Skip to main content

Human Ninjurin-1 Antibody

R&D Systems, part of Bio-Techne | Catalog # MAB51051

R&D Systems, part of Bio-Techne

Key Product Details

Species Reactivity

Human

Applications

Immunohistochemistry, Flow Cytometry, CyTOF-ready

Label

Unconjugated

Antibody Source

Monoclonal Mouse IgG1 Clone # 758926

Product Specifications

Immunogen

E. coli-derived recombinant human Ninjurin-1
Asp2-Val81
Accession # Q92982

Specificity

Detects human Ninjurin-1 in direct ELISAs. In direct ELISAs, no cross-reactivity with recombinant human Ninjurin-2 is observed.

Clonality

Monoclonal

Host

Mouse

Isotype

IgG1

Scientific Data Images for Human Ninjurin-1 Antibody

Detection of Ninjurin-1 antibody in HepG2 Human Cell Line antibody by Flow Cytometry.

Detection of Ninjurin-1 in HepG2 Human Cell Line by Flow Cytometry.

HepG2 human hepatocellular carcinoma cell line was stained with Mouse Anti-Human Ninjurin-1 Monoclonal Antibody (Catalog # MAB51051, filled histogram) or isotype control antibody (Catalog # MAB002, open histogram), followed by Phycoerythrin-conjugated Anti-Mouse IgG Secondary Antibody (Catalog # F0102B).
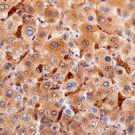
Ninjurin-1 antibody in Human Liver by Immunohistochemistry (IHC-P).

Ninjurin‑1 in Human Liver.

Ninjurin-1 was detected in immersion fixed paraffin-embedded sections of human liver using Mouse Anti-Human Ninjurin-1 Monoclonal Antibody (Catalog # MAB51051) at 15 µg/mL overnight at 4 °C. Before incubation with the primary antibody, tissue was subjected to heat-induced epitope retrieval using Antigen Retrieval Reagent-Basic (Catalog # CTS013). Tissue was stained using the Anti-Mouse HRP-DAB Cell & Tissue Staining Kit (brown; Catalog # CTS002) and counterstained with hematoxylin (blue). Specific staining was localized to Kupffer cells. View our protocol for Chromogenic IHC Staining of Paraffin-embedded Tissue Sections.

Applications for Human Ninjurin-1 Antibody

Application
Recommended Usage

CyTOF-ready

Ready to be labeled using established conjugation methods. No BSA or other carrier proteins that could interfere with conjugation.

Flow Cytometry

2.5 µg/106 cells
Sample: HepG2 human hepatocellular carcinoma cell line

Immunohistochemistry

8-25 µg/mL
Sample: Immersion fixed paraffin-embedded sections of human liver

Formulation, Preparation, and Storage

Purification

Protein A or G purified from hybridoma culture supernatant

Reconstitution

Sterile PBS to a final concentration of 0.5 mg/mL. For liquid material, refer to CoA for concentration.

Reconstitution Buffer Available:
Size / Price
Qty
Loading...

Formulation

Lyophilized from a 0.2 μm filtered solution in PBS with Trehalose. *Small pack size (SP) is supplied either lyophilized or as a 0.2 µm filtered solution in PBS.

Shipping

Lyophilized product is shipped at ambient temperature. Liquid small pack size (-SP) is shipped with polar packs. Upon receipt, store immediately at the temperature recommended below.

Stability & Storage

Use a manual defrost freezer and avoid repeated freeze-thaw cycles.
  • 12 months from date of receipt, -20 to -70 °C as supplied.
  • 1 month, 2 to 8 °C under sterile conditions after reconstitution.
  • 6 months, -20 to -70 °C under sterile conditions after reconstitution.

Background: Ninjurin-1

Ninjurin-1 (nerve injury-induced protein 1) is a 20-22 kDa member of the Ninjurin family of transmembrane (TM) proteins. It is expressed by Schwann cells, neurons and hepatocytes and participates in intercellular homophilic binding during nerve regeneration. Human Ninjurin-1 is 152 amino acids in length. It has an unusual membrane orientation. There is an 80 amino acid (aa) N-terminal extracellular domain (ECD) (aa 1-80), followed by a TM segment, a cytoplasmic region, a second TM segment and a C-terminal ECD (aa 142-152). Homophilic binding is divalent-cation dependent and occurs between Pro26 and Asn37. Over aa 1-80, human Ninjurin-1 shares 84% aa sequence identity with mouse Ninjurin-1. Human Ninjurin-1 shares only 50% aa sequence identity with human Ninjurin-2.

Alternate Names

NIN1, NINJ1, Ninjurin1

Entrez Gene IDs

4814 (Human); 18081 (Mouse); 25338 (Rat)

Gene Symbol

NINJ1

UniProt

Additional Ninjurin-1 Products

Product Documents for Human Ninjurin-1 Antibody

Certificate of Analysis

To download a Certificate of Analysis, please enter a lot number in the search box below.

Note: Certificate of Analysis not available for kit components.

Product Specific Notices for Human Ninjurin-1 Antibody

For research use only

Loading...
Loading...
Loading...
Loading...
Loading...