Skip to main content

Integrin alpha V/CD51 Antibody (S03-6E3)

Novus Biologicals, part of Bio-Techne | Catalog # NBP3-19510

Recombinant Monoclonal Antibody
Novus Biologicals, part of Bio-Techne
Catalog #
Availability
Size / Price
Qty
Loading...
NBP3-19510-100ul
NBP3-19510-50ul

Key Product Details

Species Reactivity

Human, Mouse, Rat

Applications

Immunohistochemistry, Immunohistochemistry-Paraffin, Western Blot

Label

Unconjugated

Antibody Source

Recombinant Monoclonal Rabbit IgG Clone # S03-6E3 expressed in HEK293

Concentration

0.3 mg/ml

Product Specifications

Immunogen

Recombinant protein of human Integrin alpha V/CD51 (Uniprot # P06756)

Clonality

Monoclonal

Host

Rabbit

Isotype

IgG

Theoretical MW

135 kDa.
Disclaimer note: The observed molecular weight of the protein may vary from the listed predicted molecular weight due to post translational modifications, post translation cleavages, relative charges, and other experimental factors.

Description

Novus Biologicals Rabbit Integrin alpha V/CD51 Antibody (S03-6E3) (NBP3-19510) is a recombinant monoclonal antibody validated for use in IHC and WB. All Novus Biologicals antibodies are covered by our 100% guarantee.

Scientific Data Images for Integrin alpha V/CD51 Antibody (S03-6E3)

Western Blot: Integrin alpha V/CD51 Antibody (S03-6E3) [NBP3-19510]

Western Blot: Integrin alpha V/CD51 Antibody (S03-6E3) [NBP3-19510]

Western Blot: Integrin alpha V/CD51 Antibody (S03-6E3) [NBP3-19510] - Western blot detection of Integrin alpha V/CD51 in C6, 3T3, Hela cell lysates using NBP3-19510 (1:1000 diluted). Predicted band size: 87kDa. Observed band size: 135kDa.
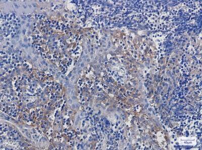
Immunohistochemistry-Paraffin: Integrin alpha V/CD51 Antibody (S03-6E3) [NBP3-19510]

Immunohistochemistry-Paraffin: Integrin alpha V/CD51 Antibody (S03-6E3) [NBP3-19510]

Immunohistochemistry-Paraffin: Integrin alpha V/CD51 Antibody (S03-6E3) [NBP3-19510] - Immunohistochemistry of Integrin alpha V/CD51 in paraffin-embedded Human tonsil using NBP3-19510 at dilution 1/100

Applications for Integrin alpha V/CD51 Antibody (S03-6E3)

Application
Recommended Usage

Immunohistochemistry

1/20-1/500

Western Blot

1/1000

Formulation, Preparation, and Storage

Purification

Affinity purified

Formulation

50mM Tris-Glycine(pH 7.4), 0.15M NaCl, 40% Glycerol, 0.05% BSA

Preservative

0.01% Sodium Azide

Concentration

0.3 mg/ml

Shipping

The product is shipped with polar packs. Upon receipt, store it immediately at the temperature recommended below.

Stability & Storage

Store at 4C short term. Aliquot and store at -20C long term. Avoid freeze-thaw cycles.

Background: Integrin alpha V/CD51

Integrin alpha V chain interacts with the integrin beta 3 subunit/CD61 to form the alpha-V-beta-3 heterodimer/vitronectin receptor. It is expressed on endothelial cells, some activated leukocytes, NK cells, macrophages, neutrophils, and platelets. Integrin alpha V also forms heterodimers with the integrin beta 1, beta 5, beta 6, and beta 8 subunits. Alpha-V-beta-3 is an activation dependent receptor for platelet attachment and spreading on vitronectin and other matrix components.

Alternate Names

CD51, ITGAV, MSK8, Vitronectin Receptor alpha, VNRA

Gene Symbol

ITGAV

Additional Integrin alpha V/CD51 Products

Product Documents for Integrin alpha V/CD51 Antibody (S03-6E3)

Certificate of Analysis

To download a Certificate of Analysis, please enter a lot number in the search box below.

Product Specific Notices for Integrin alpha V/CD51 Antibody (S03-6E3)

This product is for research use only and is not approved for use in humans or in clinical diagnosis. Primary Antibodies are guaranteed for 1 year from date of receipt.

Loading...
Loading...
Loading...
Loading...