Skip to main content

IL-7R alpha/CD127 Antibody (JE37-10)

Novus Biologicals, part of Bio-Techne | Catalog # NBP3-32122

Recombinant Monoclonal Antibody
Novus Biologicals, part of Bio-Techne
Catalog #
Availability
Size / Price
Qty
Loading...
NBP3-32122

Key Product Details

Species Reactivity

Human

Applications

Immunohistochemistry, Immunohistochemistry-Paraffin, Western Blot, Flow Cytometry, Immunocytochemistry/ Immunofluorescence

Label

Unconjugated

Antibody Source

Recombinant Monoclonal Rabbit IgG Clone # JE37-10 expressed in HEK293

Concentration

1 mg/ml

Product Specifications

Immunogen

Recombinant protein within Human IL-7R alpha/CD127 aa 340-439 / 459. (Uniprot: P16871)

Localization

Cell membrane; Secreted.

Clonality

Monoclonal

Host

Rabbit

Isotype

IgG

Theoretical MW

52 kDa.
Disclaimer note: The observed molecular weight of the protein may vary from the listed predicted molecular weight due to post translational modifications, post translation cleavages, relative charges, and other experimental factors.

Description

Novus Biologicals Rabbit IL-7R alpha/CD127 Antibody (JE37-10) (NBP3-32122) is a recombinant monoclonal antibody validated for use in IHC, WB, Flow and ICC/IF. All Novus Biologicals antibodies are covered by our 100% guarantee.

Scientific Data Images for IL-7R alpha/CD127 Antibody (JE37-10)

IL-7R alpha/CD127 Antibody (JE37-10)

Western Blot: IL-7R alpha/CD127 Antibody (JE37-10) [NBP3-32122]

Western Blot: IL-7R alpha/CD127 Antibody (JE37-10) [NBP3-32122] - Western blot analysis of IL-7R alpha/CD127 on K562 cell lysates with Rabbit anti-IL-7R alpha/CD127 antibody (NBP3-32122) at 1/500 dilution.

Lysates/proteins at 10 ug/Lane.

Predicted band size: 52 kDa
Observed band size: 70 kDa

Exposure time: 2 minutes;

10% SDS-PAGE gel.

Proteins were transferred to a PVDF membrane and blocked with 5% NFDM/TBST for 1 hour at room temperature. The primary antibody (NBP3-32122) at 1/500 dilution was used in 5% NFDM/TBST at room temperature for 2 hours. Goat Anti-Rabbit IgG - HRP Secondary Antibody at 1:300,000 dilution was used for 1 hour at room temperature.
IL-7R alpha/CD127 Antibody (JE37-10)

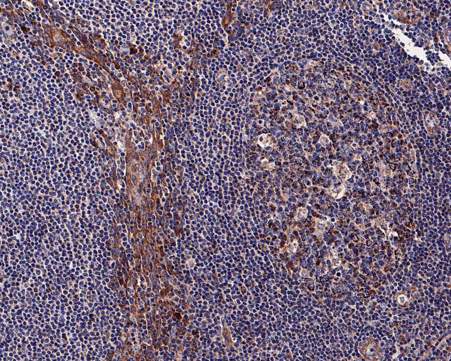
Immunohistochemistry: IL-7R alpha/CD127 Antibody (JE37-10) [NBP3-32122]

Immunohistochemistry: IL-7R alpha/CD127 Antibody (JE37-10) [NBP3-32122] - Immunohistochemical analysis of paraffin-embedded human tonsil tissue with Rabbit anti-IL-7R alpha/CD127 antibody (NBP3-32122) at 1/200 dilution.

The section was pre-treated using heat mediated antigen retrieval with Tris-EDTA buffer (pH 9.0) for 20 minutes. The tissues were blocked in 1% BSA for 20 minutes at room temperature, washed with ddH2O and PBS, and then probed with the primary antibody (NBP3-32122) at 1/200 dilution for 1 hour at room temperature. The detection was performed using an HRP conjugated compact polymer system. DAB was used as the chromogen. Tissues were counterstained with hematoxylin and mounted with DPX.
IL-7R alpha/CD127 Antibody (JE37-10)

Immunocytochemistry/ Immunofluorescence: IL-7R alpha/CD127 Antibody (JE37-10) [NBP3-32122]

Immunocytochemistry/ Immunofluorescence: IL-7R alpha/CD127 Antibody (JE37-10) [NBP3-32122] - Immunocytochemistry analysis of SiHa cells labeling IL-7R alpha/CD127 with Rabbit anti-IL-7R alpha/CD127 antibody (NBP3-32122) at 1/50 dilution.

Cells were fixed in 4% paraformaldehyde for 10 minutes at 37 ℃, permeabilized with 0.05% Triton X-100 in PBS for 20 minutes, and then blocked with 2% negative goat serum for 30 minutes at room temperature. Cells were then incubated with Rabbit anti-IL-7R alpha/CD127 antibody (NBP3-32122) at 1/50 dilution in 2% negative goat serum overnight at 4 ℃. Goat Anti-Rabbit IgG H&L (iFluor™ 488) was used as the secondary antibody at 1/1,000 dilution. PBS instead of the primary antibody was used as the secondary antibody only control. Nuclear DNA was labelled in blue with DAPI.

Applications for IL-7R alpha/CD127 Antibody (JE37-10)

Application
Recommended Usage

Flow Cytometry

1:500-1:1000

Immunocytochemistry/ Immunofluorescence

1:50

Immunohistochemistry-Paraffin

1:200

Western Blot

1:500

Formulation, Preparation, and Storage

Purification

Protein A purified

Formulation

1*TBS (pH7.4), 0.05% BSA and 40% Glycerol

Preservative

0.05% Sodium Azide

Concentration

1 mg/ml

Shipping

The product is shipped with polar packs. Upon receipt, store it immediately at the temperature recommended below.

Stability & Storage

Store at 4C short term. Aliquot and store at -20C long term. Avoid freeze-thaw cycles.

Background: IL-7R alpha/CD127

Interleukin-7 is a glycoprotein involved in the regulation of lymphopoiesis. Response of cells to IL7 is dependent on the presence of the interleukin 7 receptor (IL7R); the active receptor is an alpha/gamma chain heterodimer. The gamma(c) chain, which also associates with the interleukin-2 receptor, serves primarily to activate signal transduction by the IL7R complex, while the alpha chain of IL7R determines specific signaling events through its association with cytoplasmic signaling molecules. The human and mouse sequence is nearly identical. In humans, severe combined immunodeficiency is caused by genetic defects in IL-7 receptor. The tyrosine residue at the 449 position is a critical signaling site of the intracellular domain of IL-7 receptor. This site is rapidly phosphorylated by janus kinases after the IL-7 receptor is engaged.

Long Name

Interleukin 7 Receptor alpha

Alternate Names

CD127, IL-7 R alpha, IL-7Ra, IL7R, IL7R alpha

Gene Symbol

IL7R

Additional IL-7R alpha/CD127 Products

Product Documents for IL-7R alpha/CD127 Antibody (JE37-10)

Certificate of Analysis

To download a Certificate of Analysis, please enter a lot number in the search box below.

Product Specific Notices for IL-7R alpha/CD127 Antibody (JE37-10)

This product is for research use only and is not approved for use in humans or in clinical diagnosis. Primary Antibodies are guaranteed for 1 year from date of receipt.

Loading...
Loading...
Loading...
Loading...
Loading...