Skip to main content

Kynureninase Antibody (OTI1H1)

Novus Biologicals, part of Bio-Techne | Catalog # NBP2-45579

Novus Biologicals, part of Bio-Techne
Catalog #
Availability
Size / Price
Qty
Loading...
NBP2-45579

Key Product Details

Species Reactivity

Human, Rat

Applications

Immunohistochemistry, Immunohistochemistry-Paraffin

Label

Unconjugated

Antibody Source

Monoclonal Mouse IgG2B Clone # OTI1H1

Concentration

1 mg/ml

Product Specifications

Immunogen

Human recombinant protein fragment corresponding to amino acids 1-216 of human KYNU (NP_001028170) produced in E.coli.

Clonality

Monoclonal

Host

Mouse

Isotype

IgG2B

Theoretical MW

34.5 kDa.
Disclaimer note: The observed molecular weight of the protein may vary from the listed predicted molecular weight due to post translational modifications, post translation cleavages, relative charges, and other experimental factors.

Description

Novus Biologicals Mouse Kynureninase Antibody (OTI1H1) (NBP2-45579) is a monoclonal antibody validated for use in IHC. All Novus Biologicals antibodies are covered by our 100% guarantee.

Scientific Data Images for Kynureninase Antibody (OTI1H1)

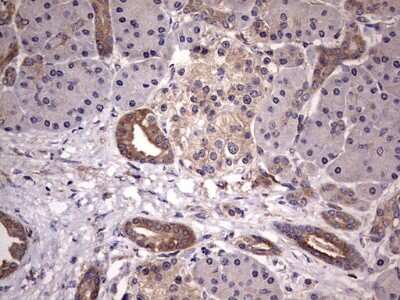
Immunohistochemistry-Paraffin: Kynureninase Antibody (OTI1H1) [NBP2-45579]

Immunohistochemistry-Paraffin: Kynureninase Antibody (OTI1H1) [NBP2-45579]

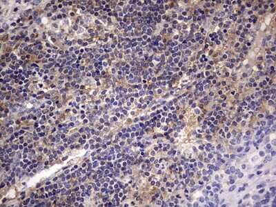
Immunohistochemistry-Paraffin: Kynureninase Antibody (1H1) [NBP2-45579] - staining of paraffin-embedded Human lymphoma tissue using anti-KYNU mouse monoclonal antibody. ; heat-induced epitope retrieval by 1 mM EDTA in 10mM Tris, pH8.5, 120C for 3min)
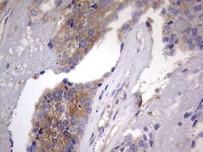
Immunohistochemistry: Kynureninase Antibody (OTI1H1) [NBP2-45579]

Immunohistochemistry: Kynureninase Antibody (OTI1H1) [NBP2-45579]

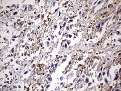
Immunohistochemistry: Kynureninase Antibody (1H1) [NBP2-45579] - Analysis of Adenocarcinoma of Human breast tissue.
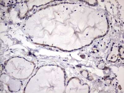
Immunohistochemistry: Kynureninase Antibody (OTI1H1) [NBP2-45579]

Immunohistochemistry: Kynureninase Antibody (OTI1H1) [NBP2-45579]

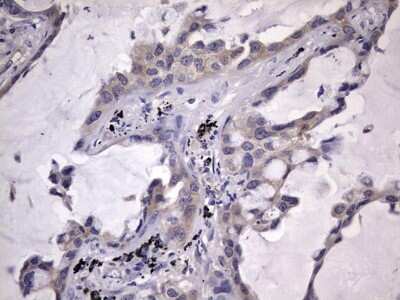
Immunohistochemistry: Kynureninase Antibody (1H1) [NBP2-45579] - Analysis of Adenocarcinoma of Human colon tissue.

Applications for Kynureninase Antibody (OTI1H1)

Application
Recommended Usage

Immunohistochemistry

1:150

Immunohistochemistry-Paraffin

1:150

Formulation, Preparation, and Storage

Purification

Immunogen affinity purified

Formulation

PBS (pH 7.3), 1.0% BSA and 50% Glycerol

Preservative

0.02% Sodium Azide

Concentration

1 mg/ml

Shipping

The product is shipped with polar packs. Upon receipt, store it immediately at the temperature recommended below.

Stability & Storage

Store at -20C. Avoid freeze-thaw cycles.

Background: Kynureninase

KYNU, also known as Kynureninase, has a 465 amino acid long isoform that is 52 kDa and a short 307 amino acid that is 35 kDa; its highest expressed levels are found in placenta, liver and lung; is a PLP dependent enzyme that catalyses the cleavage of kynurenine (Kyn) into anthranilic acid (Ant), and It can also act on 3hKyn (to produce 3hAnt) and some other (3-arylcarbonyl)-alanines, and has cysteine-conjugate-beta-lyase activity. This protein is currently being studied for research on the following diseases and disorders: transient cerebral ischemia, vitamin b deficiency, hydroxykynureninuria, pellagra, cerebritis, ischemia, atopic dermatitis, intrahepatic cholangiocarcinoma, essential hypertension, noma, brain injury, dermatitis, psoriasis cholangiocarcinoma, neurologic diseases, interferon, and neuronitis. Interactions with KYNU protein have been shown to involve 40 proteins including GCK, PIN1, NEDD4L, HSPA9, and ETFA in tryptophan catabolism, metabolism, metabolism of amino acids and derivatives, and NAD metabolism pathways.

Alternate Names

KYNU, L-kynurenine hydrolase

Gene Symbol

KYNU

Additional Kynureninase Products

Product Documents for Kynureninase Antibody (OTI1H1)

Certificate of Analysis

To download a Certificate of Analysis, please enter a lot number in the search box below.

Product Specific Notices for Kynureninase Antibody (OTI1H1)

This product is for research use only and is not approved for use in humans or in clinical diagnosis. Primary Antibodies are guaranteed for 1 year from date of receipt.

Loading...
Loading...
Loading...
Loading...