Skip to main content

Lamin A + C Antibody - BSA Free

Novus Biologicals, part of Bio-Techne | Catalog # NBP2-19323

Novus Biologicals, part of Bio-Techne
Catalog #
Availability
Size / Price
Qty
Loading...
NBP2-19323

Key Product Details

Validated by

Knockout/Knockdown

Species Reactivity

Validated:

Human, Mouse

Predicted:

Canine (96%), Porcine (96%), Primate (99%), Rhesus Macaque (99%). Backed by our 100% Guarantee.

Applications

Knockout Validated, Immunohistochemistry, Immunohistochemistry-Paraffin, Western Blot, Immunocytochemistry/ Immunofluorescence, Immunoprecipitation

Label

Unconjugated

Antibody Source

Polyclonal Rabbit IgG

Format

BSA Free

Concentration

Concentrations vary lot to lot. See vial label for concentration. If unlisted please contact technical services.

Product Specifications

Immunogen

Recombinant protein encompassing a sequence within the center region of human Lamin A + C. The exact sequence is proprietary.

Reactivity Notes

Chimpanzee (99%), Rat (89%).

Localization

Nucleus

Marker

Nuclear Envelope Marker

Clonality

Polyclonal

Host

Rabbit

Isotype

IgG

Theoretical MW

74 kDa.
Disclaimer note: The observed molecular weight of the protein may vary from the listed predicted molecular weight due to post translational modifications, post translation cleavages, relative charges, and other experimental factors.

Description

Novus Biologicals Knockout (KO) Validated Rabbit Lamin A + C Antibody - BSA Free (NBP2-19323) is a polyclonal antibody validated for use in IHC, WB, ICC/IF and IP. All Novus Biologicals antibodies are covered by our 100% guarantee.

Scientific Data Images for Lamin A + C Antibody - BSA Free

Knockout Validated: Lamin A + C Antibody [NBP2-19323]

Western Blot: Lamin A + C Antibody [NBP2-19323]

Western Blot: Lamin A + C Antibody [NBP2-19323] - Wild-type (WT) and Lamin A + C knockout (KO) HeLa cell extracts (30 ug) were separated by 7.5% SDS-PAGE, and the membrane was blotted with Lamin A + C antibody. HRP-conjugated anti-rabbit IgG antibody was used to detect the primary antibody, and the signal was developed with Trident ECL plus-Enhanced.
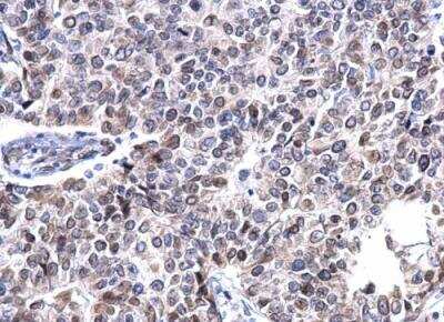
Immunohistochemistry-Paraffin: Lamin A + C Antibody [NBP2-19323]

Immunohistochemistry-Paraffin: Lamin A + C Antibody [NBP2-19323]

Immunohistochemistry-Paraffin: Lamin A + C Antibody [NBP2-19323] - Paraffin-embedded human breast carcinoma. Lamin A + C antibody dilution: 1:500.
Immunohistochemistry-Paraffin: Lamin A + C Antibody [NBP2-19323]

Immunohistochemistry-Paraffin: Lamin A + C Antibody [NBP2-19323]

Immunohistochemistry-Paraffin: Lamin A + C Antibody [NBP2-19323] - Lamin A/C antibody detects LMNA protein at membrane on U87 xenograft by immunohistochemical analysis. Sample: Paraffin-embedded U87 xenograft. Lamin A/C antibody dilution: 1:500.

Applications for Lamin A + C Antibody - BSA Free

Application
Recommended Usage

Immunocytochemistry/ Immunofluorescence

1:100-1:1000

Immunohistochemistry

1:100-1:1000

Immunohistochemistry-Paraffin

1:100-1:1000

Immunoprecipitation

1:66-1:500

Western Blot

1:500-1:10000

Formulation, Preparation, and Storage

Purification

Antigen Affinity-purified

Formulation

0.1M Tris, 0.1M Glycine, 20% Glycerol

Format

BSA Free

Preservative

0.01% Thimerosal

Concentration

Concentrations vary lot to lot. See vial label for concentration. If unlisted please contact technical services.

Shipping

The product is shipped with polar packs. Upon receipt, store it immediately at the temperature recommended below.

Stability & Storage

Aliquot and store at -20C or -80C. Avoid freeze-thaw cycles.

Background: Lamin A + C

The nuclear lamina consists of a two-dimensional matrix of proteins located next to the inner nuclear membrane. The lamin family of proteins make up the matrix and are highly conserved in evolution. During mitosis, the lamina matrix is reversibly disassembled as the lamin proteins are phosphorylated. Lamin proteins are thought to be involved in nuclear stability, chromatin structure and gene expression. Vertebrate lamins consist of two types, A and B. Through alternate splicing, this gene encodes three type A lamin isoforms. Mutations in this gene lead to several diseases: Emery-Dreifuss muscular dystrophy, familial partial lipodystrophy, limb girdle muscular dystrophy, dilated cardiomyopathy, Charcot-Marie-Tooth disease, and Hutchinson-Gilford progeria syndrome. [provided by RefSeq]

Alternate Names

CDCD1, CDDC, CMD1A, CMT2B1, dilated 1A (autosomal dominant), EMD2, FPLD, HGPSFPL, lamin A/C, lamin A/C-like 1, lamin-A/C, LDP1, LFP, LGMD1B, limb girdle muscular dystrophy 1B (autosomal dominant), LMN1IDC, LMNC, LMNL1, prelamin-A/C, PRO1,70 kDa lamin, progeria 1 (Hutchinson-Gilford type), renal carcinoma antigen NY-REN-32

Gene Symbol

LMNA

Additional Lamin A + C Products

Product Documents for Lamin A + C Antibody - BSA Free

Certificate of Analysis

To download a Certificate of Analysis, please enter a lot number in the search box below.

Product Specific Notices for Lamin A + C Antibody - BSA Free

This product is for research use only and is not approved for use in humans or in clinical diagnosis. Primary Antibodies are guaranteed for 1 year from date of receipt.

Loading...
Loading...
Loading...
Loading...

⚠ WARNING: This product can expose you to chemicals including mercury, which is known to the State of California to cause reproductive toxicity with developmental effects.  For more information go to www.P65Warnings.ca.gov.