Human PAUF/ZG16B Antibody
R&D Systems, part of Bio-Techne | Catalog # MAB7777
Conjugate
Catalog #
Key Product Details
Species Reactivity
Validated:
Human
Cited:
Human
Applications
Validated:
Immunohistochemistry, Western Blot
Cited:
Immunohistochemistry-Paraffin, Western Blot, Immunocytochemistry
Label
Unconjugated
Antibody Source
Monoclonal Mouse IgG1 Clone # 817310
Product Specifications
Immunogen
E. coli-derived recombinant human PAUF/ZG16B
Gly53-Arg208
Accession # Q96DA0
Gly53-Arg208
Accession # Q96DA0
Specificity
Detects human PAUF/ZG16B in direct ELISAs and Western blots.
Clonality
Monoclonal
Host
Mouse
Isotype
IgG1
Scientific Data Images for Human PAUF/ZG16B Antibody
Detection of Human PAUF/ZG16B by Western Blot.
Western blot shows lysates of human placenta tissue and human prostate tissue. PVDF membrane was probed with 1 µg/mL of Mouse Anti-Human PAUF/ZG16B Monoclonal Antibody (Catalog # MAB7777) followed by HRP-conjugated Anti-Mouse IgG Secondary Antibody (Catalog # HAF018). A specific band was detected for PAUF/ZG16B at approximately 22 kDa (as indicated). This experiment was conducted under reducing conditions and using Immunoblot Buffer Group 1.PAUF/ZG16B in Human Pancreas Cancer Tissue.
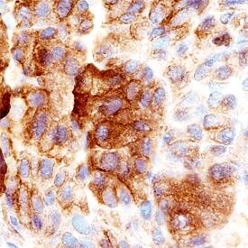
PAUF/ZG16B was detected in immersion fixed paraffin-embedded sections of human pancreas cancer tissue using Mouse Anti-Human PAUF/ZG16B Monoclonal Antibody (Catalog # MAB7777) at 15 µg/mL overnight at 4 °C. Before incubation with the primary antibody, tissue was subjected to heat-induced epitope retrieval using Antigen Retrieval Reagent-Basic (Catalog # CTS013). Tissue was stained using the Anti-Mouse HRP-DAB Cell & Tissue Staining Kit (brown; Catalog # CTS002) and counterstained with hematoxylin (blue). Specific staining was localized to cytoplasm and plasma membranes of cancer cells. View our protocol for Chromogenic IHC Staining of Paraffin-embedded Tissue Sections.Detection of PAUF/ZG16B by Western Blot
Depletion of pancreatic adenocarcinoma upregulated factor (PAUF) inhibits TGF-beta -mediated increase in epithelial–mesenchymal transition (EMT) in Panc-1 cells. Panc-1 cells were transfected with scrambled (Ctrl) or PAUF siRNA and stimulated with or without TGF-beta for (C) 1 or (A,B,D–F) 24 h. (A,B) Successful knockdown of PAUF expression was verified using immunoblotting and sandwich ELISA (n = 4). (C) Phosphorylation levels of MEK1/2 and ERK1/2 were examined using immunoblot analysis. Densitometry of the phosphorylated proteins was performed using the ImageJ software (n = 3). (D) Protein levels of EMT-related signaling molecules were determined using immunoblotting. (E) Expression levels of E-cadherin and alphaSMA were assessed using immunofluorescence staining with Alexa Flour 488-labeled anti-E-cadherin or Alexa Flour 647-labeled anti-alpha SMA antibody and nuclei were stained with DAPI. Scale bar, 50 μm. Relative fluorescence intensity was measured in four fields per sample in a randomized manner using the ImageJ software (n = 4). (F) Changes in cell morphology were observed using an optical microscope, and cell migration and invasion were evaluated using Transwell migration and Matrigel invasion assays. Scale bar, 50 μm. The migrated and invading cells were counted in four fields per sample (n = 4). Statistical significance was calculated using two-way ANOVA followed by post-hoc multiple comparisons test with Bonferroni correction. Data are represented as the mean ± standard deviation (SD). ** p < 0.01, *** p < 0.001. Image collected and cropped by CiteAb from the following open publication (https://www.mdpi.com/1422-0067/25/21/11420), licensed under a CC-BY license. Not internally tested by R&D Systems.Applications for Human PAUF/ZG16B Antibody
Application
Recommended Usage
Immunohistochemistry
8-25 µg/mL
Sample: Immersion fixed paraffin-embedded sections of human pancreas cancer tissue
Sample: Immersion fixed paraffin-embedded sections of human pancreas cancer tissue
Western Blot
1 µg/mL
Sample: Human placenta tissue and human prostate tissue
Sample: Human placenta tissue and human prostate tissue
Formulation, Preparation, and Storage
Purification
Protein A or G purified from hybridoma culture supernatant
Reconstitution
Sterile PBS to a final concentration of 0.5 mg/mL. For liquid material, refer to CoA for concentration.
Formulation
Lyophilized from a 0.2 μm filtered solution in PBS with Trehalose. *Small pack size (SP) is supplied either lyophilized or as a 0.2 µm filtered solution in PBS.
Shipping
Lyophilized product is shipped at ambient temperature. Liquid small pack size (-SP) is shipped with polar packs. Upon receipt, store immediately at the temperature recommended below.
Stability & Storage
Use a manual defrost freezer and avoid repeated freeze-thaw cycles.
- 12 months from date of receipt, -20 to -70 °C as supplied.
- 1 month, 2 to 8 °C under sterile conditions after reconstitution.
- 6 months, -20 to -70 °C under sterile conditions after reconstitution.
Background: PAUF/ZG16B
Long Name
Pancreatic Adenocarcinoma Upregulated Factor
Alternate Names
EECP, HRPE773, JCLN2, LOC124220, PRO1567, ZG16B
Entrez Gene IDs
124220 (Human)
Gene Symbol
ZG16B
UniProt
Additional PAUF/ZG16B Products
Product Documents for Human PAUF/ZG16B Antibody
Product Specific Notices for Human PAUF/ZG16B Antibody
For research use only
Loading...
Loading...
Loading...
Loading...