Skip to main content

Key Product Details

Species Reactivity

Validated:

Human

Cited:

Human, Mouse, Rat, Transgenic Mouse

Applications

Validated:

Immunohistochemistry, Western Blot, Simple Western

Cited:

Immunohistochemistry, Immunohistochemistry-Paraffin, Immunohistochemistry-Frozen, Western Blot, Flow Cytometry, Immunocytochemistry, Immunocytochemistry/ Immunofluorescence

Label

Unconjugated

Antibody Source

Polyclonal Sheep IgG

Product Specifications

Immunogen

Mouse myeloma cell line NS0-derived recombinant human Nephrin
Gln23-Thr1029
Accession # O60500

Specificity

Detects human Nephrin in direct ELISAs and Western blots. In direct ELISAs, less than 20% cross-reactivity with recombinant mouse Nephrin is observed.

Clonality

Polyclonal

Host

Sheep

Isotype

IgG

Scientific Data Images for Human Nephrin Antibody

Detection of Human Nephrin antibody by Western Blot.

Detection of Human Nephrin by Western Blot.

Western blot shows lysates of human kidney tissue under reducing and non-reducing conditions. PVDF membrane was probed with 1 µg/mL Sheep Anti-Human Nephrin Antigen Affinity-purified Polyclonal Antibody (Catalog # AF4269) followed by HRP-conjugated Anti-Sheep IgG Secondary Antibody (Catalog # HAF016). A specific band for Nephrin was detected at approximately 150 kDa (as indicated). This experiment was conducted under reducing conditions and using Immunoblot Buffer Group 2.
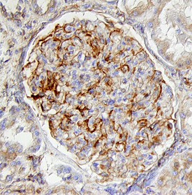
Nephrin antibody in Human Kidney by Immunohistochemistry (IHC-P).

Nephrin in Human Kidney.

Nephrin was detected in immersion fixed paraffin-embedded sections of human kidney using 1.7 µg/mL Sheep Anti-Human Nephrin Antigen Affinity-purified Polyclonal Antibody (Catalog # AF4269) overnight at 4 °C. Tissue was stained with the Anti-Sheep HRP-DAB Cell & Tissue Staining Kit (brown; Catalog # CTS019) and counterstained with hematoxylin (blue). Specific labeling was localized to podocytes in glomeruli. View our protocol for Chromogenic IHC Staining of Paraffin-embedded Tissue Sections.

Detection of Human Nephrin by Simple WesternTM.

Simple Western lane view shows lysates of human kidney, loaded at 0.2 mg/mL. A specific band was detected for Nephrin at approximately 185 kDa (as indicated) using 20 µg/mL of Sheep Anti-Human Nephrin Antigen Affinity-purified Polyclonal Antibody (Catalog # AF4269) followed by 1:50 dilution of HRP-conjugated Anti-Sheep IgG Secondary Antibody (HAF016). This experiment was conducted under reducing conditions and using the 12-230 kDa separation system.

Applications for Human Nephrin Antibody

Application
Recommended Usage

Immunohistochemistry

1-15 µg/mL
Sample: Immersion fixed paraffin-embedded sections of human kidney

Simple Western

20 µg/mL
Sample: Human kidney

Western Blot

1 µg/mL
Sample: Human kidney tissue

Reviewed Applications

Read 1 review rated 5 using AF4269 in the following applications:

Formulation, Preparation, and Storage

Purification

Antigen Affinity-purified

Reconstitution

Reconstitute at 0.2 mg/mL in sterile PBS. For liquid material, refer to CoA for concentration.

Reconstitution Buffer Available:
Size / Price
Qty
Loading...

Formulation

Lyophilized from a 0.2 μm filtered solution in PBS with Trehalose. *Small pack size (SP) is supplied either lyophilized or as a 0.2 µm filtered solution in PBS.

Shipping

Lyophilized product is shipped at ambient temperature. Liquid small pack size (-SP) is shipped with polar packs. Upon receipt, store immediately at the temperature recommended below.

Stability & Storage

Use a manual defrost freezer and avoid repeated freeze-thaw cycles.
  • 12 months from date of receipt, -20 to -70 °C as supplied.
  • 1 month, 2 to 8 °C under sterile conditions after reconstitution.
  • 6 months, -20 to -70 °C under sterile conditions after reconstitution.

Background: Nephrin

Nephrin, also known as renal glomerulus-specific cell adhesion receptor and nephrosis 1 (NPHS1) is a 185-200 kDa type I transmembrane protein belonging to the immunoglobulin (Ig) superfamily. It is expressed on podocytes and is an essential component of the interpodocyte-spanning slit diaphragm complex. Nephrin forms cis-hetero-oligomeric complexes with Neph1, followed by trans-homophilic interaction with Nephrin on opposing cells. Mutations in the Nephrin gene is the pathogenic cause of congenital nephrotic syndrome. Mature human Nephrin contains a 1033 aa extracellular region and a 165 aa cytoplasmic tail. One potential soluble splice form is known where aa’s 1056-1095 are deleted, eliminating the transmembrane region. Over aa 23-1029, human Nephrin shares 84% and 89% aa sequence identity with mouse and canine Nephrin, respectively.

Alternate Names

CNF, NPHS1

Entrez Gene IDs

4868 (Human); 54631 (Mouse); 64563 (Rat)

Gene Symbol

NPHS1

UniProt

Additional Nephrin Products

Product Documents for Human Nephrin Antibody

Certificate of Analysis

To download a Certificate of Analysis, please enter a lot number in the search box below.

Note: Certificate of Analysis not available for kit components.

Product Specific Notices for Human Nephrin Antibody

For research use only

Loading...
Loading...
Loading...
Loading...