Skip to main content

MDH2 Antibody (S06-4E2)

Novus Biologicals, part of Bio-Techne | Catalog # NBP3-19685

Recombinant Monoclonal Antibody
Novus Biologicals, part of Bio-Techne
Catalog #
Availability
Size / Price
Qty
Loading...
NBP3-19685-100ul
NBP3-19685-50ul

Key Product Details

Species Reactivity

Human, Mouse, Rat

Applications

Immunohistochemistry, Immunohistochemistry-Paraffin, Western Blot

Label

Unconjugated

Antibody Source

Recombinant Monoclonal Rabbit IgG Clone # S06-4E2 expressed in HEK293

Concentration

0.3 mg/ml

Product Specifications

Immunogen

A synthetic peptide of human MDH2 (Uniprot # P40926)

Clonality

Monoclonal

Host

Rabbit

Isotype

IgG

Theoretical MW

36 kDa.
Disclaimer note: The observed molecular weight of the protein may vary from the listed predicted molecular weight due to post translational modifications, post translation cleavages, relative charges, and other experimental factors.

Description

Novus Biologicals Rabbit MDH2 Antibody (S06-4E2) (NBP3-19685) is a recombinant monoclonal antibody validated for use in IHC and WB. All Novus Biologicals antibodies are covered by our 100% guarantee.

Scientific Data Images for MDH2 Antibody (S06-4E2)

Western Blot: MDH2 Antibody (S06-4E2) [NBP3-19685]

Western Blot: MDH2 Antibody (S06-4E2) [NBP3-19685]

Western Blot: MDH2 Antibody (S06-4E2) [NBP3-19685] - Western blot detection of MDH2 in K562, Rat Brain, Hela cell lysates using NBP3-19685 (1:1000 diluted). Predicted band size: 36kDa. Observed band size: 36kDa.
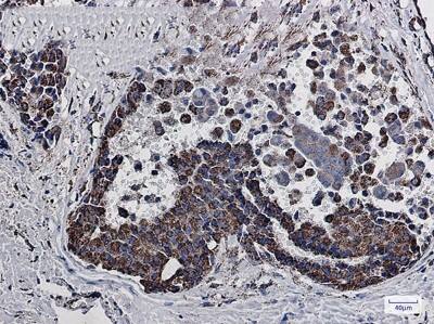
Immunohistochemistry-Paraffin: MDH2 Antibody (S06-4E2) [NBP3-19685]

Immunohistochemistry-Paraffin: MDH2 Antibody (S06-4E2) [NBP3-19685]

Immunohistochemistry-Paraffin: MDH2 Antibody (S06-4E2) [NBP3-19685] - Immunohistochemistry of MDH2 in paraffin-embedded Human breast cancer tissue using NBP3-19685 at dilution 1/20

Applications for MDH2 Antibody (S06-4E2)

Application
Recommended Usage

Immunohistochemistry

1/20

Western Blot

1/2000-1/10000

Formulation, Preparation, and Storage

Purification

Affinity purified

Formulation

50mM Tris-Glycine(pH 7.4), 0.15M NaCl, 40% Glycerol, 0.05% BSA

Preservative

0.01% Sodium Azide

Concentration

0.3 mg/ml

Shipping

The product is shipped with polar packs. Upon receipt, store it immediately at the temperature recommended below.

Stability & Storage

Store at 4C short term. Aliquot and store at -20C long term. Avoid freeze-thaw cycles.

Background: MDH2

Malate dehydrogenase catalyzes the reversible oxidation of malate to oxaloacetate, utilizing the NAD/NADH cofactor system in the citric acid cycle. The protein encoded by this gene is localized to the mitochondria and may play pivotal roles in the malate-aspartate shuttle that operates in the metabolic coordination between cytosol and mitochondria. [provided by RefSeq]

Long Name

Malate dehydrogenase, mitochondrial

Alternate Names

EC 1.1.1.37

Gene Symbol

MDH2

Additional MDH2 Products

Product Documents for MDH2 Antibody (S06-4E2)

Certificate of Analysis

To download a Certificate of Analysis, please enter a lot number in the search box below.

Product Specific Notices for MDH2 Antibody (S06-4E2)

This product is for research use only and is not approved for use in humans or in clinical diagnosis. Primary Antibodies are guaranteed for 1 year from date of receipt.

Loading...
Loading...
Loading...
Loading...