Skip to main content

JMJD1B Antibody

Novus Biologicals, part of Bio-Techne | Catalog # NB110-38879

Novus Biologicals, part of Bio-Techne
Catalog #
Availability
Size / Price
Qty
Loading...
NB110-38879

Key Product Details

Species Reactivity

Validated:

Human

Predicted:

Mouse (100%). Backed by our 100% Guarantee.

Applications

Immunohistochemistry, Immunohistochemistry-Paraffin, Western Blot, Immunoprecipitation

Label

Unconjugated

Antibody Source

Polyclonal Rabbit IgG

Concentration

0.2 mg/ml

Product Specifications

Immunogen

The immunogen recognized by this antibody maps to a region between residue 1710 and the C-terminus (residue1761) of human Jumonji Domain Containing 1B using the numbering given in entry NP_057688.2 (GeneID 51780).

Clonality

Polyclonal

Host

Rabbit

Isotype

IgG

Scientific Data Images for JMJD1B Antibody

Western Blot: JMJD1B Antibody [NB110-38879]

Western Blot: JMJD1B Antibody [NB110-38879]

Western Blot: JMJD1B Antibody [NB110-38879] - Whole cell lysate from HeLa (5, 15 and 50 mcg for WB; 1 mg for IP, 20% of IP loaded) and 293T (T; 50 mcg) cells. NB110-38879 used for WB at 0.04 mcg/ml (A) and 1 mcg/ml (B) and used for IP at 3 mcg/mg lysate (B).
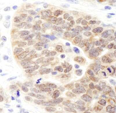
Immunohistochemistry: JMJD1B Antibody [NB110-38879]

Immunohistochemistry: JMJD1B Antibody [NB110-38879]

Immunohistochemistry: JMJD1B Antibody [NB110-38879] - Sample: FFPE section of human ovarian carcinoma. Antibody: Affinity purified rabbit anti- JMJD1B used at a dilution of 1:200 (1ug/ml). Detection: DAB

Applications for JMJD1B Antibody

Application
Recommended Usage

Immunohistochemistry

1:10-1:500

Immunohistochemistry-Paraffin

1:10-1:500

Immunoprecipitation

2-5 ug/mg lysate

Western Blot

1:2000-1:10000
Application Notes
Epitope retrieval with citrate buffer pH6.0 is recommended for FFPE tissue sections.

Formulation, Preparation, and Storage

Purification

Immunogen affinity purified

Formulation

TBS and 0.1% BSA

Preservative

0.09% Sodium Azide

Concentration

0.2 mg/ml

Shipping

The product is shipped with polar packs. Upon receipt, store it immediately at the temperature recommended below.

Stability & Storage

Store at 4C. Do not freeze.

Background: JMJD1B

JMJD1B is a member of the jumonji (jmj) domain containing gene family of histone demethylases that plays a role in chromatin regulation and influences transcriptional activation and suppression. Some recently characterized members of the jmj family include JARID1A/RBP2, JARID1C, JMJD1A, JMJD1B, JMJD1C, JMJD2A, JMJD2C and JMJD2D. JMJD1B was identified as the 5qNCA gene that lies within a locus on chromosome 5 that is frequently deleted in myeloid leukemias and myelodysplasias. JMJD1B has been demonstrated to have growth suppressive activity and is implicated as a tumor suppressor gene. Alternate names for JMJD1B include JmjC domain-containing histone demethylation protein 2B, jumonji domain-containing protein 1B, nuclear protein 5qNCA, c5orf7, JHDM2B, and KIAA1082.

Long Name

Lysine-specific demethylase 3B

Alternate Names

C5orf7, EC 1.14.11.65, JHDM2B, KDM3B, KIAA1082

Entrez Gene IDs

51780 (Human)

Gene Symbol

KDM3B

Additional JMJD1B Products

Product Documents for JMJD1B Antibody

Certificate of Analysis

To download a Certificate of Analysis, please enter a lot number in the search box below.

Product Specific Notices for JMJD1B Antibody

This product is for research use only and is not approved for use in humans or in clinical diagnosis. Primary Antibodies are guaranteed for 1 year from date of receipt.

Loading...
Loading...
Loading...
Loading...