Skip to main content

KATNBL1 Antibody - BSA Free

Novus Biologicals, part of Bio-Techne | Catalog # NBP3-47818

Novus Biologicals, part of Bio-Techne
Catalog #
Availability
Size / Price
Qty
Loading...
NBP3-47818

Key Product Details

Species Reactivity

Human, Mouse, Rat

Applications

ELISA, Immunohistochemistry, Western Blot

Label

Unconjugated

Antibody Source

Polyclonal Rabbit IgG

Format

BSA Free

Concentration

Please see the vial label for concentration. If unlisted please contact technical services.

Product Specifications

Immunogen

chromosome 15 open reading frame 29. (Uniprot# Q9H079)

Clonality

Polyclonal

Host

Rabbit

Isotype

IgG

Theoretical MW

28 kDa.
Disclaimer note: The observed molecular weight of the protein may vary from the listed predicted molecular weight due to post translational modifications, post translation cleavages, relative charges, and other experimental factors.

Description

Novus Biologicals Rabbit KATNBL1 Antibody - BSA Free (NBP3-47818) is a polyclonal antibody validated for use in IHC, WB and ELISA. All Novus Biologicals antibodies are covered by our 100% guarantee.

Scientific Data Images for KATNBL1 Antibody - BSA Free

KATNBL1 Antibody - BSA Free

Western Blot: KATNBL1 Antibody - BSA Free [NBP3-47818] -

Western Blot: KATNBL1 Antibody - BSA Free [NBP3-47818] - Neuro-2a cells were subjected to SDS PAGE followed by western blot with (KATNBL1 Antibody) at dilution of 1:600
KATNBL1 Antibody - BSA Free

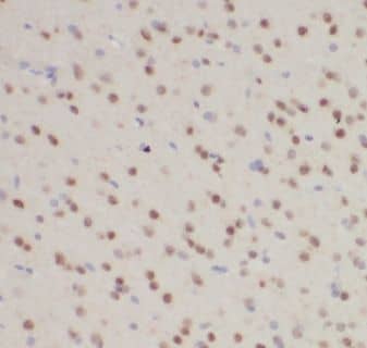
Immunohistochemistry: KATNBL1 Antibody - BSA Free [NBP3-47818] -

Immunohistochemistry: KATNBL1 Antibody - BSA Free [NBP3-47818] - Immunohistochemistry of paraffin-embedded mouse brain tissue slide using (KATNBL1 Antibody) at dilution of 1:50

Applications for KATNBL1 Antibody - BSA Free

Application
Recommended Usage

Immunohistochemistry

1:20-1:200

Western Blot

1:500-1:2000

Formulation, Preparation, and Storage

Purification

Immunogen affinity purified

Formulation

PBS, 50% Glycerol, pH (7.3)

Format

BSA Free

Preservative

0.02% Sodium Azide

Concentration

Please see the vial label for concentration. If unlisted please contact technical services.

Shipping

The product is shipped with polar packs. Upon receipt, store it immediately at the temperature recommended below.

Stability & Storage

Store at -20C. Avoid freeze-thaw cycles.

Background: KATNBL1

C15orf29( AAH26234, 1 a.a. - 305 a.a.) full-length recombinant protein with GST.

Alternate Names

C15orf29, chromosome 15 open reading frame 29, FLJ22557, hypothetical protein LOC79768, MGC117356

Gene Symbol

KATNBL1

Additional KATNBL1 Products

Product Documents for KATNBL1 Antibody - BSA Free

Certificate of Analysis

To download a Certificate of Analysis, please enter a lot number in the search box below.

Product Specific Notices for KATNBL1 Antibody - BSA Free

This product is for research use only and is not approved for use in humans or in clinical diagnosis. Primary Antibodies are guaranteed for 1 year from date of receipt.

Loading...
Loading...
Loading...
Loading...