Skip to main content

LELP1 Antibody (OTI3D5) - Azide and BSA Free

Novus Biologicals, part of Bio-Techne | Catalog # NBP2-72412

Novus Biologicals, part of Bio-Techne

Key Product Details

Species Reactivity

Human

Applications

Immunohistochemistry, Immunohistochemistry-Paraffin, Western Blot

Label

Unconjugated

Antibody Source

Monoclonal Mouse IgG1 Clone # OTI3D5

Format

Azide and BSA Free

Concentration

LYOPH mg/ml

Product Specifications

Immunogen

Full length human recombinant protein of human LELP1(NP_001010857) produced in E.coli.

Clonality

Monoclonal

Host

Mouse

Isotype

IgG1

Theoretical MW

10.5 kDa.
Disclaimer note: The observed molecular weight of the protein may vary from the listed predicted molecular weight due to post translational modifications, post translation cleavages, relative charges, and other experimental factors.

Description

Novus Biologicals Mouse LELP1 Antibody (OTI3D5) - Azide and BSA Free (NBP2-45616) is a monoclonal antibody validated for use in IHC and WB. All Novus Biologicals antibodies are covered by our 100% guarantee.

Scientific Data Images for LELP1 Antibody (OTI3D5) - Azide and BSA Free

Western Blot: LELP1 Antibody (OTI3D5)Azide and BSA Free [NBP2-72412]

Western Blot: LELP1 Antibody (OTI3D5)Azide and BSA Free [NBP2-72412]

Western Blot: LELP1 Antibody (OTI3D5) - Azide and BSA Free [NBP2-72412] - Analysis of HEK293T cells were transfected with the pCMV6-ENTRY control (Left lane) or pCMV6-ENTRY LELP1.
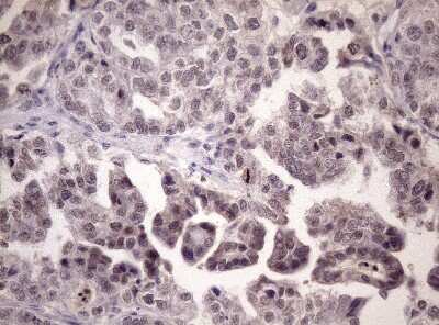
Immunohistochemistry: LELP1 Antibody (OTI3D5) - Azide and BSA Free [NBP2-72412]

Immunohistochemistry: LELP1 Antibody (OTI3D5) - Azide and BSA Free [NBP2-72412]

Immunohistochemistry: LELP1 Antibody (OTI3D5) - Azide and BSA Free [NBP2-72412] - Analysis of Adenocarcinoma of Human ovary tissue. (Heat-induced epitope retrieval by 1mM EDTA in 10mM Tris buffer (pH8.5) at 120C for 3 min)

Applications for LELP1 Antibody (OTI3D5) - Azide and BSA Free

Application
Recommended Usage

Immunohistochemistry

1:150

Western Blot

1:2000

Formulation, Preparation, and Storage

Purification

Immunogen affinity purified

Reconstitution

we recommend adding 100uL distilled water to a final antibody concentration of about 1 mg/mL. To use this carrier-free antibody for conjugation experiment, we strongly recommend performing another round of desalting process.

Formulation

Lyophilized from PBS (pH 7.3) with 8% Trehalose

Format

Azide and BSA Free

Preservative

No Preservative

Concentration

LYOPH mg/ml

Shipping

The product is shipped with polar packs. Upon receipt, store it immediately at the temperature recommended below.

Stability & Storage

Store at -20C. Avoid freeze-thaw cycles.

Background: LELP1

Alternate Names

late cornified envelope-like proline-rich 1, novel small proline-rich protein

Gene Symbol

LELP1

Additional LELP1 Products

Product Documents for LELP1 Antibody (OTI3D5) - Azide and BSA Free

Certificate of Analysis

To download a Certificate of Analysis, please enter a lot number in the search box below.

Product Specific Notices for LELP1 Antibody (OTI3D5) - Azide and BSA Free

This product is for research use only and is not approved for use in humans or in clinical diagnosis. Primary Antibodies are guaranteed for 1 year from date of receipt.

Loading...
Loading...
Loading...
Loading...
Loading...