Skip to main content

KDM6A Antibody - BSA Free

Novus Biologicals, part of Bio-Techne | Catalog # NBP3-05103

Novus Biologicals, part of Bio-Techne
Catalog #
Availability
Size / Price
Qty
Loading...
NBP3-05103-100ul
NBP3-05103-20ul

Key Product Details

Species Reactivity

Human, Mouse, Rat

Applications

Immunohistochemistry, Immunohistochemistry-Paraffin, Western Blot

Label

Unconjugated

Antibody Source

Polyclonal Rabbit IgG

Format

BSA Free

Concentration

Please see the vial label for concentration. If unlisted please contact technical services.

Product Specifications

Immunogen

Recombinant fusion protein containing a sequence corresponding to amino acids 550-700 of mouse KDM6A (NP_033509.1). MPSVSQPGVHTACPRQTLANGPFSAGHVPCSTSRTLGSTDTVLIGNNHVTGSGSNGNVPYLQRNAPTLPHNRTNLTSSTEEPWKNQLSNSTQGLHKGPSSHLAGPNGERPLSSTGPSQHLQAAGSGIQNQNGHPTLPSNSVTQGAALNHLS

Clonality

Polyclonal

Host

Rabbit

Isotype

IgG

Description

Novus Biologicals Rabbit KDM6A Antibody - BSA Free (NBP3-05103) is a polyclonal antibody validated for use in IHC and WB. All Novus Biologicals antibodies are covered by our 100% guarantee.

Scientific Data Images for KDM6A Antibody - BSA Free

KDM6A Antibody - Azide and BSA Free

Western Blot: KDM6A Antibody - Azide and BSA Free [KDM6A] -

Western Blot: KDM6A Antibody - Azide and BSA Free [KDM6A] - Western blot analysis of various lysates, using KDM6A Rabbit pAb at 1:700 dilution.
Secondary antibody: HRP-conjugated Goat anti-Rabbit IgG (H+L) at 1:10000 dilution.
Lysates/proteins: 25ug per lane.
Blocking buffer: 3% nonfat dry milk in TBST.
Detection: ECL Basic Kit .
Exposure time: 60s.
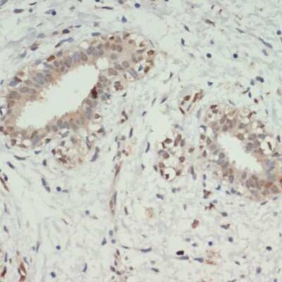
Immunohistochemistry-Paraffin: KDM6A Antibody - Azide and BSA Free [NBP3-05103]

Immunohistochemistry-Paraffin: KDM6A Antibody - Azide and BSA Free [NBP3-05103]

Immunohistochemistry-Paraffin: KDM6A Antibody [NBP3-05103] - Paraffin-embedded human breast cancer using KDM6A antibody at dilution of 1:200 (40x lens).

Applications for KDM6A Antibody - BSA Free

Application
Recommended Usage

Immunohistochemistry

1:50-1:200

Western Blot

1:500 - 1:1000

Formulation, Preparation, and Storage

Purification

Affinity purified

Formulation

PBS (pH 7.3), 50% glycerol

Format

BSA Free

Preservative

0.09% Sodium Azide

Concentration

Please see the vial label for concentration. If unlisted please contact technical services.

Shipping

The product is shipped with polar packs. Upon receipt, store it immediately at the temperature recommended below.

Stability & Storage

Store at -20C. Avoid freeze-thaw cycles.

Background: Lysine (K)-specific Demethylase 6A/KDM6A/UTX

UTX - ubiquitously transcribed tetratricopeptide repeat, X chromosome

Alternate Names

KABUK2, KDM6A, Lysine (K)specific Demethylase 6A, UTX

Gene Symbol

KDM6A

Additional Lysine (K)-specific Demethylase 6A/KDM6A/UTX Products

Product Documents for KDM6A Antibody - BSA Free

Certificate of Analysis

To download a Certificate of Analysis, please enter a lot number in the search box below.

Product Specific Notices for KDM6A Antibody - BSA Free

This product is for research use only and is not approved for use in humans or in clinical diagnosis. Primary Antibodies are guaranteed for 1 year from date of receipt.

Loading...
Loading...
Loading...
Loading...

⚠ WARNING: This product can expose you to chemicals including Methotrexate, which is known to the State of California to cause reproductive toxicity with developmental effects. For more information, go to www.P65Warnings.ca.gov