Skip to main content

LELP1 Antibody (OTI3D5)

Novus Biologicals, part of Bio-Techne | Catalog # NBP2-45616

Novus Biologicals, part of Bio-Techne
Catalog #
Availability
Size / Price
Qty
Loading...
NBP2-45616

Key Product Details

Species Reactivity

Human

Applications

Immunohistochemistry, Immunohistochemistry-Paraffin, Western Blot

Label

Unconjugated

Antibody Source

Monoclonal Mouse IgG1 Clone # OTI3D5

Concentration

1 mg/ml

Product Specifications

Immunogen

Full length human recombinant protein of human LELP1(NP_001010857) produced in E.coli.

Clonality

Monoclonal

Host

Mouse

Isotype

IgG1

Theoretical MW

10.5 kDa.
Disclaimer note: The observed molecular weight of the protein may vary from the listed predicted molecular weight due to post translational modifications, post translation cleavages, relative charges, and other experimental factors.

Description

Novus Biologicals Mouse LELP1 Antibody (OTI3D5) (NBP2-45616) is a monoclonal antibody validated for use in IHC and WB. All Novus Biologicals antibodies are covered by our 100% guarantee.

Scientific Data Images for LELP1 Antibody (OTI3D5)

Western Blot: LELP1 Antibody (OTI3D5) [NBP2-45616]

Western Blot: LELP1 Antibody (OTI3D5) [NBP2-45616]

Western Blot: LELP1 Antibody (3D5) [NBP2-45616] - Analysis of HEK293T cells were transfected with the pCMV6-ENTRY control (Left lane) or pCMV6-ENTRY LELP1.
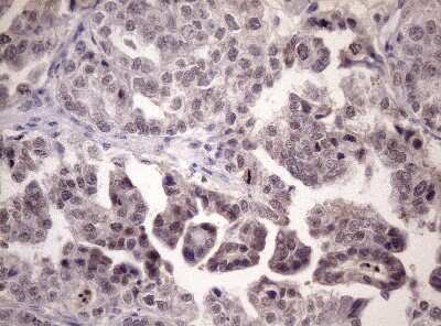
Immunohistochemistry: LELP1 Antibody (OTI3D5) [NBP2-45616]

Immunohistochemistry: LELP1 Antibody (OTI3D5) [NBP2-45616]

Immunohistochemistry: LELP1 Antibody (3D5) [NBP2-45616] - Analysis of Adenocarcinoma of Human ovary tissue. (Heat-induced epitope retrieval by 1mM EDTA in 10mM Tris buffer (pH8.5) at 120C for 3 min)

Applications for LELP1 Antibody (OTI3D5)

Application
Recommended Usage

Immunohistochemistry

1:150

Western Blot

1:2000

Formulation, Preparation, and Storage

Purification

Immunogen affinity purified

Formulation

PBS (pH 7.3), 1.0% BSA and 50% Glycerol

Preservative

0.02% Sodium Azide

Concentration

1 mg/ml

Shipping

The product is shipped with polar packs. Upon receipt, store it immediately at the temperature recommended below.

Stability & Storage

Store at -20C. Avoid freeze-thaw cycles.

Background: LELP1

Alternate Names

late cornified envelope-like proline-rich 1, novel small proline-rich protein

Gene Symbol

LELP1

Additional LELP1 Products

Product Documents for LELP1 Antibody (OTI3D5)

Certificate of Analysis

To download a Certificate of Analysis, please enter a lot number in the search box below.

Product Specific Notices for LELP1 Antibody (OTI3D5)

This product is for research use only and is not approved for use in humans or in clinical diagnosis. Primary Antibodies are guaranteed for 1 year from date of receipt.

Loading...
Loading...
Loading...
Loading...