Skip to main content

Key Product Details

Species Reactivity

Validated:

Human

Cited:

Human

Applications

Validated:

Immunohistochemistry, Western Blot, Simple Western

Cited:

Immunohistochemistry, Immunohistochemistry-Paraffin

Label

Unconjugated

Antibody Source

Monoclonal Mouse IgG1 Clone # 684524

Product Specifications

Immunogen

E. coli-derived recombinant human Tensin 4/CTEN
Ser2-Gln107
Accession # Q8IZW8

Specificity

Detects human Tensin 4/CTEN in direct ELISAs and Western blots.

Clonality

Monoclonal

Host

Mouse

Isotype

IgG1

Scientific Data Images for Human Tensin 4/CTEN Antibody

Detection of Human Tensin 4/CTEN antibody by Western Blot.

Detection of Human Tensin 4/CTEN by Western Blot.

Western blot shows lysates of HeLa human cervical epithelial carcinoma cell line and HepG2 human hepatocellular carcinoma cell line. PVDF membrane was probed with 1 µg/mL of Mouse Anti-Human Tensin 4/CTEN Monoclonal Antibody (Catalog # MAB6925) followed by HRP-conjugated Anti-Mouse IgG Secondary Antibody (Catalog # HAF007). A specific band was detected for Tensin 4/CTEN at approximately 90 kDa (as indicated). This experiment was conducted under reducing conditions and using Immunoblot Buffer Group 1.
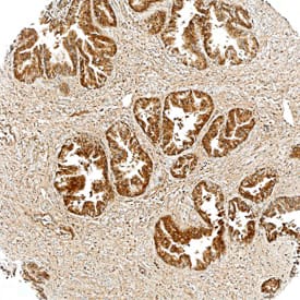
Tensin 4/CTEN antibody in Human Prostate by Immunohistochemistry (IHC-P).

Tensin 4/CTEN in Human Prostate.

Tensin 4/CTEN was detected in immersion fixed paraffin-embedded sections of human prostate using Mouse Anti-Human Tensin 4/ CTEN Monoclonal Antibody (Catalog # MAB6925) at 25 µg/mL overnight at 4 °C. Tissue was stained using the Anti-Mouse HRP-DAB Cell & Tissue Staining Kit (brown; Catalog # CTS002) and counterstained with hematoxylin (blue). Specific staining was localized to cytoplasm in epithelial cells. View our protocol for Chromogenic IHC Staining of Paraffin-embedded Tissue Sections.
Detection of Human Tensin 4/CTEN antibody by Simple WesternTM.

Detection of Human Tensin 4/CTEN by Simple WesternTM.

Simple Western lane view shows lysates of HeLa human cervical epithelial carcinoma cell line, loaded at 0.2 mg/mL. A specific band was detected for Tensin 4/CTEN at approximately 74 kDa (as indicated) using 10 µg/mL of Mouse Anti-Human Tensin 4/CTEN Monoclonal Antibody (Catalog # MAB6925). This experiment was conducted under reducing conditions and using the 12-230 kDa separation system.

Applications for Human Tensin 4/CTEN Antibody

Application
Recommended Usage

Immunohistochemistry

8-25 µg/mL
Sample: Immersion fixed paraffin-embedded sections of human prostate

Simple Western

10 µg/mL
Sample: HeLa human cervical epithelial carcinoma cell line

Western Blot

1 µg/mL
Sample: HeLa human cervical epithelial carcinoma cell line and HepG2 human hepatocellular carcinoma cell line

Reviewed Applications

Read 1 review rated 5 using MAB6925 in the following applications:

Formulation, Preparation, and Storage

Purification

Protein A or G purified from hybridoma culture supernatant

Reconstitution

Sterile PBS to a final concentration of 0.5 mg/mL. For liquid material, refer to CoA for concentration.

Reconstitution Buffer Available:
Size / Price
Qty
Loading...

Formulation

Lyophilized from a 0.2 μm filtered solution in PBS with Trehalose. *Small pack size (SP) is supplied either lyophilized or as a 0.2 µm filtered solution in PBS.

Shipping

Lyophilized product is shipped at ambient temperature. Liquid small pack size (-SP) is shipped with polar packs. Upon receipt, store immediately at the temperature recommended below.

Stability & Storage

Use a manual defrost freezer and avoid repeated freeze-thaw cycles.
  • 12 months from date of receipt, -20 to -70 °C as supplied.
  • 1 month, 2 to 8 °C under sterile conditions after reconstitution.
  • 6 months, -20 to -70 °C under sterile conditions after reconstitution.

Background: Tensin 4/CTEN

CTEN, also known as Tensin 4, is a 90 kDa cytoplasmic protein that is associated with focal adhesions in epithelial cells and is upregulated in several carcinomas. It promotes tumorigenesis by disrupting the attachment of focal adhesions to the cytoskeleton, promoting epithelial-mesenchymal transition, and binding nuclear beta‑Catenin. CTEN is cleaved by Caspase-3 at Asp570-Ser571 during apoptosis. It contains a serine-rich region (aa 168-324), one SH2 domain (aa 449-556), and a phosphatase domain (aa 548-714). Within aa 1-107, human CTEN shares 62% and 59% aa sequence identity with mouse and rat CTEN, respectively.

Alternate Names

CTEN, TNS4

Entrez Gene IDs

84951 (Human); 217169 (Mouse); 303517 (Rat)

Gene Symbol

TNS4

UniProt

Additional Tensin 4/CTEN Products

Product Documents for Human Tensin 4/CTEN Antibody

Certificate of Analysis

To download a Certificate of Analysis, please enter a lot number in the search box below.

Note: Certificate of Analysis not available for kit components.

Product Specific Notices for Human Tensin 4/CTEN Antibody

For research use only

Loading...
Loading...
Loading...
Loading...