Skip to main content

Key Product Details

Species Reactivity

Human

Applications

Immunohistochemistry, Western Blot

Label

Unconjugated

Antibody Source

Polyclonal Sheep IgG

Product Specifications

Immunogen

E. coli-derived recombinant human Palladin
Met1154-Gly1304
Accession # Q8WX93

Specificity

Detects human Palladin in Western blots.

Clonality

Polyclonal

Host

Sheep

Isotype

IgG

Scientific Data Images for Human Palladin Antibody

Detection of Human Palladin antibody by Western Blot.

Detection of Human Palladin by Western Blot.

Western blot shows lysates of HeLa human cervical epithelial carcinoma cell line, 293T human embryonic kidney cell line, PC-3 human prostate cancer cell line, and Caki-2 human clear cell carcinoma epithelial cell line. PVDF Membrane was probed with 0.5 µg/mL of Human Palladin Antigen Affinity-purified Polyclonal Antibody (Catalog # AF5950) followed by HRP-conjugated Anti-Sheep IgG Secondary Antibody (HAF016). Specific bands were detected for Palladin at approximately 95, 115, and 140 kDa (as indicated). This experiment was conducted under reducing conditions and using Immunoblot Buffer Group 1.

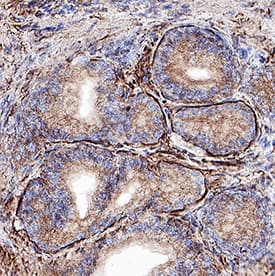
Detection of Palladin in Human Prostate.

Palladin was detected in immersion fixed paraffin-embedded sections of Human Prostate using Sheep Anti-Human Palladin Antigen Affinity-purified Polyclonal Antibody (Catalog # AF5950) at 10 µg/mL for 1 hour at room temperature followed by incubation with the Anti-Sheep IgG VisUCyte™ HRP Polymer Antibody (Catalog # VC006). Before incubation with the primary antibody, tissue was subjected to heat-induced epitope retrieval using VisUCyte Antigen Retrieval Reagent-Basic (Catalog # VCTS021). Tissue was stained using DAB (brown) and counterstained with hematoxylin (blue). Specific staining was localized to smooth muscle cells. View our protocol for IHC Staining with VisUCyte HRP Polymer Detection Reagents.

Applications for Human Palladin Antibody

Application
Recommended Usage

Immunohistochemistry

5-15 µg/mL
Sample: Immersion fixed paraffin-embedded sections of human prostate

Western Blot

0.5 µg/mL
Sample: HeLa human cervical epithelial carcinoma cell line, 293T human embryonic kidney cell line, PC‑3 human prostate cancer cell line, and Caki‑2 human clear cell carcinoma epithelial cell line

Formulation, Preparation, and Storage

Purification

Antigen Affinity-purified

Reconstitution

Reconstitute at 0.2 mg/mL in sterile PBS. For liquid material, refer to CoA for concentration.

Reconstitution Buffer Available:
Size / Price
Qty
Loading...

Formulation

Lyophilized from a 0.2 μm filtered solution in PBS with Trehalose. *Small pack size (SP) is supplied either lyophilized or as a 0.2 µm filtered solution in PBS.

Shipping

Lyophilized product is shipped at ambient temperature. Liquid small pack size (-SP) is shipped with polar packs. Upon receipt, store immediately at the temperature recommended below.

Stability & Storage

Use a manual defrost freezer and avoid repeated freeze-thaw cycles.
  • 12 months from date of receipt, -20 to -70 °C as supplied.
  • 1 month, 2 to 8 °C under sterile conditions after reconstitution.
  • 6 months, -20 to -70 °C under sterile conditions after reconstitution.

Background: Palladin

Palladin (a cytoarchitectural protein named after the 16th century Venetian architect Palladio) is a cytoplasmic member of the myotilin/palladin family of proteins. Palladin is widely expressed and interacts with actin-associated proteins, thus promoting actin bundle stability. Human Palladin is 1383 amino acids (aa) in length and contains five I‑type Ig-like domains (aa 271-360; 440-539; 1001-1085; 1135-1226; 1233-1324), a Pro-rich region (aa 634-864) and nine potential Ser/Thr phosphorylation sites. Multiple isoform variants exist. Predominant are a 140 kDa and 92-95 kDa short form that show alternative start sites at Met383 and Met712, respectively. The 140 kDa isoform also shows a deletion of aa 656-879 to generate an approximately 115 kDa isoform.

Alternate Names

PALLD, PNCA1, SIH002

Entrez Gene IDs

23022 (Human); 72333 (Mouse); 364558 (Rat)

Gene Symbol

PALLD

UniProt

Additional Palladin Products

Product Documents for Human Palladin Antibody

Certificate of Analysis

To download a Certificate of Analysis, please enter a lot number in the search box below.

Note: Certificate of Analysis not available for kit components.

Product Specific Notices for Human Palladin Antibody

For research use only

Loading...
Loading...
Loading...
Loading...