Skip to main content

Key Product Details

Species Reactivity

Validated:

Human

Cited:

Human

Applications

Validated:

Immunohistochemistry, Western Blot, ELISA Capture (Matched Antibody Pair), Neutralization, Simple Western

Cited:

Immunohistochemistry, Western Blot, Neutralization, ELISA Development

Label

Unconjugated

Antibody Source

Polyclonal Goat IgG

Product Specifications

Immunogen

E. coli-derived recombinant human Prolactin
Leu29-Cys227
Accession # Q5THQ0

Specificity

Detects human Prolactin in ELISAs and Western blots. In sandwich ELISAs, less than 0.05% cross-reactivity with recombinant mouse Prolactin and recombinant human Prolactin R.

Clonality

Polyclonal

Host

Goat

Isotype

IgG

Endotoxin Level

<0.10 EU per 1 μg of the antibody by the LAL method.

Scientific Data Images for Human Prolactin Antibody

Detection of Human Prolactin antibody by Western Blot.

Detection of Human Prolactin by Western Blot.

Western blot shows lysates of human pituitary tissue. PVDF membrane was probed with 0.25 µg/mL of Goat Anti-Human Prolactin Antigen Affinity-purified Polyclonal Antibody (Catalog # AF682) followed by HRP-conjugated Anti-Goat IgG Secondary Antibody (Catalog # HAF017). A specific band was detected for Prolactin at approximately 23 kDa (as indicated). This experiment was conducted under reducing conditions and using Immunoblot Buffer Group 1.
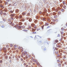
Prolactin antibody in Human Testis by Immunohistochemistry (IHC-P).

Prolactin in Human Testis.

Prolactin was detected in immersion fixed paraffin-embedded sections of human testis using Goat Anti-Human Prolactin Antigen Affinity-purified Polyclonal Antibody (Catalog # AF682) at 1 µg/mL overnight at 4 °C. Tissue was stained using the Anti-Goat HRP-DAB Cell & Tissue Staining Kit (brown; Catalog # CTS008) and counterstained with hematoxylin (blue). Specific staining was localized to cytoplasm of sperm cells. View our protocol for Chromogenic IHC Staining of Paraffin-embedded Tissue Sections.

Detection of Human Prolactin by Simple WesternTM.

Simple Western shows lysates of human pituitary, loaded at 0.2 mg/ml. A specific band was detected for Prolactin at approximately 30 kDa (as indicated) using 2.5 µg/mL of Goat Anti-Human Prolactin Antigen Affinity-purified Polyclonal Antibody (Catalog # AF682). This experiment was conducted under reducing conditions and using the 12-230kDa separation system.

Applications for Human Prolactin Antibody

Application
Recommended Usage

Immunohistochemistry

1-15 µg/mL
Sample: Immersion fixed paraffin-embedded sections of human testis

Simple Western

2.5 µg/mL
Sample: Human pituitary tissue

Western Blot

0.25 µg/mL
Sample:   Human pituitary tissue

Neutralization

Human Prolactin Antibody (Catalog # AF682) neutralizes Recombinant Human Prolactin (Catalog # 682-PL) induced proliferation in the Nb2‑11 rat lymphoma cell line. The Neutralization Dose (ND50) for this effect is typically 0.0200-0.200 µg/mL.   

Human Prolactin Sandwich Immunoassay

ELISA Capture (Matched Antibody Pair)
Recommended Concentration: 0.2-0.8 µg/mL
Use in combination with these reagents:
  • Detection Reagent: Human Prolactin Biotinylated Antibody (Catalog # BAF682)
  • Standard: Recombinant Human Prolactin Protein, CF (Catalog # 682-PL)
Please Note: Optimal dilutions of this antibody should be experimentally determined.

Formulation, Preparation, and Storage

Purification

Antigen Affinity-purified

Reconstitution

Reconstitute at 0.2 mg/mL in sterile PBS. For liquid material, refer to CoA for concentration.

Reconstitution Buffer Available:
Size / Price
Qty
Loading...

Formulation

Lyophilized from a 0.2 μm filtered solution in PBS with Trehalose. See Certificate of Analysis for details.
*Small pack size (-SP) is supplied either lyophilized or as a 0.2 µm filtered solution in PBS.

Shipping

Lyophilized product is shipped at ambient temperature. Liquid small pack size (-SP) is shipped with polar packs. Upon receipt, store immediately at the temperature recommended below.

Stability & Storage

Use a manual defrost freezer and avoid repeated freeze-thaw cycles.
  • 12 months from date of receipt, -20 to -70 °C as supplied.
  • 1 month, 2 to 8 °C under sterile conditions after reconstitution.
  • 6 months, -20 to -70 °C under sterile conditions after reconstitution.

Background: Prolactin

Prolactin (PRL) is a neuroendocrine pituitary hormone. Prolactin is synthesized by the anterior pituitary, placenta, brain, uterus, dermal fibroblasts, decidua, B cell, T cells, NK cells, and breast cancer cells. Originally characterized as a lactogenic hormone, studies have demonstrated broader roles in breast cancer development, regulation of reproductive function, and immunoregulation. In the immune system, prolactin has been shown to be secreted by human PBMC and to act as a proliferative growth factor. Additionally, prolactin treatment of human PBMC has been shown to enhance IFN-gamma production. Prolactin has several molecular forms. The predominant form is a monomer, the non-glycosylated form is 23 kDa and the glycosylated form is 25 kDa. Glycosylated prolactin is removed from the circulation faster and has been reported to have lower biological potency. Prolactin cDNA encodes a 227 amino acid residue protein with a putative 28 aa residue signal peptide. The prolactin receptor is a transmembrane type I glycoprotein that belongs to the cytokine hematopoietic receptor family. B cells, T cells, macrophages, NK cells, monocytes, CD34+ progenitor cells, neutrophils, mammary gland, liver, kidney, adrenals, ovaries, testis, prostrate, seminal vesicles, and hypothalamus have all been shown to express the prolactin receptor. Three forms of the receptor, generated by differential splicing, have been identified. These isoforms differ in the length of their cytoplasmic domains. It is believed that the short cytoplasmic form is non-functional. Prolactin signal transduction involves the JAK/STAT families and Src kinase family.

References

  1. Cooke, N.E. et al. (1981) J. Biol. Chem. 256:4007.
  2. Ben-Johnson, N. et al. (1996) Endoc. Rev. 17:639.
  3. Cesario, T. et al. (1994) Proc. Soc. Exp. Biol. Med. 205:89.
  4. Price, A.E. et al. (1995) Endoc. 136:4827.
  5. Hoffmann, T. et al. (1993) J. Endoc. Invest. 16:807.
  6. Bellone, G. et al. (1995) J. Cell Physiol. 163:221.
  7. Cole, E. et al. (1991) Endoc. 129:2639.
  8. Lewis, U. et al. (1985) Endoc. 116:359.

Alternate Names

PRL

Entrez Gene IDs

5617 (Human); 19109 (Mouse)

Gene Symbol

PRL

UniProt

Additional Prolactin Products

Product Documents for Human Prolactin Antibody

Certificate of Analysis

To download a Certificate of Analysis, please enter a lot number in the search box below.

Note: Certificate of Analysis not available for kit components.

Product Specific Notices for Human Prolactin Antibody

For research use only

Loading...
Loading...
Loading...
Loading...