Skip to main content

Human VSTM5 Antibody

R&D Systems, part of Bio-Techne | Catalog # MAB10872

Recombinant Monoclonal Antibody.
R&D Systems, part of Bio-Techne
Catalog #
Availability
Size / Price
Qty
Loading...
MAB10872-100
MAB10872-SP

Key Product Details

Species Reactivity

Human

Applications

Immunohistochemistry, Flow Cytometry

Label

Unconjugated

Antibody Source

Recombinant Monoclonal Rabbit IgG Clone # 2696A

Product Specifications

Immunogen

Human embryonic kidney cell HEK293-derived human VSTM5
Met1-His147
Accession # NP_001138343

Specificity

Detects human VSTM5 in direct ELISAs.

Clonality

Monoclonal

Host

Rabbit

Isotype

IgG

Scientific Data Images for Human VSTM5 Antibody

Detection of VSTM5 in HEK293 Human Cell Line Transfected with Human VSTM5 and eGFP by Flow Cytometry

HEK293 human embryonic kidney cell line transfected with (A) human VSTM5 or (B) irrelevant protein, and eGFP was stained with Rabbit Anti-Human VSTM5 Monoclonal Antibody (Catalog # MAB10872) followed by Allophycocyanin-conjugated Anti-Rabbit IgG Secondary Antibody (F0111). Quadrant markers were set based on Rabbit IgG Control Antibody (MAB1050). Staining was performed using our Staining Membrane-associated Proteins protocol.

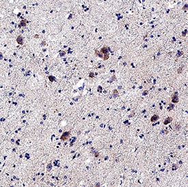
VSTM5 in Human Brain.

VSTM5 was detected in immersion fixed paraffin-embedded sections of human brain (hypothalamus) using Rabbit Anti-Human/Mouse VSTM5 Monoclonal Antibody (Catalog # MAB10872) at 3 µg/mL for 1 hour at room temperature followed by incubation with the Anti-Rabbit IgG VisUCyte™ HRP Polymer Antibody (VC003). Before incubation with the primary antibody, tissue was subjected to heat-induced epitope retrieval using Antigen Retrieval Reagent-Basic (CTS013). Tissue was stained using DAB (brown) and counterstained with hematoxylin (blue). Specific staining was localized to neuronal cell bodies. Staining was performed using our protocol for IHC Staining with VisUCyte HRP Polymer Detection Reagents.

Applications for Human VSTM5 Antibody

Application
Recommended Usage

Flow Cytometry

0.25 µg/106 cells
Sample: HEK293 Human Cell Line Transfected with Human VSTM5 and eGFP

Immunohistochemistry

3-25 µg/mL
Sample: Immersion fixed paraffin-embedded sections of human brain (hypothalamus)

Formulation, Preparation, and Storage

Purification

Protein A or G purified from cell culture supernatant

Reconstitution

Reconstitute at 0.5 mg/mL in sterile PBS. For liquid material, refer to CoA for concentration.

Reconstitution Buffer Available:
Size / Price
Qty
Loading...

Formulation

Lyophilized from a 0.2 μm filtered solution in PBS with Trehalose. *Small pack size (SP) is supplied either lyophilized or as a 0.2 µm filtered solution in PBS.

Shipping

Lyophilized product is shipped at ambient temperature. Liquid small pack size (-SP) is shipped with polar packs. Upon receipt, store immediately at the temperature recommended below.

Stability & Storage

Use a manual defrost freezer and avoid repeated freeze-thaw cycles.
  • 12 months from date of receipt, -20 to -70 °C as supplied.
  • 1 month, 2 to 8 °C under sterile conditions after reconstitution.
  • 6 months, -20 to -70 °C under sterile conditions after reconstitution.

Background: VSTM5

V-set and transmembrane domain-containing protein 5 (VSTM5) is a cell-adhesion like molecule that belongs to the Ig superfamily.  This molecule is expressed in hippocampal neurons.  It regulates neuronal morphology by promoting dendritic protrusions that develop into dendritic spines.  VSTM5 is a novel factor involved in the modulation of the neuronal membrane and a critical element in normal neuronal circuit formation.  It is one of the target genes responsible for variations in patient responses to treatments for major depressive disorder. Overexpression of VSTM5 in utero delays neuronal migration and induces multiple branches in leading processes during corticogenesis.  Glycosylation at individual N-linked glycosylation sites (Asn43, Asn87, Asn101, and Asn108) not only play essential roles in surface expression of VSTM5 but also in the formation of neuronal dendritic filopodia.

Alternate Names

C11orf90

Entrez Gene IDs

387804 (Human); 69137 (Mouse); 500947 (Rat)

Gene Symbol

VSTM5

UniProt

Additional VSTM5 Products

Product Documents for Human VSTM5 Antibody

Certificate of Analysis

To download a Certificate of Analysis, please enter a lot number in the search box below.

Note: Certificate of Analysis not available for kit components.

Product Specific Notices for Human VSTM5 Antibody

For research use only

Loading...
Loading...
Loading...
Loading...
Loading...