Skip to main content

KPNA3 Antibody (HL1573) - Azide and BSA Free

Novus Biologicals, part of Bio-Techne | Catalog # NBP3-25545

Recombinant Monoclonal Antibody
Novus Biologicals, part of Bio-Techne
Catalog #
Availability
Size / Price
Qty
Loading...
NBP3-25545

Key Product Details

Species Reactivity

Validated:

Human, Mouse, Rat

Predicted:

Bovine (100%), Chicken (100%), Porcine (100%). Backed by our 100% Guarantee.

Applications

Immunohistochemistry, Immunohistochemistry-Paraffin, Western Blot

Label

Unconjugated

Antibody Source

Recombinant Monoclonal Rabbit IgG Clone # HL1573 expressed in HEK293

Format

Azide and BSA Free

Concentration

Concentrations vary lot to lot. See vial label for concentration. If unlisted please contact technical services.

Product Specifications

Immunogen

Carrier-protein conjugated synthetic peptide encompassing a sequence within the C-terminus region of human KPNA3. The exact sequence is proprietary.

Clonality

Monoclonal

Host

Rabbit

Isotype

IgG

Description

Novus Biologicals Rabbit KPNA3 Antibody (HL1573) - Azide and BSA Free (NBP3-25545) is a recombinant monoclonal antibody validated for use in IHC and WB. All Novus Biologicals antibodies are covered by our 100% guarantee.

Scientific Data Images for KPNA3 Antibody (HL1573) - Azide and BSA Free

KPNA3 Antibody (HL1573) - Azide and BSA Free

Western Blot: KPNA3 Antibody (HL1573) - Azide and BSA Free [NBP3-25545] -

Western Blot: KPNA3 Antibody (HL1573) - Azide and BSA Free [NBP3-25545] - Various whole cell extracts (30 ug) were separated by 10% SDS-PAGE, and the membrane was blotted with KPNA3 antibody [HL1573] (NBP3-25545) diluted at 1:1000. The HRP-conjugated anti-rabbit IgG antibody was used to detect the primary antibody.
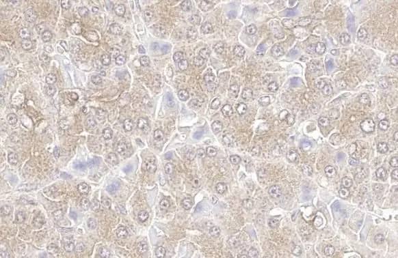
KPNA3 Antibody (HL1573) - Azide and BSA Free

Immunohistochemistry-Paraffin: KPNA3 Antibody (HL1573) - Azide and BSA Free [NBP3-25545] -

Immunohistochemistry-Paraffin: KPNA3 Antibody (HL1573) - Azide and BSA Free [NBP3-25545] - KPNA3 antibody [HL1573] detects KPNA3 protein by immunohistochemical analysis. Sample: Paraffin-embedded rat liver. KPNA3 stained by KPNA3 antibody [HL1573] (NBP3-25545) diluted at 1:100. Antigen Retrieval: Citrate buffer, pH 6.0, 15 min
KPNA3 Antibody (HL1573) - Azide and BSA Free

Western Blot: KPNA3 Antibody (HL1573) - Azide and BSA Free [NBP3-25545] -

Western Blot: KPNA3 Antibody (HL1573) - Azide and BSA Free [NBP3-25545] - Various tissue extracts (50 ug) were separated by 10% SDS-PAGE, and the membrane was blotted with KPNA3 antibody [HL1573] (NBP3-25545) diluted at 1:1000. The HRP-conjugated anti-rabbit IgG antibody was used to detect the primary antibody.

Applications for KPNA3 Antibody (HL1573) - Azide and BSA Free

Application
Recommended Usage

Western Blot

1:500-1:3000

Formulation, Preparation, and Storage

Purification

Protein A purified

Formulation

PBS

Format

Azide and BSA Free

Preservative

No Preservative

Concentration

Concentrations vary lot to lot. See vial label for concentration. If unlisted please contact technical services.

Shipping

The product is shipped with polar packs. Upon receipt, store it immediately at the temperature recommended below.

Stability & Storage

Store at 4C short term. Aliquot and store at -20C long term. Avoid freeze-thaw cycles.

Background: KPNA3

The transport of molecules between the nucleus and the cytoplasm in eukaryotic cells is mediated by the nuclear pore complex (NPC) which consists of 60-100 proteins and is probably 120 million daltons in molecular size. Small molecules (up to 70 kD) can pass through the nuclear pore by nonselective diffusion; larger molecules are transported by an active process. Most nuclear proteins contain short basic amino acid sequences known as nuclear localization signals (NLSs). KPNA3, encodes a protein similar to certain nuclear transport proteins of Xenopus and human. The predicted amino acid sequence shows similarity to Xenopus importin, yeast SRP1, and human RCH1 (KPNA2), respectively. The similarities among these proteins suggests that karyopherin alpha-3 may be involved in the nuclear transport system. [provided by RefSeq]

Alternate Names

hSRP1, importin alpha 4, Importin alpha Q2, importin alpha-3, importin subunit alpha-3, importin-alpha-Q2, IPOA4, karyopherin alpha 3 (importin alpha 4), Karyopherin subunit alpha-3, QIP2, SRP1, SRP1gamma, SRP1-gamma, SRP4

Gene Symbol

KPNA3

Additional KPNA3 Products

Product Documents for KPNA3 Antibody (HL1573) - Azide and BSA Free

Certificate of Analysis

To download a Certificate of Analysis, please enter a lot number in the search box below.

Product Specific Notices for KPNA3 Antibody (HL1573) - Azide and BSA Free

This product is for research use only and is not approved for use in humans or in clinical diagnosis. Primary Antibodies are guaranteed for 1 year from date of receipt.

Loading...
Loading...
Loading...
Loading...