Skip to main content

MED12 Antibody

Novus Biologicals, part of Bio-Techne | Catalog # NBP3-32585

Novus Biologicals, part of Bio-Techne
Catalog #
Availability
Size / Price
Qty
Loading...
NBP3-32585

Key Product Details

Species Reactivity

Human

Applications

Immunohistochemistry, Immunohistochemistry-Paraffin, Western Blot

Label

Unconjugated

Antibody Source

Polyclonal Rabbit IgG

Concentration

1 mg/ml

Product Specifications

Immunogen

Recombinant protein within human MED12 aa 1250-1450. (Uniprot: Q93074)

Localization

Nucleus.

Clonality

Polyclonal

Host

Rabbit

Isotype

IgG

Theoretical MW

243 kDa.
Disclaimer note: The observed molecular weight of the protein may vary from the listed predicted molecular weight due to post translational modifications, post translation cleavages, relative charges, and other experimental factors.

Description

Novus Biologicals Rabbit MED12 Antibody (NBP3-32585) is a polyclonal antibody validated for use in IHC and WB. All Novus Biologicals antibodies are covered by our 100% guarantee.

Scientific Data Images for MED12 Antibody

MED12 Antibody

Western Blot: MED12 Antibody [NBP3-32585]

Western Blot: MED12 Antibody [NBP3-32585] - Western blot analysis of MED12 on different lysates with Rabbit anti-MED12 antibody (NBP3-32585) at 1/500 dilution.

Lane 1: Hela cell lysate
Lane 2: K562 cell lysate

Lysates/proteins at 10 ug/Lane.

Predicted band size: 243 kDa
Observed band size: 243 kDa

Exposure time: 2 minutes;

10% SDS-PAGE gel.

Proteins were transferred to a PVDF membrane and blocked with 5% NFDM/TBST for 1 hour at room temperature. The primary antibody (NBP3-32585) at 1/500 dilution was used in 5% NFDM/TBST at room temperature for 2 hours. Goat Anti-Rabbit IgG - HRP Secondary Antibody at 1:200,000 dilution was used for 1 hour at room temperature.
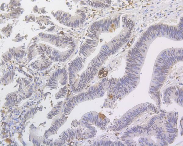
MED12 Antibody

Immunohistochemistry: MED12 Antibody [NBP3-32585]

Immunohistochemistry: MED12 Antibody [NBP3-32585] - Immunohistochemical analysis of paraffin-embedded human colon carcinoma tissue with Mouse anti-MED12 antibody (NBP3-32585) at 1/500 dilution.

The section was pre-treated using heat mediated antigen retrieval with Tris-EDTA buffer (pH 9.0) for 20 minutes. The tissues were blocked in 1% BSA for 20 minutes at room temperature, washed with ddH2O and PBS, and then probed with the primary antibody (NBP3-32585) at 1/500 dilution for 1 hour at room temperature. The detection was performed using an HRP conjugated compact polymer system. DAB was used as the chromogen. Tissues were counterstained with hematoxylin and mounted with DPX.

Applications for MED12 Antibody

Application
Recommended Usage

Immunohistochemistry-Paraffin

1:200

Western Blot

1:500-1:1000

Formulation, Preparation, and Storage

Purification

Immunogen affinity purified

Formulation

PBS (pH7.4), 0.05% BSA and 40% Glycerol

Preservative

0.05% Sodium Azide

Concentration

1 mg/ml

Shipping

The product is shipped with polar packs. Upon receipt, store it immediately at the temperature recommended below.

Stability & Storage

Store at 4C short term. Aliquot and store at -20C long term. Avoid freeze-thaw cycles.

Background: MED12

The initiation of transcription is controlled in part by a large protein assembly known as the preinitiation complex. A component of this preinitiation complex is a 1.2 MDa protein aggregate called Mediator. This Mediator component binds with a CDK8 subcomplex which contains the protein encoded by this gene, mediator complex subunit 12 (MED12), along with MED13, CDK8 kinase, and cyclin C. The CDK8 subcomplex modulates Mediator-polymerase II interactions and thereby regulates transcription initiation and reinitation rates. The MED12 protein is essential for activating CDK8 kinase. Defects in this gene cause X-linked Opitz-Kaveggia syndrome, also known as FG syndrome, and Lujan-Fryns syndrome. (provided by RefSeq)

Long Name

Mediator of RNA Polymerase II Transcription Subunit 12

Alternate Names

ARC240, CAGH45, FGS1, HOPA, OKS, TNRC11, TRAP230

Gene Symbol

MED12

Additional MED12 Products

Product Documents for MED12 Antibody

Certificate of Analysis

To download a Certificate of Analysis, please enter a lot number in the search box below.

Product Specific Notices for MED12 Antibody

This product is for research use only and is not approved for use in humans or in clinical diagnosis. Primary Antibodies are guaranteed for 1 year from date of receipt.

Loading...
Loading...
Loading...
Loading...