KLHL9 Antibody - BSA Free
Novus Biologicals, part of Bio-Techne | Catalog # NBP3-04398
Key Product Details
Species Reactivity
Human, Mouse, Rat
Applications
Immunohistochemistry, Immunohistochemistry-Paraffin, Western Blot
Label
Unconjugated
Antibody Source
Polyclonal Rabbit IgG
Format
BSA Free
Concentration
Please see the vial label for concentration. If unlisted please contact technical services.
Product Specifications
Immunogen
Recombinant fusion protein containing a sequence corresponding to amino acids 1-100 of human KLHL9 (NP_061335.1). MKVSLGNGEMGVSAHLQPCKAGTTRFFTSNTHSSVVLQGFDQLRIEGLLCDVTLVPGDGDEIFPVHRAMMASASDYFKAMFTGGMKEQDLMCIKLHGVNK
Clonality
Polyclonal
Host
Rabbit
Isotype
IgG
Theoretical MW
69 kDa.
Disclaimer note: The observed molecular weight of the protein may vary from the listed predicted molecular weight due to post translational modifications, post translation cleavages, relative charges, and other experimental factors.
Disclaimer note: The observed molecular weight of the protein may vary from the listed predicted molecular weight due to post translational modifications, post translation cleavages, relative charges, and other experimental factors.
Description
Novus Biologicals Rabbit KLHL9 Antibody - BSA Free (NBP3-04398) is a polyclonal antibody validated for use in IHC and WB. All Novus Biologicals antibodies are covered by our 100% guarantee.
Scientific Data Images for KLHL9 Antibody - BSA Free
Western Blot: KLHL9 AntibodyBSA Free [NBP3-04398]
Western Blot: KLHL9 Antibody [NBP3-04398] - Analysis of extracts of 293T cells, using KLHL9 antibody at 1:1000 dilution. Secondary antibody: HRP Goat Anti-Rabbit IgG (H+L) at 1:10000 dilution. Lysates/proteins: 25ug per lane. Blocking buffer: 3% nonfat dry milk in TBST. Detection: ECL Basic Kit .Immunohistochemistry-Paraffin: KLHL9 Antibody - BSA Free [NBP3-04398]
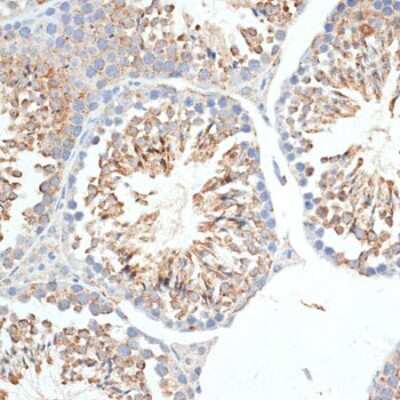
Immunohistochemistry-Paraffin: KLHL9 Antibody [NBP3-04398] - Paraffin-embedded mouse testis using KLHL9 antibody at dilution of 1:100 (40x lens).Immunohistochemistry-Paraffin: KLHL9 Antibody - BSA Free [NBP3-04398]
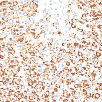
Immunohistochemistry-Paraffin: KLHL9 Antibody [NBP3-04398] - Paraffin-embedded rat ovary using KLHL9 antibody at dilution of 1:100 (40x lens).Applications for KLHL9 Antibody - BSA Free
Application
Recommended Usage
Immunohistochemistry
1:50-1:200
Western Blot
1:500-1:2000
Formulation, Preparation, and Storage
Purification
Affinity purified
Formulation
PBS (pH 7.3), 50% glycerol
Format
BSA Free
Preservative
0.02% Sodium Azide
Concentration
Please see the vial label for concentration. If unlisted please contact technical services.
Shipping
The product is shipped with polar packs. Upon receipt, store it immediately at the temperature recommended below.
Stability & Storage
Store at -20C. Avoid freeze-thaw cycles.
Background: KLHL9
Alternate Names
FLJ13568, FLJ21815, kelch-like 9 (Drosophila), kelch-like protein 9, KIAA1354
Gene Symbol
KLHL9
Additional KLHL9 Products
Product Documents for KLHL9 Antibody - BSA Free
Product Specific Notices for KLHL9 Antibody - BSA Free
This product is for research use only and is not approved for use in humans or in clinical diagnosis. Primary Antibodies are guaranteed for 1 year from date of receipt.
Loading...
Loading...
Loading...
Loading...