Skip to main content

Key Product Details

Species Reactivity

Validated:

Human

Cited:

Human, Mouse, Rat, Porcine, Xenograft

Applications

Validated:

Immunohistochemistry, Western Blot, Dual RNAscope ISH-IHC Compatible, Immunocytochemistry, Simple Western

Cited:

Immunohistochemistry, Immunohistochemistry-Paraffin, Immunohistochemistry-Frozen, Western Blot, Flow Cytometry, Immunocytochemistry, Immunoprecipitation, Mass Cytometry

Label

Unconjugated

Antibody Source

Polyclonal Goat IgG

Product Specifications

Immunogen

E. coli-derived recombinant human PDX‑1/IPF1
Ala91-Arg283
Accession # P52945

Specificity

Detects human PDX‑1/IPF1 in direct ELISAs and Western blots. In direct ELISAs, approximately 45% cross-reactivity with recombinant mouse PDX-1 is observed.

Clonality

Polyclonal

Host

Goat

Isotype

IgG

Scientific Data Images for Human PDX-1/IPF1 Antibody

Detection of Human PDX-1/IPF1 antibody by Western Blot.

Detection of Human PDX‑1/IPF1 by Western Blot.

Western blot shows lysates of betaTC-6 mouse beta cell insulinoma cell line. PVDF membrane was probed with 1 µg/mL of Goat Anti-Human PDX-1/IPF1 Antigen Affinity-purified Polyclonal Antibody (Catalog # AF2419) followed by HRP-conjugated Anti-Goat IgG Secondary Antibody (Catalog # HAF019). A specific band was detected for PDX-1/IPF1 at approximately 45 kDa (as indicated). This experiment was conducted under reducing conditions and using Immunoblot Buffer Group 8.
Detection of Mouse PDX-1/IPF1 antibody by Simple WesternTM.

Detection of Mouse PDX‑1/IPF1 by Simple WesternTM.

Simple Western lane view shows lysates of betaTC-6 mouse beta cell insulinoma cell line, loaded at 0.2 mg/mL. A specific band was detected for PDX-1/IPF1 at approximately 48 kDa (as indicated) using 10 µg/mL of Goat Anti-Human PDX-1/IPF1 Antigen Affinity-purified Polyclonal Antibody (Catalog # AF2419) followed by 1:50 dilution of HRP-conjugated Anti-Goat IgG Secondary Antibody (Catalog # HAF109). This experiment was conducted under reducing conditions and using the 12-230 kDa separation system.
PDX-1/IPF1 antibody in BG01V Human Embryonic Stem Cells by Immunocytochemistry (ICC).

PDX‑1/IPF1 in BG01V Human Embryonic Stem Cells.

PDX-1/IPF1 was detected in immersion fixed BG01V human embryonic stem cells differentiated into pancreatic progenitor cells using Goat Anti-Human PDX-1/IPF1 Antigen Affinity-purified Polyclonal Antibody (Catalog # AF2419) at 10 µg/mL for 3 hours at room temperature. Cells were stained using the NorthernLights™ 493-conjugated Anti-Goat IgG Secondary Antibody (green; Catalog # NL003) and counterstained with DAPI (blue). Specific staining was localized to nuclei. View our protocol for Fluorescent ICC Staining of Stem Cells on Coverslips.

Applications for Human PDX-1/IPF1 Antibody

Application
Recommended Usage

Dual RNAscope ISH-IHC Compatible

5-15 µg/mL
Sample: Immersion fixed paraffin-embedded sections of human pancreas

Immunocytochemistry

5-15 µg/mL
Sample: Immersion fixed BG01V human embryonic stem cells differentiated into pancreatic progenitor cells

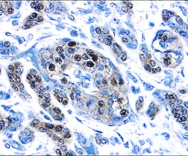
Immunohistochemistry

5-15 µg/mL
Sample: Immersion fixed paraffin-embedded sections of human pancreatic cancer tissue

Simple Western

10 µg/mL
Sample: betaTC‑6 mouse beta cell insulinoma cell line

Western Blot

1 µg/mL
Sample: betaTC-6 mouse beta cell insulinoma cell line

Reviewed Applications

Read 3 reviews rated 5 using AF2419 in the following applications:

Formulation, Preparation, and Storage

Purification

Antigen Affinity-purified

Reconstitution

Reconstitute at 0.2 mg/mL in sterile PBS. For liquid material, refer to CoA for concentration.

Reconstitution Buffer Available:
Size / Price
Qty
Loading...

Formulation

Lyophilized from a 0.2 μm filtered solution in PBS with Trehalose. See Certificate of Analysis for details.
*Small pack size (-SP) is supplied either lyophilized or as a 0.2 µm filtered solution in PBS.

Shipping

Lyophilized product is shipped at ambient temperature. Liquid small pack size (-SP) is shipped with polar packs. Upon receipt, store immediately at the temperature recommended below.

Stability & Storage

Use a manual defrost freezer and avoid repeated freeze-thaw cycles.
  • 12 months from date of receipt, -20 to -70 °C as supplied.
  • 1 month, 2 to 8 °C under sterile conditions after reconstitution.
  • 6 months, -20 to -70 °C under sterile conditions after reconstitution.

Background: PDX-1/IPF1

PDX-1, also known as islet/duodenum homeobox-1 (IDX-1), is a homeodomain-containing transcription factor. During embryonic development, PDX-1 is required for pancreas differentiation in adult islet cells. PDX-1 regulates beta-cell specific gene expression and function. Human and mouse PDX-1 share 88% amino acid sequence homology.

Long Name

Pancreas/Duodenum Homeobox-1

Alternate Names

IDX1, IPF1

Entrez Gene IDs

3651 (Human); 18609 (Mouse)

Gene Symbol

PDX1

UniProt

Additional PDX-1/IPF1 Products

Product Documents for Human PDX-1/IPF1 Antibody

Certificate of Analysis

To download a Certificate of Analysis, please enter a lot number in the search box below.

Note: Certificate of Analysis not available for kit components.

Product Specific Notices for Human PDX-1/IPF1 Antibody

For research use only

Loading...
Loading...
Loading...
Loading...