Skip to main content

Isocitrate Dehydrogenase 1/IDH1 Antibody (IDH1/6806R) - Azide and BSA Free

Novus Biologicals, part of Bio-Techne | Catalog # NBP3-14080

Recombinant Monoclonal Antibody
Novus Biologicals, part of Bio-Techne

Key Product Details

Species Reactivity

Human

Applications

Immunohistochemistry-Paraffin

Label

Unconjugated

Antibody Source

Recombinant Monoclonal Rabbit IgG Kappa Clone # IDH1/6806R

Format

Azide and BSA Free

Concentration

1 mg/ml

Product Specifications

Immunogen

Recombinant fragment of human Isocitrate Dehydrogenase 1/IDH1 protein (around aa 281-414) (exact sequence is proprietary) (Uniprot: O75874 )

Localization

Cytoplasm, Nucleus

Specificity

IDH1 R132H antibody binds to IDH1-mutated protein, but does not bind the wild-type IDH1 protein. IDH1 R132H point mutations are frequently seen in World Health Organization grade II and III gliomas and are believed to constitute an early step in tumorigenesis. IDH1 R132H can be used as a diagnostic marker to help differentiate infiltrating gliomas from gliosis, and as a prognostic marker for gliomas and secondary glioblastoma multiforme. IDH1 R132H antibody shows strong cytoplasmic staining and weaker nuclear staining in tumor cells with the R132H-mutated peptide. Diffuse staining of the fibrillary tumor matrix is also seen.

Clonality

Monoclonal

Host

Rabbit

Isotype

IgG Kappa

Description

1.0 mg/ml of antibody purified from Bioreactor Concentrate by Protein A/G. Prepared in 1mM PBS WITHOUT BSA & azide. Also available at 200 ug/ml WITH BSA & azide (NBP3-13943).

Antibody without azide - store at -20 to -80C. Antibody with azide - store at 2 to 8C. Non-hazardous.

Theoretical molecular weight: 45-47kDa

Scientific Data Images

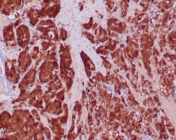
Isocitrate Dehydrogenase 1/IDH1 Antibody (IDH1/6806R) - Azide and BSA Free

Isocitrate Dehydrogenase 1/IDH1 Antibody (IDH1/6806R)

FFPE prostate carcinoma with IDH1-R132H mutation stained with Isocitrate Dehydrogenase 1/IDH1 antibody (IDH1/6806R).
Isocitrate Dehydrogenase 1/IDH1 Antibody (IDH1/6806R) - Azide and BSA Free

Isocitrate Dehydrogenase 1/IDH1 Antibody (IDH1/6806R)

FFPE human glioblastoma with IDH1-R132H mutation stained with Isocitrate Dehydrogenase 1/IDH1 antibody (IDH1/6806R). HIER: Tris/EDTA, pH9.0, 45min. Secondary: HRP-polymer, 30min. DAB, 5min.

Applications

Application
Recommended Usage

Immunohistochemistry-Paraffin

1-2 ug/ml
Application Notes
Immunohistochemistry (Formalin-fixed): 1-2ug/ml for 30 minutes at RT. Staining of formalin-fixed tissues requires heating tissue sections in 10mM Tris with 1mM EDTA, pH 9.0, for 45 min at 95C followed by cooling at RT for 20 minutes

Formulation, Preparation, and Storage

Purification

Protein A or G purified

Formulation

1mM PBS

Format

Azide and BSA Free

Preservative

No Preservative

Concentration

1 mg/ml

Shipping

The product is shipped with polar packs. Upon receipt, store it immediately at the temperature recommended below.

Stability & Storage

Store at -20 to -80C. Avoid freeze-thaw cycles.

Background: Isocitrate Dehydrogenase 1/IDH1

Isocitrate dehydrogenases catalyze the oxidative decarboxylation of isocitrate to 2-oxoglutarate. These enzymes belong to two distinct subclasses, one of which utilizes NAD(+) as the electron acceptor and the other NADP(+). Five isocitrate dehydrogenases have been reported: three NAD(+)-dependent isocitrate dehydrogenases, which localize to the mitochondrial matrix, and two NADP(+)-dependent isocitrate dehydrogenases, one of which is mitochondrial and the other predominantly cytosolic. Each NADP(+)-dependent isozyme is a homodimer. The protein encoded by this gene is the NADP(+)-dependent isocitrate dehydrogenase found in the cytoplasm and peroxisomes. It contains the PTS-1 peroxisomal targeting signal sequence. The presence of this enzyme in peroxisomes suggests roles in the regeneration of NADPH for intraperoxisomal reductions, such as the conversion of 2, 4-dienoyl-CoAs to 3-enoyl-CoAs, as well as in peroxisomal reactions that consume 2-oxoglutarate, namely the alpha-hydroxylation of phytanic acid. The cytoplasmic enzyme serves a significant role in cytoplasmic NADPH production. [provided by RefSeq]

Alternate Names

IDCD, IDH1, IDP, IDPC, PICD

Gene Symbol

IDH1

Additional Isocitrate Dehydrogenase 1/IDH1 Products

Product Documents

Certificate of Analysis

To download a Certificate of Analysis, please enter a lot number in the search box below.

Product Specific Notices

This product is for research use only and is not approved for use in humans or in clinical diagnosis. Primary Antibodies are guaranteed for 1 year from date of receipt.

Loading...
Loading...
Loading...
Loading...