Skip to main content

LXR alpha/NR1H3 Antibody - BSA Free

Novus Biologicals, part of Bio-Techne | Catalog # NBP1-77106

Novus Biologicals, part of Bio-Techne

Key Product Details

Validated by

Biological Validation

Species Reactivity

Validated:

Human, Mouse, Rat

Cited:

Human, Rat

Applications

Validated:

Immunohistochemistry, Immunohistochemistry-Paraffin, Western Blot, ELISA, Immunocytochemistry/ Immunofluorescence

Cited:

Immunohistochemistry-Paraffin, Western Blot

Label

Unconjugated

Antibody Source

Polyclonal Rabbit IgG

Format

BSA Free

Concentration

1 mg/ml

Product Specifications

Immunogen

Antibody was raised against a 15 amino acid synthetic peptide from near the amino terminus human LXR-A. The immunogen is located within amino acids 50 - 100 of LXR-A. Amino Acid Squence: CTRAEPPSEPTEIRPQ

Clonality

Polyclonal

Host

Rabbit

Isotype

IgG

Theoretical MW

46 kDa.
Disclaimer note: The observed molecular weight of the protein may vary from the listed predicted molecular weight due to post translational modifications, post translation cleavages, relative charges, and other experimental factors.

Description

Novus Biologicals Rabbit LXR alpha/NR1H3 Antibody - BSA Free (NBP1-77106) is a polyclonal antibody validated for use in IHC, WB, ELISA and ICC/IF. Anti-LXR alpha/NR1H3 Antibody: Cited in 4 publications. All Novus Biologicals antibodies are covered by our 100% guarantee.

Scientific Data Images for LXR alpha/NR1H3 Antibody - BSA Free

Western Blot: LXR alpha/NR1H3 AntibodyBSA Free [NBP1-77106]

Western Blot: LXR alpha/NR1H3 AntibodyBSA Free [NBP1-77106]

LXR-alpha-NR1H3-Antibody-Western-Blot-NBP1-77106-img0007.jpg
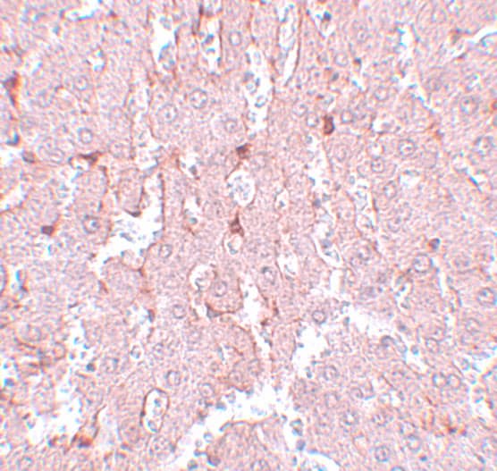
Immunohistochemistry-Paraffin: LXR alpha/NR1H3 Antibody - BSA Free [NBP1-77106]

Immunohistochemistry-Paraffin: LXR alpha/NR1H3 Antibody - BSA Free [NBP1-77106]

Immunohistochemistry-Paraffin: LXR alpha/NR1H3 Antibody - BSA Free [NBP1-77106] - LXR alpha/NR1H3 Antibody [NBP1-77106] - Rat liver tissue with LXR-A antibody at 5 ug/mL.
Western Blot: LXR alpha/NR1H3 AntibodyBSA Free [NBP1-77106]

Western Blot: LXR alpha/NR1H3 AntibodyBSA Free [NBP1-77106]

Western Blot: LXR alpha/NR1H3 Antibody - BSA Free [NBP1-77106] - LXR alpha/NR1H3 Antibody [NBP1-77106] - Rat liver tissue lysate at (A) 1 and (B) 2 ug/mL.

Applications for LXR alpha/NR1H3 Antibody - BSA Free

Application
Recommended Usage

ELISA

1:100-1:2000

Immunocytochemistry/ Immunofluorescence

20 ug/mL

Immunohistochemistry

5 ug/ml

Immunohistochemistry-Paraffin

5 ug/ml

Western Blot

1-2 ug/ml

Formulation, Preparation, and Storage

Purification

Peptide affinity purified

Formulation

PBS

Format

BSA Free

Preservative

0.02% Sodium Azide

Concentration

1 mg/ml

Shipping

The product is shipped with polar packs. Upon receipt, store it immediately at the temperature recommended below.

Stability & Storage

Store at 4C short term. Aliquot and store at -20C long term. Avoid freeze-thaw cycles.

Background: LXR alpha/NR1H3

LXR-A belongs to the Liver X Receptor family that encodes highly homologous transcription factors. Like the highly homologous LXR-B, LXR-A forms heterodimers with the retinoic acid receptor RXRalpha, function as sensors for cellular oxysterols which when activated, increase the expression of genes that control sterol and fatty acid metabolism and homeostasis. Recent experiments have indicated that the LXRs can also modulate both innate and adaptive immune responses. Human and mouse tumors produce LXR ligands that inhibit CCR7 expression on maturing dendritic cells (DCs), thereby allowing tumor immunoescape. In mouse models, it was shown that ablating LXR-A signaling led to an immune-mediated strong inhibition of tumor growth, suggesting that manipulation of this pathway may be a viable anti-cancer approach.

Long Name

Liver X Receptor alpha

Alternate Names

NR1H3, RLD-1

Gene Symbol

NR1H3

Additional LXR alpha/NR1H3 Products

Product Documents for LXR alpha/NR1H3 Antibody - BSA Free

Certificate of Analysis

To download a Certificate of Analysis, please enter a lot number in the search box below.

Product Specific Notices for LXR alpha/NR1H3 Antibody - BSA Free

This product is for research use only and is not approved for use in humans or in clinical diagnosis. Primary Antibodies are guaranteed for 1 year from date of receipt.

Loading...
Loading...
Loading...
Loading...