JMJD4 Antibody - BSA Free
Novus Biologicals, part of Bio-Techne | Catalog # NBP1-94032
Key Product Details
Species Reactivity
Human
Applications
Immunohistochemistry, Immunohistochemistry-Paraffin, Immunocytochemistry/ Immunofluorescence
Label
Unconjugated
Antibody Source
Polyclonal Rabbit IgG
Format
BSA Free
Concentration
Concentrations vary lot to lot. See vial label for concentration. If unlisted please contact technical services.
Product Specifications
Immunogen
This antibody was developed against Recombinant Protein corresponding to amino acids: SWSVNVCGRKKWLLFPPGQEEALRDRHGNLPYDVTSPALCDTHLHPRNQLAGPPLEITQEAGEMVFVPSGWHHQVHNLDDTISINHNWVNGFNLANMWRFLQQEL
Clonality
Polyclonal
Host
Rabbit
Isotype
IgG
Description
Novus Biologicals Rabbit JMJD4 Antibody - BSA Free (NBP1-94032) is a polyclonal antibody validated for use in IHC and ICC/IF. All Novus Biologicals antibodies are covered by our 100% guarantee.
Scientific Data Images for JMJD4 Antibody - BSA Free
Immunocytochemistry/ Immunofluorescence: JMJD4 Antibody [NBP1-94032]
Immunocytochemistry/Immunofluorescence: JMJD4 Antibody [NBP1-94032] - Immunofluorescent staining of human cell line A-431 shows localization to plasma membrane & vesicles.Immunohistochemistry-Paraffin: JMJD4 Antibody [NBP1-94032]
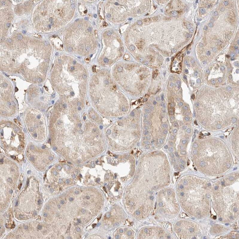
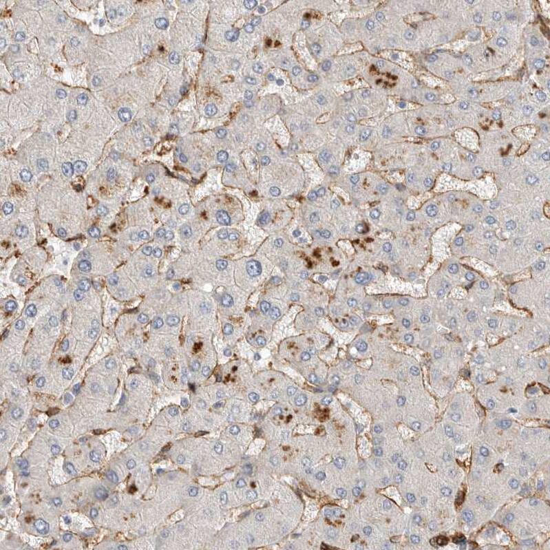
Immunohistochemistry-Paraffin: JMJD4 Antibody [NBP1-94032] - Staining of human liver shows distinct positivity in bile ducts and sinusoids.Immunohistochemistry: JMJD4 Antibody - BSA Free [NBP1-94032]
Staining of human colon shows strong cytoplasmic positivity in endothelial cells and weak cytoplasmic positivity in glandular cells.Applications for JMJD4 Antibody - BSA Free
Application
Recommended Usage
Immunocytochemistry/ Immunofluorescence
0.25-2 ug/ml
Immunohistochemistry
1:50 - 1:200
Immunohistochemistry-Paraffin
1:50 - 1:200
Application Notes
For IHC-Paraffin, HIER pH 6 retrieval is recommended. Immunocytochemistry/Immunofluorescence Fixation Permeabilization: Use PFA/Triton X-100.
Formulation, Preparation, and Storage
Purification
Affinity purified
Formulation
PBS (pH 7.2) and 40% Glycerol
Format
BSA Free
Preservative
0.02% Sodium Azide
Concentration
Concentrations vary lot to lot. See vial label for concentration. If unlisted please contact technical services.
Shipping
The product is shipped with polar packs. Upon receipt, store it immediately at the temperature recommended below.
Stability & Storage
Store at 4C short term. Aliquot and store at -20C long term. Avoid freeze-thaw cycles.
Background: JMJD4
Alternate Names
FLJ12517, jumonji domain containing 4, jumonji domain-containing protein 4
Gene Symbol
JMJD4
Additional JMJD4 Products
Product Documents for JMJD4 Antibody - BSA Free
Product Specific Notices for JMJD4 Antibody - BSA Free
This product is for research use only and is not approved for use in humans or in clinical diagnosis. Primary Antibodies are guaranteed for 1 year from date of receipt.
Loading...
Loading...
Loading...
Loading...