Skip to main content

Key Product Details

Species Reactivity

Human, Rat

Applications

Immunohistochemistry, Simple Western, Western Blot

Label

Unconjugated

Antibody Source

Polyclonal Sheep IgG

Product Specifications

Immunogen

E. coli-derived recombinant human Vinculin
Lys1020-Gln1134
Accession # P18206

Specificity

Detects recombinant human Vinculin in direct ELISAs and human and rat Vinculin in Western blots.

Clonality

Polyclonal

Host

Sheep

Isotype

IgG

Scientific Data Images for Human/Rat Vinculin Antibody

Detection of Human and Rat Vinculin antibody by Western Blot.

Detection of Human and Rat Vinculin by Western Blot.

Western blot shows lysates of HeLa human cervical epithelial carcinoma cell line and rat heart tissue. PVDF membrane was probed with 1 µg/mL of Sheep Anti-Human/Rat Vinculin Antigen Affinity-purified Polyclonal Antibody (Catalog # AF6896) followed by HRP-conjugated Anti-Sheep IgG Secondary Antibody (Catalog # HAF016). A specific band was detected for Vinculin at approximately 120 kDa (as indicated). This experiment was conducted under reducing conditions and using Immunoblot Buffer Group 1.

Detection of Human Vinculin by Simple WesternTM.

Simple Western shows lysates of Exosome Standards (PC-3) (NBP2-49856) and HepG2 human hepatocellular carcinoma cell line, loaded at 0.5 mg/ml. A specific band was detected for Vinculin at approximately 119 kDa (as indicated) using 10 µg/mL of Sheep Anti-Human/Rat Vinculin Antigen Affinity-purified Polyclonal Antibody (Catalog # AF6896). This experiment was conducted under reducing conditions and using the 12-230kDa separation system.
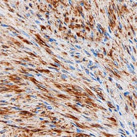
Vinculin antibody in Human Uterus by Immunohistochemistry (IHC-P).

Vinculin in Human Uterus.

Vinculin was detected in immersion fixed paraffin-embedded sections of human uterus using Sheep Anti-Human/Rat Vinculin Antigen Affinity-purified Polyclonal Antibody (Catalog # AF6896) at 3 µg/mL overnight at 4 °C. Before incubation with the primary antibody, tissue was subjected to heat-induced epitope retrieval using Antigen Retrieval Reagent-Basic (Catalog # CTS013). Tissue was stained using the Anti-Sheep HRP-DAB Cell & Tissue Staining Kit (brown; Catalog # CTS019) and counter-stained with hematoxylin (blue). vView our protocol for Chromogenic IHC Staining of Paraffin-embedded Tissue Sections.

Applications for Human/Rat Vinculin Antibody

Application
Recommended Usage

Immunohistochemistry

5-15 µg/mL
Sample: Immersion fixed paraffin-embedded sections of human uterus subjected to heat-induced epitope retrieval using Antigen Retrieval Reagent-Basic (Catalog # CTS013)

Simple Western

10 µg/mL
Sample: Exosome Standards (PC-3) (Catalog # NBP2-49856) and HepG2 human hepatocellular carcinoma cell line

Western Blot

1 µg/mL
Sample: HeLa human cervical epithelial carcinoma cell line and rat heart tissue

Formulation, Preparation, and Storage

Purification

Antigen Affinity-purified

Reconstitution

Reconstitute at 0.2 mg/mL in sterile PBS. For liquid material, refer to CoA for concentration.

Reconstitution Buffer Available:
Size / Price
Qty
Loading...

Formulation

Lyophilized from a 0.2 μm filtered solution in PBS with Trehalose. See Certificate of Analysis for details.
*Small pack size (-SP) is supplied either lyophilized or as a 0.2 µm filtered solution in PBS.

Shipping

Lyophilized product is shipped at ambient temperature. Liquid small pack size (-SP) is shipped with polar packs. Upon receipt, store immediately at the temperature recommended below.

Stability & Storage

Use a manual defrost freezer and avoid repeated freeze-thaw cycles.
  • 12 months from date of receipt, -20 to -70 °C as supplied.
  • 1 month, 2 to 8 °C under sterile conditions after reconstitution.
  • 6 months, -20 to -70 °C under sterile conditions after reconstitution.

Background: Vinculin

VCL (Vinculin; from the Latin vinculum denoting a union or connection) is a 115-120 kDa cytoplasmic member of the vinculin/ alpha-catenin family of proteins. The VCL gene is ubiquitously expressed and generates a series of globular domains whose N-and C-terminal globular regions self-associate to generate an inactive molecule. When at least two ligands bind to the molecule, it opens up, allowing for the formation of multiple complexes that impact both signaling and cell structure. Among other things, VCL is known to regulate the expression of E-cadherin, and to connect actin to integrins via talin. Human VCL is 1134 amino acids (aa) in length, and at this size, is commonly known as metavinculin. It contains an 835 aa N-terminal globular head that binds talin, beta- and alpha-catenin, followed by a Pro-rich linker segment (aa 836-878) and a 27-29 kDa C-terminal tail that binds lipids plus paxillin and PKC alpha (aa 879-1134). At least seven utilized phosphorylation sites exist. There are three potential splice variants. One shows a deletion of aa 916-983 and is called vinculin. A second contains an alternative start site at Met74, and again possesses a deletion of aa 916-983. A third shows a 34 aa substitution for aa 262‑1134. Over the range of aa used as the immunogen for this reagent (aa 1020-1134 in metavinculin; 952-1066 in vinculin), human and mouse VCL are identical in aa sequence.

Long Name

Metavinculin

Alternate Names

MVCL, VCL

Entrez Gene IDs

7414 (Human); 22330 (Mouse); 305679 (Rat)

Gene Symbol

VCL

UniProt

Additional Vinculin Products

Product Documents for Human/Rat Vinculin Antibody

Certificate of Analysis

To download a Certificate of Analysis, please enter a lot number in the search box below.

Note: Certificate of Analysis not available for kit components.

Product Specific Notices for Human/Rat Vinculin Antibody

For research use only

Loading...
Loading...
Loading...
Loading...
Loading...