mediator of cell motility 1 Antibody - BSA Free
Novus Biologicals, part of Bio-Techne | Catalog # NBP3-38565
Key Product Details
Species Reactivity
Human, Mouse, Rat
Applications
Immunohistochemistry, Immunohistochemistry-Paraffin, Western Blot, ELISA
Label
Unconjugated
Antibody Source
Polyclonal Rabbit IgG
Format
BSA Free
Concentration
Please see the vial label for concentration. If unlisted please contact technical services.
Product Specifications
Immunogen
Recombinant fusion protein containing a sequence corresponding to amino acids 1-297 of human mediator of cell motility 1 (NP_057039.1).
Sequence:
MSNRVVCREASHAGSWYTASGPQLNAQLEGWLSQVQSTKRPARAIIAPHAGYTYCGSCAAHAYKQVDPSITRRIFILGPSHHVPLSRCALSSVDIYRTPLYDLRIDQKIYGELWKTGMFERMSLQTDEDEHSIEMHLPYTAKAMESHKDEFTIIPVLVGALSESKEQEFGKLFSKYLADPSNLFVVSSDFCHWGQRFRYSYYDESQGEIYRSIEHLDKMGMSIIEQLDPVSFSNYLKKYHNTICGRHPIGVLLNAITELQKNGMNMSFSFLNYAQSSQCRNWQDSSVSYAAGALTVH
Sequence:
MSNRVVCREASHAGSWYTASGPQLNAQLEGWLSQVQSTKRPARAIIAPHAGYTYCGSCAAHAYKQVDPSITRRIFILGPSHHVPLSRCALSSVDIYRTPLYDLRIDQKIYGELWKTGMFERMSLQTDEDEHSIEMHLPYTAKAMESHKDEFTIIPVLVGALSESKEQEFGKLFSKYLADPSNLFVVSSDFCHWGQRFRYSYYDESQGEIYRSIEHLDKMGMSIIEQLDPVSFSNYLKKYHNTICGRHPIGVLLNAITELQKNGMNMSFSFLNYAQSSQCRNWQDSSVSYAAGALTVH
Clonality
Polyclonal
Host
Rabbit
Isotype
IgG
Theoretical MW
34 kDa.
Disclaimer note: The observed molecular weight of the protein may vary from the listed predicted molecular weight due to post translational modifications, post translation cleavages, relative charges, and other experimental factors.
Disclaimer note: The observed molecular weight of the protein may vary from the listed predicted molecular weight due to post translational modifications, post translation cleavages, relative charges, and other experimental factors.
Description
Novus Biologicals Rabbit mediator of cell motility 1 Antibody - BSA Free (NBP3-38565) is a polyclonal antibody validated for use in IHC, WB and ELISA. All Novus Biologicals antibodies are covered by our 100% guarantee.
Scientific Data Images for mediator of cell motility 1 Antibody - BSA Free
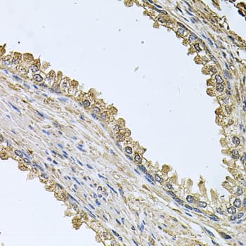
Immunohistochemistry: mediator of cell motility 1 Antibody [NBP3-38565] -
Immunohistochemistry: mediator of cell motility 1 Antibody [NBP3-38565] - Immunohistochemistry analysis of paraffin-embedded Rat brain using mediator of cell motility 1 Rabbit pAb at dilution of 1:100 (40x lens). Microwave antigen retrieval performed with 0.01M PBS Buffer (pH 7.2) prior to IHC staining.Immunohistochemistry: mediator of cell motility 1 Antibody [NBP3-38565] -
Immunohistochemistry: mediator of cell motility 1 Antibody [NBP3-38565] - Immunohistochemistry analysis of paraffin-embedded Human prostate using mediator of cell motility 1 Rabbit pAb at dilution of 1:100 (40x lens). Microwave antigen retrieval performed with 0.01M PBS Buffer (pH 7.2) prior to IHC staining.Western Blot: mediator of cell motility 1 Antibody [NBP3-38565] -
Western Blot: mediator of cell motility 1 Antibody [NBP3-38565] - Western blot analysis of various lysates using mediator of cell motility 1 Rabbit pAb at 1:1000 dilution.Secondary antibody: HRP-conjugated Goat anti-Rabbit IgG (H+L) at 1:10000 dilution.
Lysates/proteins: 25ug per lane.
Blocking buffer: 3% nonfat dry milk in TBST.
Detection: ECL Enhanced Kit.
Exposure time: 60s.
Applications for mediator of cell motility 1 Antibody - BSA Free
Application
Recommended Usage
Immunohistochemistry-Paraffin
1:50 - 1:100
Western Blot
1:500 - 1:2000
Formulation, Preparation, and Storage
Purification
Affinity purified
Formulation
PBS (pH 7.3), 50% glycerol
Format
BSA Free
Preservative
0.02% Sodium Azide
Concentration
Please see the vial label for concentration. If unlisted please contact technical services.
Shipping
The product is shipped with polar packs. Upon receipt, store it immediately at the temperature recommended below.
Stability & Storage
Store at -20C. Avoid freeze-thaw cycles.
Background: mediator of cell motility 1
Alternate Names
C21orf19-like protein, C2orf4DKFZp434I0135, CGI-27, FLJ25031, HCV NS5A-transactivated protein 7, Hepatitis C virus NS5A-transactivated protein 7, mediator of cell motility 1, Mediator of ErbB2-driven cell motility 1, memo-1, MEMOchromosome 2 open reading frame 4, NS5ATP7, protein MEMO1
Gene Symbol
MEMO1
Additional mediator of cell motility 1 Products
Product Documents for mediator of cell motility 1 Antibody - BSA Free
Product Specific Notices for mediator of cell motility 1 Antibody - BSA Free
This product is for research use only and is not approved for use in humans or in clinical diagnosis. Primary Antibodies are guaranteed for 1 year from date of receipt.
Loading...
Loading...
Loading...
Loading...