Skip to main content

Lamin A + C Antibody (A6F5-R)

Novus Biologicals, part of Bio-Techne | Catalog # NBP3-32518

Recombinant Monoclonal Antibody
Novus Biologicals, part of Bio-Techne
Catalog #
Availability
Size / Price
Qty
Loading...
NBP3-32518

Key Product Details

Species Reactivity

Human, Mouse, Rat

Applications

Immunohistochemistry, Immunohistochemistry-Paraffin, Western Blot, Immunocytochemistry/ Immunofluorescence

Label

Unconjugated

Antibody Source

Recombinant Monoclonal Mouse IgG1 Clone # A6F5-R expressed in HEK293

Concentration

1 mg/ml

Product Specifications

Immunogen

Recombinant protein within human Lamin A+C aa 151-350/664. (Uniprot: P02545)

Localization

Nucleus, Nucleus envelope, Nucleus lamina, Nucleoplasm, Nucleus matrix; Nucleus speckle.

Clonality

Monoclonal

Host

Mouse

Isotype

IgG1

Description

Novus Biologicals Mouse Lamin A + C Antibody (A6F5-R) (NBP3-32518) is a recombinant monoclonal antibody validated for use in IHC, WB and ICC/IF. All Novus Biologicals antibodies are covered by our 100% guarantee.

Scientific Data Images for Lamin A + C Antibody (A6F5-R)

Lamin A + C Antibody (A6F5-R)

Western Blot: Lamin A + C Antibody (A6F5-R) [NBP3-32518]

Western Blot: Lamin A + C Antibody (A6F5-R) [NBP3-32518] - Western blot analysis of Lamin A + C on different lysates with Mouse anti-Lamin A + C antibody (NBP3-32518) at 1/2,000 dilution.

Lane 1: HeLa cell lysate
Lane 2: HepG2 cell lysate
Lane 3: THP-1 cell lysate
Lane 4: NIH/3T3 cell lysate

Lysates/proteins at 20 ug/Lane.

Predicted band size: 74/65 kDa
Observed band size: 74/65 kDa

Exposure time: 1 minute 2 seconds;

4-20% SDS-PAGE gel.

Proteins were transferred to a PVDF membrane and blocked with 5% NFDM/TBST for 1 hour at room temperature. The primary antibody (NBP3-32518) at 1/2,000 dilution was used in 5% NFDM/TBST at 4 overnight. Goat Anti-Mouse IgG - HRP Secondary Antibody at 1/50,000 dilution was used for 1 hour at room temperature.
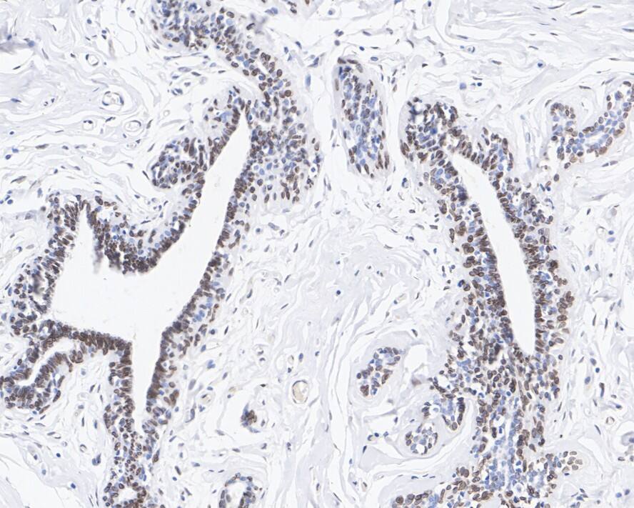
Lamin A + C Antibody (A6F5-R)

Immunohistochemistry: Lamin A + C Antibody (A6F5-R) [NBP3-32518]

Immunohistochemistry: Lamin A + C Antibody (A6F5-R) [NBP3-32518] - Immunohistochemical analysis of paraffin-embedded human breast tissue with Mouse anti-Lamin A + C antibody (NBP3-32518) at 1/200 dilution.

The section was pre-treated using heat mediated antigen retrieval with sodium citrate buffer (pH 6.0) for 2 minutes. The tissues were blocked in 1% BSA for 20 minutes at room temperature, washed with ddH2O and PBS, and then probed with the primary antibody (NBP3-32518) at 1/200 dilution for 1 hour at room temperature. The detection was performed using an HRP conjugated compact polymer system. DAB was used as the chromogen. Tissues were counterstained with hematoxylin and mounted with DPX.
Lamin A + C Antibody (A6F5-R)

Immunocytochemistry/ Immunofluorescence: Lamin A + C Antibody (A6F5-R) [NBP3-32518]

Immunocytochemistry/ Immunofluorescence: Lamin A + C Antibody (A6F5-R) [NBP3-32518] - Immunocytochemistry analysis of HeLa cells labeling Lamin A + C with Mouse anti-Lamin A + C antibody (NBP3-32518) at 1/100 dilution.

Cells were fixed in 100% precooled methanol for 5 minutes at room temperature, then blocked with 1% BSA in 10% negative goat serum for 1 hour at room temperature. Cells were then incubated with Mouse anti-Lamin A + C antibody (NBP3-32518) at 1/100 dilution in 1% BSA in PBST overnight at 4 ℃. Goat Anti-Mouse IgG H&L (iFluor™ 488) was used as the secondary antibody at 1/1,000 dilution. PBS instead of the primary antibody was used as the secondary antibody only control. Nuclear DNA was labelled in blue with DAPI.

Applications for Lamin A + C Antibody (A6F5-R)

Application
Recommended Usage

Immunocytochemistry/ Immunofluorescence

1:100

Immunohistochemistry-Paraffin

1:200-1:500

Western Blot

1:2000

Formulation, Preparation, and Storage

Purification

Protein A purified

Formulation

PBS (pH7.4), 0.1% BSA and 40% Glycerol

Preservative

0.05% Sodium Azide

Concentration

1 mg/ml

Shipping

The product is shipped with polar packs. Upon receipt, store it immediately at the temperature recommended below.

Stability & Storage

Store at 4C short term. Aliquot and store at -20C long term. Avoid freeze-thaw cycles.

Background: Lamin A + C

Lamins are a class of intermediate filament proteins that form a matrix on the inner surface of the nuclear envelope. These proteins are found in many different cell types in three different forms (A, B, and C). Lamins A and C are alternatively spliced versions of the LMNA gene. The LMNA gene has been linked to many disorders of the muscular system, nervous system, and the fat distributions systems including: Emery-Dreifuss muscular dystrophy, Dunnigan-type familial partial lipodystrophy (FPLD), limb-girdle muscular dystrophy (LGMD1B), dilated cardiomyopathy (CMD1A), axonal neuropathy (Charcot-Marie-Tooth disease; CMT2B1), and mandibuloacral dysplasia (MAD).

Alternate Names

CDCD1, CDDC, CMD1A, CMT2B1, dilated 1A (autosomal dominant), EMD2, FPLD, HGPSFPL, lamin A/C, lamin A/C-like 1, lamin-A/C, LDP1, LFP, LGMD1B, limb girdle muscular dystrophy 1B (autosomal dominant), LMN1IDC, LMNC, LMNL1, prelamin-A/C, PRO1,70 kDa lamin, progeria 1 (Hutchinson-Gilford type), renal carcinoma antigen NY-REN-32

Gene Symbol

LMNA

Additional Lamin A + C Products

Product Documents for Lamin A + C Antibody (A6F5-R)

Certificate of Analysis

To download a Certificate of Analysis, please enter a lot number in the search box below.

Product Specific Notices for Lamin A + C Antibody (A6F5-R)

This product is for research use only and is not approved for use in humans or in clinical diagnosis. Primary Antibodies are guaranteed for 1 year from date of receipt.

Loading...
Loading...
Loading...
Loading...