Skip to main content

Lysine Hydroxylase 2/PLOD2 Antibody (OTI6D1)

Novus Biologicals, part of Bio-Techne | Catalog # NBP2-46451

Novus Biologicals, part of Bio-Techne

Key Product Details

Species Reactivity

Human, Mouse, Rat

Applications

Immunohistochemistry, Immunohistochemistry-Paraffin, Western Blot

Label

Unconjugated

Antibody Source

Monoclonal Mouse IgG1 Clone # OTI6D1

Concentration

1 mg/ml

Product Specifications

Immunogen

Human recombinant protein fragment corresponding to amino acids 359-640 of human PLOD2 (NP_891988) produced in E.coli.

Reactivity Notes

Please note that this antibody is reactive to Mouse and derived from the same host, Mouse. Mouse-On-Mouse blocking reagent may be needed for IHC and ICC experiments to reduce high background signal. You can find these reagents under catalog numbers PK-2200-NB and MP-2400-NB. Please contact Technical Support if you have any questions.

Clonality

Monoclonal

Host

Mouse

Isotype

IgG1

Description

Novus Biologicals Mouse Lysine Hydroxylase 2/PLOD2 Antibody (OTI6D1) (NBP2-46451) is a monoclonal antibody validated for use in IHC and WB. All Novus Biologicals antibodies are covered by our 100% guarantee.

Scientific Data Images for Lysine Hydroxylase 2/PLOD2 Antibody (OTI6D1)

Western Blot: Lysine Hydroxylase 2/PLOD2 Antibody (OTI6D1) [NBP2-46451]

Western Blot: Lysine Hydroxylase 2/PLOD2 Antibody (OTI6D1) [NBP2-46451]

Western Blot: Lysine Hydroxylase 2/PLOD2 Antibody (6D1) [NBP2-46451] - Analysis of HEK293T cells were transfected with the pCMV6-ENTRY control (Left lane) or pCMV6-ENTRY PLOD2.
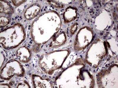
Immunohistochemistry-Paraffin: Lysine Hydroxylase 2/PLOD2 Antibody (OTI6D1) [NBP2-46451]

Immunohistochemistry-Paraffin: Lysine Hydroxylase 2/PLOD2 Antibody (OTI6D1) [NBP2-46451]

Immunohistochemistry-Paraffin: Lysine Hydroxylase 2/PLOD2 Antibody (6D1) [NBP2-46451] - Analysis of Human Kidney tissue.
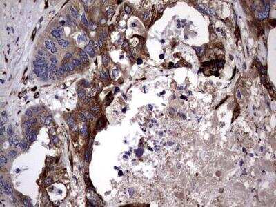
Immunohistochemistry-Paraffin: Lysine Hydroxylase 2/PLOD2 Antibody (OTI6D1) [NBP2-46451]

Immunohistochemistry-Paraffin: Lysine Hydroxylase 2/PLOD2 Antibody (OTI6D1) [NBP2-46451]

Immunohistochemistry-Paraffin: Lysine Hydroxylase 2/PLOD2 Antibody (6D1) [NBP2-46451] - Analysis of Human prostate tissue.

Applications for Lysine Hydroxylase 2/PLOD2 Antibody (OTI6D1)

Application
Recommended Usage

Immunohistochemistry

1:150

Immunohistochemistry-Paraffin

1:150

Western Blot

1:2000

Formulation, Preparation, and Storage

Purification

Immunogen affinity purified

Formulation

PBS (pH 7.3), 1.0% BSA and 50% Glycerol

Preservative

0.02% Sodium Azide

Concentration

1 mg/ml

Shipping

The product is shipped with polar packs. Upon receipt, store it immediately at the temperature recommended below.

Stability & Storage

Store at -20C. Avoid freeze-thaw cycles.

Background: Lysine Hydroxylase 2/PLOD2

PLOD2 is encoded by this gene is a membrane-bound homodimeric enzyme that is localized to the cisternae of the rough endoplasmic reticulum. The enzyme (cofactors iron and ascorbate) catalyzes the hydroxylation of lysyl residues in collagen-like peptides. The resultant hydroxylysyl groups are attachment sites for carbohydrates in collagen and thus are critical for the stability of intermolecular crosslinks. Some patients with Ehlers-Danlos syndrome type VIB have deficiencies in lysyl hydroxylase activity. Mutations in the coding region of this gene are associated with Bruck syndrome. Alternative splicing results in multiple transcript variants encoding different isoforms. [provided by RefSeq]

Alternate Names

LH2, PLOD2, TLH

Gene Symbol

PLOD2

Additional Lysine Hydroxylase 2/PLOD2 Products

Product Documents for Lysine Hydroxylase 2/PLOD2 Antibody (OTI6D1)

Certificate of Analysis

To download a Certificate of Analysis, please enter a lot number in the search box below.

Product Specific Notices for Lysine Hydroxylase 2/PLOD2 Antibody (OTI6D1)

This product is for research use only and is not approved for use in humans or in clinical diagnosis. Primary Antibodies are guaranteed for 1 year from date of receipt.

Loading...
Loading...
Loading...
Loading...