Skip to main content

Importin alpha 2/KPNA2 Antibody - BSA Free

Novus Biologicals, part of Bio-Techne | Catalog # NBP2-38482

Novus Biologicals, part of Bio-Techne
Catalog #
Availability
Size / Price
Qty
Loading...
NBP2-38482
NBP2-38482-25ul

Key Product Details

Validated by

Orthogonal Validation

Species Reactivity

Validated:

Human

Predicted:

Mouse (92%), Rat (94%). Backed by our 100% Guarantee.

Applications

Immunocytochemistry/ Immunofluorescence, Immunohistochemistry, Immunohistochemistry-Paraffin, Western Blot

Label

Unconjugated

Antibody Source

Polyclonal Rabbit IgG

Format

BSA Free

Concentration

Concentrations vary lot to lot. See vial label for concentration. If unlisted please contact technical services.

Product Specifications

Immunogen

This antibody was developed against a recombinant protein corresponding to amino acids: AKKDDQMLKRRNVSSFPDDATSPLQENRNNQGTVNWSVDDIVKGINSSNVENQLQATQAARKLL

Clonality

Polyclonal

Host

Rabbit

Isotype

IgG

Description

Novus Biologicals Rabbit Importin alpha 2/KPNA2 Antibody - BSA Free (NBP2-38482) is a polyclonal antibody validated for use in IHC, WB and ICC/IF. All Novus Biologicals antibodies are covered by our 100% guarantee.

Scientific Data Images for Importin alpha 2/KPNA2 Antibody - BSA Free

Western Blot: Importin alpha 2/KPNA2 Antibody [NBP2-38482]

Western Blot: Importin alpha 2/KPNA2 Antibody [NBP2-38482]

Western Blot: Importin alpha 2/KPNA2 Antibody [NBP2-38482] - Lane 1: Marker [kDa] 250, 130, 95, 72, 55, 36, 28, 17, 10. Lane 2: Human cell line RT-4. Lane 3: Human cell line U-251MG
Immunocytochemistry/ Immunofluorescence: Importin alpha 2/KPNA2 Antibody [NBP2-38482]

Immunocytochemistry/ Immunofluorescence: Importin alpha 2/KPNA2 Antibody [NBP2-38482]

Immunocytochemistry/Immunofluorescence: Importin alpha 2/KPNA2 Antibody [NBP2-38482] - Immunofluorescent staining of human cell line MCF7 shows localization to nucleoplasm.
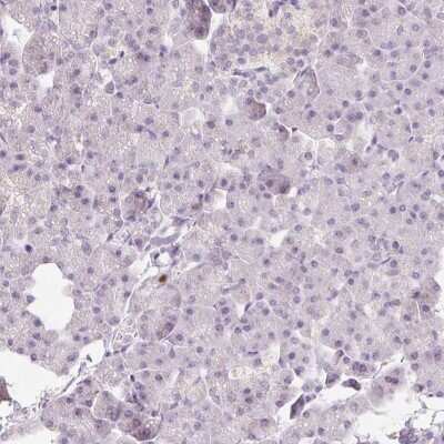
Immunohistochemistry-Paraffin: Importin alpha 2/KPNA2 Antibody [NBP2-38482]

Immunohistochemistry-Paraffin: Importin alpha 2/KPNA2 Antibody [NBP2-38482]

Immunohistochemistry-Paraffin: Importin alpha 2/KPNA2 Antibody [NBP2-38482] - Staining in human testis and pancreas tissues using anti-KPNA2 antibody. Corresponding KPNA2 RNA-seq data are presented for the same tissues.

Applications for Importin alpha 2/KPNA2 Antibody - BSA Free

Application
Recommended Usage

Immunocytochemistry/ Immunofluorescence

0.25-2 ug/ml

Immunohistochemistry

1:50 - 1:200

Immunohistochemistry-Paraffin

1:50 - 1:200

Western Blot

0.04-0.4 ug/ml
Application Notes
For IHC-Paraffin, HIER pH 6 retrieval is recommended. Immunocytochemistry/Immunofluorescence Fixation Permeabilization: Use PFA/Triton X-100.

Formulation, Preparation, and Storage

Purification

Immunogen affinity purified

Formulation

PBS (pH 7.2) and 40% Glycerol

Format

BSA Free

Preservative

0.02% Sodium Azide

Concentration

Concentrations vary lot to lot. See vial label for concentration. If unlisted please contact technical services.

Shipping

The product is shipped with polar packs. Upon receipt, store it immediately at the temperature recommended below.

Stability & Storage

Store at 4C short term. Aliquot and store at -20C long term. Avoid freeze-thaw cycles.

Background: Importin alpha 2/KPNA2

The import of proteins into the nucleus is a process that involves at least 2 steps. The first is an energy-independent docking of the protein to the nuclear envelope and the second is an energy-dependent translocation through the nuclear pore complex. Imported proteins require a nuclear localization sequence (NLS) which generally consists of a short region of basic amino acids or 2 such regions spaced about 10 amino acids apart. Proteins involved in the first step of nuclear import have been identified in different systems. These include the Xenopus protein importin and its yeast homolog, SRP1 (a suppressor of certain temperature-sensitive mutations of RNA polymerase I in Saccharomyces cerevisiae), which bind to the NLS. KPNA2 protein interacts with the NLSs of DNA helicase Q1 and SV40 T antigen and may be involved in the nuclear transport of proteins. KPNA2 also may play a role in V(D)J recombination

Long Name

Karyopherin alpha 2

Alternate Names

Importin alpha 1, IPOA1, KPNA2, Pendulin, QIP2, RCH1, SRP1-alpha

Gene Symbol

KPNA2

UniProt

Additional Importin alpha 2/KPNA2 Products

Product Documents for Importin alpha 2/KPNA2 Antibody - BSA Free

Certificate of Analysis

To download a Certificate of Analysis, please enter a lot number in the search box below.

Product Specific Notices for Importin alpha 2/KPNA2 Antibody - BSA Free

This product is for research use only and is not approved for use in humans or in clinical diagnosis. Primary Antibodies are guaranteed for 1 year from date of receipt.

Loading...
Loading...
Loading...
Loading...