Skip to main content

LAG-3 Antibody (BLR027F)

Novus Biologicals, part of Bio-Techne | Catalog # NBP2-76402

Recombinant Monoclonal Antibody.
Novus Biologicals, part of Bio-Techne
Catalog #
Availability
Size / Price
Qty
Loading...
NBP2-76402

Key Product Details

Validated by

Independent Antibodies

Species Reactivity

Validated:

Human

Cited:

Human

Applications

Validated:

Multiplex Immunofluorescence, Immunohistochemistry, Immunohistochemistry-Paraffin, Western Blot, Flow Cytometry, Immunocytochemistry/ Immunofluorescence, Immunoprecipitation

Cited:

Flow Cytometry, Immunocytochemistry/ Immunofluorescence

Label

Unconjugated

Antibody Source

Recombinant Monoclonal Rabbit IgG Clone # BLR027F

Concentration

Please see the vial label for concentration. If unlisted please contact technical services.

Product Specifications

Immunogen

The immunogen recognized by this recombinant LAG-3 Antibody (BLR027F) maps to a region between amino acids 500 and 525 (C-Term)

Clonality

Monoclonal

Host

Rabbit

Isotype

IgG

Theoretical MW

57.5 kDa.
Disclaimer note: The observed molecular weight of the protein may vary from the listed predicted molecular weight due to post translational modifications, post translation cleavages, relative charges, and other experimental factors.

Description

Novus Biologicals Rabbit LAG-3 Antibody (BLR027F) (NBP2-76402) is a recombinant monoclonal antibody validated for use in Multiplex Immunofluorescence, IHC, WB, Flow, ICC/IF and IP. Anti-LAG-3 Antibody: Cited in 2 publications. All Novus Biologicals antibodies are covered by our 100% guarantee.

Scientific Data Images for LAG-3 Antibody (BLR027F)

Western Blot: LAG-3 Antibody (BLR027F) [NBP2-76402]

Western Blot: LAG-3 Antibody (BLR027F) [NBP2-76402]

Western Blot: LAG-3 Antibody (BLR027F) [NBP2-76402] - Detection of human LAG3 by WB of HDLM-2, RPMI-8226, Jurkat, MJ, and HEK293T lysate (observed molecular weight of ~ 57 KDa). Antibody: Rabbit anti-LAG3 recombinant monoclonal [BLR027F] (NBP2-76402). Secondary: HRP-conjugated goat anti-rabbit IgG (NB7160). Lower Panel: Rabbit anti-GAPDH (NB300-322).
Immunoprecipitation: LAG-3 Antibody (BLR027F) [NBP2-76402]

Immunoprecipitation: LAG-3 Antibody (BLR027F) [NBP2-76402]

Immunoprecipitation: LAG-3 Antibody (BLR027F) [NBP2-76402] - Detection of human LAG3 by WB of immunoprecipitates from HDLM-2 lysate (observed molecular weight of ~ 57 KDa). Antibodies: Rabbit anti-LAG3 recombinant monoclonal [BLR027F] (NBP2-76402) and another rabbit anti-LAG3 recombinant monoclonal.
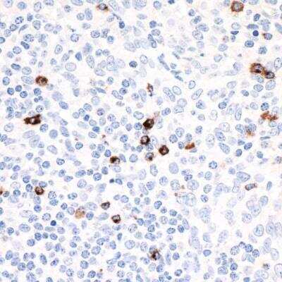
Immunocytochemistry/ Immunofluorescence: LAG-3 Antibody (BLR027F) [NBP2-76402]

Immunocytochemistry/ Immunofluorescence: LAG-3 Antibody (BLR027F) [NBP2-76402]

Immunocytochemistry/Immunofluorescence: LAG-3 Antibody (BLR027F) [NBP2-76402] - Detection of human LAG3 in FFPE HDLM-2 cells by ICC. Antibody: Rabbit anti-LAG3 recombinant monoclonal [BLR027F] (NBP2-76402). Secondary: HRP-conjugated goat anti-rabbit IgG. Substate: DAB.

Applications for LAG-3 Antibody (BLR027F)

Application
Recommended Usage

Flow Cytometry

Reported in scientific literature (PMID:35761082).

Immunocytochemistry/ Immunofluorescence

1:100 - 1:500

Immunohistochemistry

1:100 - 1:500

Immunohistochemistry-Paraffin

1:100 - 1:500

Immunoprecipitation

12 ul/0.5 mg lysate

Multiplex Immunofluorescence

1:250

Western Blot

1:1000
Application Notes
Epitope retrieval with citrate buffer pH6.0 is recommended for FFPE tissue sections.

Formulation, Preparation, and Storage

Purification

Antigen Affinity-purified

Formulation

Borate Buffered Saline (BBS) pH 8.2 with 0.1% BSA

Preservative

0.09% Sodium Azide

Concentration

Please see the vial label for concentration. If unlisted please contact technical services.

Shipping

The product is shipped with polar packs. Upon receipt, store it immediately at the temperature recommended below.

Stability & Storage

Store at 2 - 8 C / 1 year from date of receipt

Background: LAG-3

Lymphocyte activation gene-3 (LAG-3), also referred to as CD233, is a type I transmembrane protein with a theoretical molecular weight of 70 kDa that is a member of the immunoglobulin superfamily (IgSF) (1, 2). Human LAG-3 cDNA encodes 525 amino acids (aa) that includes a 28 aa signal sequence, a 422 aa extracellular domain (ECD) with four Ig-like domains (D1-D4), a transmembrane region and a highly charged cytoplasmic region. Within the ECD, human LAG-3 shares 70%, 67%, 76%, and 73% aa sequence identity with mouse, rat, porcine, and bovine LAG-3, respectively. The extracellular region of LAG-3 and the CD4 co-receptor share ~20% aa sequence homology but are structurally similar and both bind to major histocompatibility complex class II (MHCII) on antigen-presenting cells (APCs), although LAG-3 has much higher affinity (1, 3). LAG-3 is highly expressed in the lymph node, spleen, ovary, and appendix while expressed at a lower level in a variety of other tissues. More specifically, LAG-3 is expressed on activated CD4+ and CD8+ T cells, natural killer T (NKT) cells, natural killer (NK) cells, plasmacytoid dendritic cells (pDCs), and regulatory T cells (Tregs), but not on naive, or resting, T cells (1, 3).

As mentioned above, LAG-3 binds to MHCII and this occurs via a proline-rich amino acid loop in D1 (1, 3). Another unique feature of LAG-3 is the longer connecting peptide region between the D4 and the transmembrane, which is acted upon and cleaved by metalloproteinases a disintegrin and metallopeptidase domain (ADAM) 10 and ADAM17 to generate a soluble 54 kDa form of LAG-3 (sLAG-3) (1, 3). The interaction of LAG-3 with MHCII prevents the MHC molecule from binding to a T-cell receptor (TCR) or CD4, thereby functioning in an inhibitory role and suppressing the TCR signal (4). When LAG-3 crosslinks with the TCR/CD3 complex, it causes reduced T-cell proliferation and cytokine secretion (4). This negative regulation is important in controlling autoimmunity as one study found Lag3-/- NOD (non-obese diabetic) mice had accelerated diabetes onset and increased T-cell infiltration into islet cells (5). On the other hand, besides being a negative regulator of T-cells, LAG-3 binding to MHCII molecules on APCs induces dendritic cell maturation and cytokine secretion by monocytes (5, 6). In addition to MHCII, other reported ligands for LAG-3 includes fibrinogen-like protein 1 (FGL1), liver endothelial cell lectin (lSECtin), galectin-3 (Gal-3), and alpha-synuclein fibrils (1). Gal-3, for instance, is expressed on stromal cells and CD8+ T-cells in the tumor microenvironment and the interaction with LAG-3 was shown to be crucial for the suppression of secreted cytokine IFN-gamma and may control anti-tumor immune responses (1, 5). Interestingly, a mouse model of Parkinson's disease revealed LAG-3 binding to alpha-synuclein fibrils in the central nervous system, contributing to its pathogenesis (1, 5).

Recent cancer immunotherapeutic approaches have focused on inhibitory receptors such as LAG-3 to revive expression of cytotoxic T-cells to attack tumors (6). LAG-3 has been shown to be co-expressed and have synergy with another immune-checkpoint molecule called programmed-death 1 (PD-1) (1, 4, 5, 6). In a mouse model of colon adenocarcinoma LAG3 blockade alone was largely ineffective, however co-blockade of LAG-3 and PD-1 limited tumor growth and resulted in tumor clearance in 80% of mice, compared to 40% with PD-1 blockade alone (5). Additionally, in a model of fibrosarcoma the LAG-3/PD-1 duel blockade increased survival and the percentage of tumor-free mice (5). Analysis of a variety of human tumor samples (e.g. melanoma, colon cancer, head and neck squamous cell carcinoma) also suggest that LAG3 alone and combinatorial treatment with PD-1 may be a good target for treatment (1, 3-6). To date there are over 10 different agents targeting LAG-3 in clinical trials for cancer either as an anti-LAG-3 blocking antibody monotherapy or as a combination antagonist bispecific antibody, primarily with PD-1 (1, 3-6).

Alternative names for LAG-3 includes 17b4 lag3, 17b4 neutralizing, 17b4, CD223, FDC, LAG-3 17b4, LAG-3 blocking, and LAG3.

References

1. Maruhashi, T., Sugiura, D., Okazaki, I. M., & Okazaki, T. (2020). LAG-3: from molecular functions to clinical applications. Journal for Immunotherapy of Cancer, 8(2), e001014. https://doi.org/10.1136/jitc-2020-001014

2. Triebel, F., Jitsukawa, S., Baixeras, E., Roman-Roman, S., Genevee, C., Viegas-Pequignot, E., & Hercend, T. (1990). LAG-3, a novel lymphocyte activation gene closely related to CD4. The Journal of experimental medicine, 171(5), 1393-1405. https://doi.org/10.1084/jem.171.5.1393

3. Ruffo, E., Wu, R. C., Bruno, T. C., Workman, C. J., & Vignali, D. (2019). Lymphocyte-activation gene 3 (LAG3): The next immune checkpoint receptor. Seminars in immunology, 42, 101305. https://doi.org/10.1016/j.smim.2019.101305

4. Long, L., Zhang, X., Chen, F., Pan, Q., Phiphatwatchara, P., Zeng, Y., & Chen, H. (2018). The promising immune checkpoint LAG-3: from tumor microenvironment to cancer immunotherapy. Genes & cancer, 9(5-6), 176-189.

5. Andrews, L. P., Marciscano, A. E., Drake, C. G., & Vignali, D. A. (2017). LAG3 (CD223) as a cancer immunotherapy target. Immunological reviews, 276(1), 80-96. https://doi.org/10.1111/imr.12519

6. Goldberg, M. V., & Drake, C. G. (2011). LAG-3 in Cancer Immunotherapy. Current topics in microbiology and immunology, 344, 269-278. https://doi.org/10.1007/82_2010_114

Long Name

Lymphocyte-activation Gene 3

Alternate Names

CD223, LAG3

Gene Symbol

LAG3

Additional LAG-3 Products

Product Documents for LAG-3 Antibody (BLR027F)

Certificate of Analysis

To download a Certificate of Analysis, please enter a lot number in the search box below.

Product Specific Notices for LAG-3 Antibody (BLR027F)

This Product sold under License from Bethyl Laboratories, Inc.

This product is for research use only and is not approved for use in humans or in clinical diagnosis. Primary Antibodies are guaranteed for 1 year from date of receipt.

Loading...
Loading...
Loading...
Loading...
Loading...
Loading...