Skip to main content

Importin alpha 2/KPNA2 Antibody - BSA Free

Novus Biologicals, part of Bio-Techne | Catalog # NB100-79808

Novus Biologicals, part of Bio-Techne

Key Product Details

Validated by

Independent Antibodies

Species Reactivity

Validated:

Human, Mouse

Cited:

Human

Applications

Validated:

Immunohistochemistry, Immunohistochemistry-Paraffin, Western Blot, Immunoprecipitation

Cited:

Immunoprecipitation

Label

Unconjugated

Antibody Source

Polyclonal Rabbit IgG

Format

BSA Free

Concentration

1.0 mg/ml

Product Specifications

Immunogen

The immunogen recognized by this antibody maps to a region between residue 475 and the C-terminus (residue 529) of human RAG cohort 1 (Karyopherin Alpha 2) using the numbering given in entry NP_002257.1 (GeneID 3838).

Clonality

Polyclonal

Host

Rabbit

Isotype

IgG

Description

Novus Biologicals Rabbit Importin alpha 2/KPNA2 Antibody - BSA Free (NB100-79808) is a polyclonal antibody validated for use in IHC, WB and IP. Anti-Importin alpha 2/KPNA2 Antibody: Cited in 1 publication. All Novus Biologicals antibodies are covered by our 100% guarantee.

Scientific Data Images for Importin alpha 2/KPNA2 Antibody - BSA Free

Western Blot: Importin alpha 2/KPNA2 Antibody [NB100-79808]

Western Blot: Importin alpha 2/KPNA2 Antibody [NB100-79808]

Western Blot: Importin alpha 2/KPNA2 Antibody [NB100-79808] - Whole cell lysate (10 ug) from TCMK-1 and NIH 3T3 cells prepared using NETN lysis buffer. Antibody: Affinity purified rabbit anti-RCH1/KPNA2 antibody used for WB at 0.04 ug/ml. Detection: Chemiluminescence with an exposure time of 3 seconds.
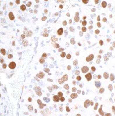
Immunohistochemistry-Paraffin: Importin alpha 2/KPNA2 Antibody [NB100-79808]

Immunohistochemistry-Paraffin: Importin alpha 2/KPNA2 Antibody [NB100-79808]

Immunohistochemistry-Paraffin: Importin alpha 2/KPNA2 Antibody [NB100-79808] - FFPE section of human colon carcinoma. Antibody: Affinity purified rabbit anti-RCH1/KPNA2 used at 1:5,000 (0.2ug/ml). Detection: DAB
Western Blot: Importin alpha 2/KPNA2 Antibody [NB100-79808]

Western Blot: Importin alpha 2/KPNA2 Antibody [NB100-79808]

Western Blot: Importin alpha 2/KPNA2 Antibody [NB100-79808] - Whole cell lysate (10 ug) from HEK293T, HeLa, and Jurkat cells prepared using NETN lysis buffer. Antibody: Affinity purified rabbit anti-RCH1/KPNA2 antibody used for WB at 0.04 ug/ml. Detection: Chemiluminescence with an exposure time of 3 seconds.

Applications for Importin alpha 2/KPNA2 Antibody - BSA Free

Application
Recommended Usage

Immunohistochemistry

1:1000 -1:5000

Immunohistochemistry-Paraffin

1:1000 -1:5000

Immunoprecipitation

2 - 10 ug/mg lysate

Western Blot

1:10000 - 1:25000
Application Notes
Epitope retrieval with citrate buffer pH6.0 is recommended for FFPE tissue sections.

Formulation, Preparation, and Storage

Purification

Immunogen affinity purified

Formulation

Tris-Citrate/Phosphate (pH 7.0 - 8.0)

Format

BSA Free

Preservative

0.09% Sodium Azide

Concentration

1.0 mg/ml

Shipping

The product is shipped with polar packs. Upon receipt, store it immediately at the temperature recommended below.

Stability & Storage

Store at 4C. Do not freeze.

Background: Importin alpha 2/KPNA2

The import of proteins into the nucleus is a process that involves at least 2 steps. The first is an energy independent docking of the protein to the nuclear envelope and the second is an energy-dependent translocation through the nuclear pore complex. Imported proteins require a nuclear localization sequence (NLS) which generally consists of a short region of basic amino acids or 2 such regions spaced about 10 amino acids apart. Proteins involved in the first step of nuclear import have been identified in different systems. These include the Xenopus protein importin and its yeast homolog, SRP1 (a suppressor of certain temperature-sensitive mutations of RNA polymerase I in Saccharomyces cerevisiae), which bind to the NLS. KPNA2 protein interacts with the NLSs of DNA helicase Q1 and SV40 T antigen and may be involved in the nuclear transport of proteins. KPNA2 also may play a role in V(D)J recombination

Long Name

Karyopherin alpha 2

Alternate Names

Importin alpha 1, IPOA1, KPNA2, Pendulin, QIP2, RCH1, SRP1-alpha

Entrez Gene IDs

3838 (Human)

Gene Symbol

KPNA2

Additional Importin alpha 2/KPNA2 Products

Product Documents for Importin alpha 2/KPNA2 Antibody - BSA Free

Certificate of Analysis

To download a Certificate of Analysis, please enter a lot number in the search box below.

Product Specific Notices for Importin alpha 2/KPNA2 Antibody - BSA Free

This product is for research use only and is not approved for use in humans or in clinical diagnosis. Primary Antibodies are guaranteed for 1 year from date of receipt.

Loading...
Loading...
Loading...
Loading...