

The protein encoded by this gene is a dual specificity protein kinase that belongs to the MAP kinase kinase family. This kinase is known to play a critical role in mitogen growth factor signal transduction. It phosphorylates and thus activates MAPK1/ERK2 and MAPK2/ERK3. The activation of this kinase itself is dependent on the Ser/Thr phosphorylation by MAP kinase kinase kinases. Mutations in this gene cause cardiofaciocutaneous syndrome (CFC syndrome), a disease characterized by heart defects, mental retardation, and distinctive facial features similar to those found in Noonan syndrome. The inhibition or degradation of this kinase is also found to be involved in the pathogenesis of Yersinia and anthrax. A pseudogene, which is located on chromosome 7, has been identified for this gene. [provided by RefSeq]

Long Name

Mitogen-activated Protein Kinase Kinase 2

Alternate Names

MAP2K2, MKK2

Gene Symbol

MAP2K2

UniProt

Additional MEK2 Products

Product Documents for MEK2 Antibody

Certificate of Analysis

To download a Certificate of Analysis, please enter a lot number in the search box below.

Product Specific Notices for MEK2 Antibody

This product is for research use only and is not approved for use in humans or in clinical diagnosis. Primary Antibodies are guaranteed for 1 year from date of receipt.

Loading...
Loading...
Loading...
Loading...

⚠ WARNING: This product can expose you to chemicals including mercury, which is known to the State of California to cause reproductive toxicity with developmental effects.  For more information go to www.P65Warnings.ca.gov.