Skip to main content

LAMP-2/CD107b Antibody (SA46-01)

Novus Biologicals, part of Bio-Techne | Catalog # NBP2-67298

Recombinant Monoclonal Antibody.
Novus Biologicals, part of Bio-Techne
Catalog #
Availability
Size / Price
Qty
Loading...
NBP2-67298

Key Product Details

Validated by

Biological Validation

Species Reactivity

Validated:

Human, Mouse, Rat

Cited:

Mouse

Applications

Validated:

Immunohistochemistry, Immunohistochemistry-Paraffin, Western Blot, Immunoprecipitation

Cited:

Western Blot

Label

Unconjugated

Antibody Source

Recombinant Monoclonal Rabbit IgG Clone # SA46-01 expressed in HEK293

Concentration

1 mg/ml

Product Specifications

Immunogen

Synthetic peptide within Human LAMP-2/CD107b aa 361-410 / 410. (SwissProt: P13473 Human; SwissProt: P17047 Mouse; SwissProt: P17046 Rat)

Localization

Cell membrane, Endosome membrane, Lysosome membrane

Clonality

Monoclonal

Host

Rabbit

Isotype

IgG

Theoretical MW

45 kDa.
Disclaimer note: The observed molecular weight of the protein may vary from the listed predicted molecular weight due to post translational modifications, post translation cleavages, relative charges, and other experimental factors.

Description

Novus Biologicals Rabbit LAMP-2/CD107b Antibody (SA46-01) (NBP2-67298) is a recombinant monoclonal antibody validated for use in IHC, WB and IP. Anti-LAMP-2/CD107b Antibody: Cited in 4 publications. All Novus Biologicals antibodies are covered by our 100% guarantee.

Scientific Data Images for LAMP-2/CD107b Antibody (SA46-01)

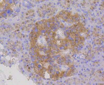
Immunohistochemistry-Paraffin: LAMP-2/CD107b Antibody (SA46-01) [NBP2-67298]

Immunohistochemistry-Paraffin: LAMP-2/CD107b Antibody (SA46-01) [NBP2-67298]

Immunohistochemistry-Paraffin: LAMP-2/CD107b Antibody (SA46-01) [NBP2-67298] - Analysis of paraffin-embedded mouse placenta tissue using anti-LAMP-2/CD107b antibody. Counter stained with hematoxylin.
Western Blot: LAMP-2/CD107b Antibody (SA46-01) [NBP2-67298]

Western Blot: LAMP-2/CD107b Antibody (SA46-01) [NBP2-67298]

Western Blot: LAMP-2/CD107b Antibody (SA46-01) [NBP2-67298] - Analysis of LAMP2a on different lysates. Proteins were transferred to a PVDF membrane and blocked with 5% BSA in PBS for 1 hour at room temperature. The primary antibody (1/500) was used in 5% BSA at room temperature for 2 hours. Goat Anti-Rabbit IgG - HRP Secondary Antibody at 1:5,000 dilution was used for 1 hour at room temperature. Positive control: Lane 1: human liver tissue lysateLane 2: JAR cell lysate Lane 3: human placenta tissue lysate Lane 4: human lung tissue lysate
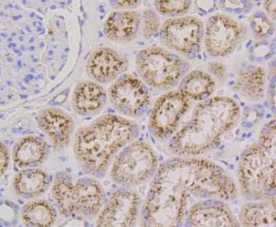
Immunohistochemistry-Paraffin: LAMP-2/CD107b Antibody (SA46-01) [NBP2-67298]

Immunohistochemistry-Paraffin: LAMP-2/CD107b Antibody (SA46-01) [NBP2-67298]

Immunohistochemistry-Paraffin: LAMP-2/CD107b Antibody (SA46-01) [NBP2-67298] - Immunohistochemical analysis of paraffin-embedded rat kidney tissue using anti-LAMP-2/CD107b antibody. The section was pre-treated using heat mediated antigen retrieval with Tris-EDTA buffer (pH 8.0-8.4) for 20 minutes. The tissues were blocked in 5% BSA

Applications for LAMP-2/CD107b Antibody (SA46-01)

Application
Recommended Usage

Immunohistochemistry-Paraffin

1:50-1:200

Western Blot

1:500-1:5000
Application Notes
IP-assay-dependent

Formulation, Preparation, and Storage

Purification

Protein A purified

Formulation

TBS (pH7.4), 0.05% BSA, 40% Glycerol

Preservative

0.05% Sodium Azide

Concentration

1 mg/ml

Shipping

The product is shipped with polar packs. Upon receipt, store it immediately at the temperature recommended below.

Stability & Storage

Store at 4C short term. Aliquot and store at -20C long term. Avoid freeze-thaw cycles.

Background: LAMP-2/CD107b

LAMP-2 (Lysosome-associated membrane protein 2) is a single-pass type I membrane protein that belongs to a family of membrane glycoproteins (~40 KDa). LAMP-2 protein is encoded by nine exons, with the first 8 exons and a portion of exon 9 encoding the highly glycosylated protein domains within the lysosomal lumen. The transmembrane and cytosolic carboxy-terminal domains of LAMP-2 are encoded by the remaining sequence of exon 9 and conform the receptor for targeting proteins to the lysosome. Splicing of exon 9 in the LAMP-2 pre mRNA leads to various splice forms with distinct cytosolic domains. Three splice variants, LAMP-2A, -2B and -2C, have been identified which shuttle between the plasma membrane, endosomal compartment and lysosomes (1). Tissue specific expression has been described for each LAMP-2 splice variant, with LAMP-2A being more ubiquitously expressed (e.g., placenta, lung, liver, pancreas and prostate), LAMP-2B predominantly expressed in skeletal muscle and LAMP-2C in brain tissue (1). All LAMP-2 splice variants participate in lysosomal degradation processes. LAMP-2A is the only variant that serves as a receptor targeting proteins for lysosomal degradation in chaperone-mediated autophagy (2,3). LAMP-2B is essential for macroautophagy in cardiomyocytes, where it facilitates autophagosome-lysosome fusion. LAMP-2B mutations underscore the myopathy and severe hypertrophic cardiomyopathy in Danon disease which results from deficits in autophagy (1, 4). Vasculopathy of coronary and cerebral arteries is a rare phenotype in Danon patients that is also associated with deficient autophagy processing of proteins and cellular organelles (5). LAMP2C serves as a receptor for DNA and RNA, facilitating their lysosomal degradation through DNA-autophagy and RNA-autophagy, respectively (1).

References

1. Rowland, T. J., Sweet, M. E., Mestroni, L., & Taylor, M. R. G. (2016). Danon disease - dysregulation of autophagy in a multisystem disorder with cardiomyopathy. Journal of Cell Science. https://doi.org/10.1242/jcs.184770

2. Alfaro, I. E., Albornoz, A., Molina, A., Moreno, J., Cordero, K., Criollo, A., & Budini, M. (2019). Chaperone mediated autophagy in the crosstalk of neurodegenerative diseases and metabolic disorders. Frontiers in Endocrinology. https://doi.org/10.3389/fendo.2018.00778

3. Schneider, J. L., & Cuervo, A. M. (2014). Autophagy and human disease: Emerging themes. Current Opinion in Genetics and Development. https://doi.org/10.1016/j.gde.2014.04.003

4. Chi, C., Leonard, A., Knight, W. E., Beussman, K. M., Zhao, Y., Cao, Y., Song, K. (2019). LAMP-2B regulates human cardiomyocyte function by mediating autophagosome lysosome fusion. Proceedings of the National Academy of Sciences of the United States of America. https://doi.org/10.1073/pnas.1808618116

5. Nguyen, H. T., Noguchi, S., Sugie, K., Matsuo, Y., Nguyen, C. T. H., Koito, H., Tsukaguchi, H. (2018). Small-Vessel Vasculopathy Due to Aberrant Autophagy in LAMP-2 Deficiency. Scientific Reports. https://doi.org/10.1038/s41598-018-21602-8

Long Name

Lysosome-associated Membrane Glycoprotein 2

Alternate Names

CD107b, LAMP2, LAMPB, LGP110

Gene Symbol

LAMP2

UniProt

Additional LAMP-2/CD107b Products

Product Documents for LAMP-2/CD107b Antibody (SA46-01)

Certificate of Analysis

To download a Certificate of Analysis, please enter a lot number in the search box below.

Product Specific Notices for LAMP-2/CD107b Antibody (SA46-01)

This product is for research use only and is not approved for use in humans or in clinical diagnosis. Primary Antibodies are guaranteed for 1 year from date of receipt.

Loading...
Loading...
Loading...
Loading...