Skip to main content

MARK4 Antibody (OTI9B7)

Novus Biologicals, part of Bio-Techne | Catalog # NBP2-45755

Novus Biologicals, part of Bio-Techne
Catalog #
Availability
Size / Price
Qty
Loading...
NBP2-45755

Key Product Details

Species Reactivity

Human, Mouse, Rat

Applications

Immunohistochemistry, Immunohistochemistry-Paraffin, Western Blot

Label

Unconjugated

Antibody Source

Monoclonal Mouse IgG1 Clone # OTI9B7

Concentration

1 mg/ml

Product Specifications

Immunogen

Human recombinant protein fragment corresponding to amino acids 390-467 of human MARK4(NP_113605) produced in E.coli.

Reactivity Notes

Please note that this antibody is reactive to Mouse and derived from the same host, Mouse. Mouse-On-Mouse blocking reagent may be needed for IHC and ICC experiments to reduce high background signal. You can find these reagents under catalog numbers PK-2200-NB and MP-2400-NB. Please contact Technical Support if you have any questions.

Clonality

Monoclonal

Host

Mouse

Isotype

IgG1

Description

Novus Biologicals Mouse MARK4 Antibody (OTI9B7) (NBP2-45755) is a monoclonal antibody validated for use in IHC and WB. All Novus Biologicals antibodies are covered by our 100% guarantee.

Scientific Data Images for MARK4 Antibody (OTI9B7)

Western Blot: MARK4 Antibody (OTI9B7) [NBP2-45755]

Western Blot: MARK4 Antibody (OTI9B7) [NBP2-45755]

Western Blot: MARK4 Antibody (9B7) [NBP2-45755] - Analysis of HEK293T cells were transfected with the pCMV6-ENTRY control (Left lane) or pCMV6-ENTRY MARK4.
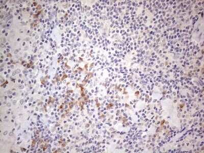
Immunohistochemistry: MARK4 Antibody (OTI9B7) [NBP2-45755]

Immunohistochemistry: MARK4 Antibody (OTI9B7) [NBP2-45755]

Immunohistochemistry: MARK4 Antibody (9B7) [NBP2-45755] - Analysis of Human tonsil tissue. (Heat-induced epitope retrieval by 1mM EDTA in 10mM Tris buffer (pH8.5) at 120C for 3 min)
Immunohistochemistry: MARK4 Antibody (OTI9B7) [NBP2-45755]

Immunohistochemistry: MARK4 Antibody (OTI9B7) [NBP2-45755]

Immunohistochemistry: MARK4 Antibody (9B7) [NBP2-45755] - Analysis of Human pancreas tissue. (Heat-induced epitope retrieval by 1mM EDTA in 10mM Tris buffer (pH8.5) at 120C for 3 min)

Applications for MARK4 Antibody (OTI9B7)

Application
Recommended Usage

Immunohistochemistry

1:150

Immunohistochemistry-Paraffin

1:150

Formulation, Preparation, and Storage

Purification

Immunogen affinity purified

Formulation

PBS (pH 7.3), 1.0% BSA and 50% Glycerol

Preservative

0.02% Sodium Azide

Concentration

1 mg/ml

Shipping

The product is shipped with polar packs. Upon receipt, store it immediately at the temperature recommended below.

Stability & Storage

Store at -20C. Avoid freeze-thaw cycles.

Background: MARK4

MARK4 contains an N terminal serine/threonine kinase domain, a central ubiquitin associated domain, and a C terminal KA1 associated kinase domain. RT PCR analysis detects upregulated expression of the gene for MARK4 in nearly all clinical hepatocellular carcinoma cells. Northern blot analysis reveals ubiquitous expression of a 3.6kb transcript, with highest expression in testis. Immunofluorescence microscopy demonstrates homogeneous cytoplasmic expression. Colony forming assays show that MARK4 antisense reduces the growth of SNU475 cells. It has been suggested that MARK4 provides a growth advantage to cells.

Alternate Names

EC 2.7.11, EC 2.7.11.1, FLJ12177, FLJ90097, KIAA1860MARK4L, MAP/microtubule affinity-regulating kinase 4, MAP/microtubule affinity-regulating kinase like 1, MAP/microtubule affinity-regulating kinase-like 1, MARK4 serine/threonine protein kinase, MARKL1L, MARKL1MARK4S, Nbla00650

Gene Symbol

MARK4

Additional MARK4 Products

Product Documents for MARK4 Antibody (OTI9B7)

Certificate of Analysis

To download a Certificate of Analysis, please enter a lot number in the search box below.

Product Specific Notices for MARK4 Antibody (OTI9B7)

This product is for research use only and is not approved for use in humans or in clinical diagnosis. Primary Antibodies are guaranteed for 1 year from date of receipt.

Loading...
Loading...
Loading...
Loading...