Skip to main content

LARG Antibody - BSA Free

Novus Biologicals, part of Bio-Techne | Catalog # NBP1-89619

Novus Biologicals, part of Bio-Techne
Catalog #
Availability
Size / Price
Qty
Loading...
NBP1-89619
NBP1-89619-25ul

Key Product Details

Species Reactivity

Human

Applications

Immunohistochemistry, Immunohistochemistry-Paraffin, Immunocytochemistry/ Immunofluorescence

Label

Unconjugated

Antibody Source

Polyclonal Rabbit IgG

Format

BSA Free

Concentration

Concentrations vary lot to lot. See vial label for concentration. If unlisted please contact technical services.

Product Specifications

Immunogen

This antibody was developed against Recombinant Protein corresponding to amino acids: MAASVKEQSTKPIPLPQSTPGEGDNDEEDPSKLKEEQHGISVTGLQSPDRDLGLESTLISSKPQSHSLSTSGKSEVRDLFVAERQFAKEQHTDGTLKEVGEDYQ

Clonality

Polyclonal

Host

Rabbit

Isotype

IgG

Scientific Data Images for LARG Antibody - BSA Free

Immunocytochemistry/ Immunofluorescence: LARG Antibody [NBP1-89619]

Immunocytochemistry/ Immunofluorescence: LARG Antibody [NBP1-89619]

Immunocytochemistry/Immunofluorescence: LARG Antibody [NBP1-89619] - Immunofluorescent staining of human cell line A-431 shows localization to nucleoplasm, plasma membrane & cytosol.
LARG Antibody - BSA Free Immunohistochemistry-Paraffin: LARG Antibody - BSA Free [NBP1-89619]

Immunohistochemistry-Paraffin: LARG Antibody - BSA Free [NBP1-89619]

Staining of human skeletal muscle shows moderate cytoplasmic positivity in myocytes.
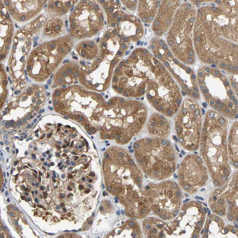
LARG Antibody - BSA Free Immunohistochemistry-Paraffin: LARG Antibody - BSA Free [NBP1-89619]

Immunohistochemistry-Paraffin: LARG Antibody - BSA Free [NBP1-89619]

Staining of human kidney shows moderate cytoplasmic positivity in cells in tubules and cells in glomeruli.

Applications for LARG Antibody - BSA Free

Application
Recommended Usage

Immunocytochemistry/ Immunofluorescence

0.25-2 ug/ml

Immunohistochemistry

1:1000 - 1:2500

Immunohistochemistry-Paraffin

1:1000 - 1:2500
Application Notes
For IHC-Paraffin, HIER pH 6 retrieval is recommended. ICC/IF, Fixation Permeabilization: Use PFA/Triton X-100.

Formulation, Preparation, and Storage

Purification

Affinity purified

Formulation

PBS (pH 7.2) and 40% Glycerol

Format

BSA Free

Preservative

0.02% Sodium Azide

Concentration

Concentrations vary lot to lot. See vial label for concentration. If unlisted please contact technical services.

Shipping

The product is shipped with polar packs. Upon receipt, store it immediately at the temperature recommended below.

Stability & Storage

Store at 4C short term. Aliquot and store at -20C long term. Avoid freeze-thaw cycles.

Background: LARG

Rho GTPases play a fundamental role in numerous cellular processes that are initiated by extracellular stimuli that work through G protein coupled receptors. The encoded protein may form a complex with G proteins and stimulate Rho-dependent signals. This protein is observed to form myeloid/lymphoid fusion partner in acute myeloid leukemia. [provided by RefSeq]

Long Name

Leukemia-associated RhoGEF

Alternate Names

ARHGC, ARHGEF12

Gene Symbol

ARHGEF12

Additional LARG Products

Product Documents for LARG Antibody - BSA Free

Certificate of Analysis

To download a Certificate of Analysis, please enter a lot number in the search box below.

Product Specific Notices for LARG Antibody - BSA Free

This product is for research use only and is not approved for use in humans or in clinical diagnosis. Primary Antibodies are guaranteed for 1 year from date of receipt.

Loading...
Loading...
Loading...
Loading...