Human Placental Lactogen/CSH1 Antibody
R&D Systems, part of Bio-Techne | Catalog # MAB5757
Key Product Details
Species Reactivity
Validated:
Cited:
Applications
Validated:
Cited:
Label
Antibody Source
Product Specifications
Immunogen
Val27-Phe217
Accession # P01243
Specificity
Clonality
Host
Isotype
Scientific Data Images for Human Placental Lactogen/CSH1 Antibody
Detection of Human Placental Lactogen/CSH1 by Western Blot.
Western blot shows lysates of human placenta tissue. PVDF Membrane was probed with 2 µg/mL of Human Placental Lactogen/CSH1 Monoclonal Antibody (Catalog # MAB5757) followed by HRP-conjugated Anti-Mouse IgG Secondary Antibody (Catalog # HAF007). A specific band was detected for Placental Lactogen/CSH1 at approximately 25 kDa (as indicated). This experiment was conducted under reducing conditions and using Immunoblot Buffer Group 1.Placental Lactogen/CSH1 in Human Placenta.
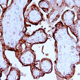
Placental Lactogen/CSH1 was detected in immersion fixed paraffin-embedded sections of human placenta using Human Placental Lactogen/CSH1 Monoclonal Antibody (Catalog # MAB5757) at 15 µg/mL overnight at 4 °C. Before incubation with the primary antibody, tissue was subjected to heat-induced epitope retrieval using Antigen Retrieval Reagent-Basic (Catalog # CTS013). Tissue was stained using the Anti-Mouse HRP-DAB Cell & Tissue Staining Kit (brown; Catalog # CTS002) and counterstained with hematoxylin (blue). Specific staining was localized to cytoplasm in syncytiotrophoblast cells. View our protocol for Chromogenic IHC Staining of Paraffin-embedded Tissue Sections.Applications for Human Placental Lactogen/CSH1 Antibody
Immunohistochemistry
Sample: Immersion fixed paraffin-embedded sections of human placenta
Western Blot
Sample: Human placenta tissue
Formulation, Preparation, and Storage
Purification
Reconstitution
Formulation
Shipping
Stability & Storage
- 12 months from date of receipt, -20 to -70 °C as supplied.
- 1 month, 2 to 8 °C under sterile conditions after reconstitution.
- 6 months, -20 to -70 °C under sterile conditions after reconstitution.
Background: Placental Lactogen/CSH1
Human Placental Lactogen (abbreviated PL or hPL), also called chorionic somatomammotropin hormone 1 (abbreviated CSH1), is a member of the prolactin/growth hormone (PRL/GH) family (1). It is found in a cluster of growth hormones on chromosome 17 that appear to have a common ancestry. Identical 191 amino acid (aa) mature hPL proteins may be formed from one of two genes (2). PL contains a pair of C-terminal cysteines that may form either intra- or interchain disulfides. Human PL shares 98% aa identity with chimpanzee PL and >85% aa sequence identity with other human growth hormones, but only ~25% aa identity with mouse, ovine or bovine PL. PL is mainly expressed by cells in the syncytiotrophoblast layer of the placenta, which produce increasing amounts of PL as pregnancy proceeds. The major portion enters the maternal circulation, where it joins GH2 (placenta-specific GH) in replacing the functions of pituitary GH during pregnancy. A smaller amount of PL circulates in the fetus. Primate PL shows high affinity for the PRL receptor and low affinity for the GH receptor (1). Reduced stimulation of PL by angiotensin 2 correlates with intrauterine growth restriction (3). There is some evidence that mature angiogenic PL may be cleaved to form an anti-angiogenic N-terminal fragment (4). Although PL promotes pancreatic beta cell survival, it does not appear to be altered in gestational diabetes. It helps prepare mammaries for lactation, but probably does not influence lactation itself. PL may be a ligand of stabilin-1, which has been proposed to regulate PL internalization and degradation or re-expression (6).
References
- Handwerger, S. and M. Freemark (2000) J. Ped. Endocrinol. Metab. 13:343.
- Selby, M.J. et al. (1984) J. Biol. Chem. 259:13131.
- Szukiewicz, D. et al. (2008) Int. Immunopharmacol. 8:177.
- Struman, I. et al. (1999) Proc. Natl. Acad. Sci. USA 96:1246.
- Fujinaka, Y. et al. (2007) J. Biol. Chem. 282:30707.
- Kzhyshkowska, J. et al. (2008) J. Immunol. 180:3028.
Alternate Names
Entrez Gene IDs
Gene Symbol
UniProt
Additional Placental Lactogen/CSH1 Products
Product Documents for Human Placental Lactogen/CSH1 Antibody
Product Specific Notices for Human Placental Lactogen/CSH1 Antibody
For research use only