Human Trypsin Pan Specific (PRSS1/2/3) Antibody
R&D Systems, part of Bio-Techne | Catalog # AF3586
Key Product Details
Species Reactivity
Validated:
Cited:
Applications
Validated:
Cited:
Label
Antibody Source
Product Specifications
Immunogen
Ala16-Ser247
Accession # P07478
Specificity
Clonality
Host
Isotype
Scientific Data Images for Human Trypsin Pan Specific (PRSS1/2/3) Antibody
Detection of Human Trypsin by Western Blot.
Western blot shows lysates of human pancreas. PVDF membrane was probed with 1 µg/mL of Sheep Anti-Human Trypsin Pan Specific (PRSS1/2/3) Antigen Affinity-purified Polyclonal Antibody (Catalog # AF3586) followed by HRP-conjugated Anti-Sheep IgG Secondary Antibody (HAF016). A specific band was detected for Trypsin at approximately 24 kDa (as indicated). This experiment was conducted under reducing conditions and using Western Blot Buffer Group 1.Detection of Human Trypsin by Western Blot.
Western blot shows recombinant human Trypsin 1, 2, and 3. PVDF membrane was probed with 1 µg/mL of Sheep Anti-Human Trypsin Pan Specific (PRSS1/2/3) Antigen Affinity-purified Polyclonal Antibody (Catalog # AF3586) followed by HRP-conjugated Anti-Sheep IgG Secondary Antibody (HAF016). A specific band was detected for Trypsin at approximately 24 kDa (as indicated). This experiment was conducted under reducing conditions and using Western Blot Buffer Group 1.Trypsin in Human Pancreas.
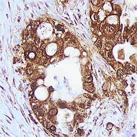
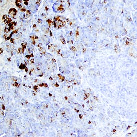
Trypsin was detected in immersion fixed paraffin-embedded sections of human pancreas using Sheep Anti-Human Trypsin Pan Specific (PRSS1/2/3) Antigen Affinity-purified Polyclonal Antibody (Catalog # AF3586) at 15 µg/mL overnight at 4 °C. Tissue was stained using the Anti-Sheep HRP-DAB Cell & Tissue Staining Kit (brown; Catalog # CTS019) and counterstained with hematoxylin (blue). Specific staining was localized to exocrine cells. View our protocol for Chromogenic IHC Staining of Paraffin-embedded Tissue Sections.Applications for Human Trypsin Pan Specific (PRSS1/2/3) Antibody
Immunohistochemistry
Sample: Immersion fixed paraffin-embedded sections of human pancreas and immersion fixed paraffin-embedded sections of human pancreatic cancer tissue
Immunoprecipitation
Sample: Human pancreas tissue
Western Blot
Sample: Human pancreas and recombinant human Trypsin 1, 2, and 3
Reviewed Applications
Read 3 reviews rated 4.7 using AF3586 in the following applications:
Formulation, Preparation, and Storage
Purification
Reconstitution
Formulation
Shipping
Stability & Storage
- 12 months from date of receipt, -20 to -70 °C as supplied.
- 1 month, 2 to 8 °C under sterile conditions after reconstitution.
- 6 months, -20 to -70 °C under sterile conditions after reconstitution.
Background: Trypsin
Trypsin is a general term for any of three 24 kDa gene products that belong to the peptidase S1 family of enzymes. Trypsin in Greek means “rubbing or friction”, and it was chosen here because the first trypsins were extracted from pancreas via a glycerin-based rubbing maceration. Trypsin-1 (cationic), -2 (anionic) , and -3 (mesotrypsin) are synthesized as 26 kDa trypsinogens (plus a 35 kDa trypsinogen-3 isoform) that are 247 amino acids (aa) in length. The first 15 aa constitute a signal sequence, followed by an enterokinase-cleavable eight aa propeptide, and a 224 aa mature molecule. Asp194 is linked to enzyme activity, and Tyr154 is sulfated. Over their mature regions, the three trypsins share 84% aa identity. Mouse trypsin-1 shares 74% aa identity with the human trypsin consensus sequence. Trypsin-1 and -2 cleave peptide bonds carboxylterminal to a Lys or
Alternate Names
UniProt
Additional Trypsin Products
Product Documents for Human Trypsin Pan Specific (PRSS1/2/3) Antibody
Product Specific Notices for Human Trypsin Pan Specific (PRSS1/2/3) Antibody
For research use only