Skip to main content

Human Napsin A Antibody

R&D Systems, part of Bio-Techne | Catalog # AF8489

R&D Systems, part of Bio-Techne
Catalog #
Availability
Size / Price
Qty
Loading...
AF8489
AF8489-SP

Key Product Details

Species Reactivity

Validated:

Human

Cited:

Human

Applications

Validated:

Immunohistochemistry, Western Blot, Simple Western

Cited:

Dot Blot

Label

Unconjugated

Antibody Source

Polyclonal Rabbit IgG

Product Specifications

Immunogen

Chinese hamster ovary cell line CHO-derived recombinant human Napsin A
Thr25-Gly420
Accession # O96009

Specificity

Detects human Napsin A in direct ELISAs and Western blots.

Clonality

Polyclonal

Host

Rabbit

Isotype

IgG

Scientific Data Images for Human Napsin A Antibody

Detection of Human Napsin A antibody by Western Blot.

Detection of Human Napsin A by Western Blot.

Western blot shows lysates of human lung tissue and human kidney tissue. PVDF membrane was probed with 1:1000 dilution of Rabbit Anti-Human Napsin A Antigen Affinity-purified Polyclonal Antibody (Catalog # AF8489) followed by HRP-conjugated Anti-Rabbit IgG Secondary Antibody (Catalog # HAF008). A specific band was detected for Napsin A at approximately 35 kDa (as indicated). This experiment was conducted under reducing conditions and using Immunoblot Buffer Group 1.
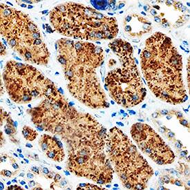
Napsin A antibody in Human Kidney by Immunohistochemistry (IHC-P).

Napsin A in Human Kidney.

Napsin A was detected in immersion fixed paraffin-embedded sections of human kidney using Rabbit Anti-Human Napsin A Antigen Affinity-purified Polyclonal Antibody (Catalog # AF8489) at 1 µg/mL overnight at 4 °C. Tissue was stained using the Anti-Rabbit HRP-DAB Cell & Tissue Staining Kit (brown; Catalog # CTS005) and counterstained with hematoxylin (blue). Specific staining was localized to lysosomes in epithelial cells in convoluted tubules. View our protocol for Chromogenic IHC Staining of Paraffin-embedded Tissue Sections.

Detection of Human Napsin A by Simple WesternTM.

Simple Western lane view shows lysates of human kidney, loaded at 0.2 mg/mL. A specific band was detected for Napsin A at approximately 45 kDa (as indicated) using 0.5 µg/mL of Rabbit Anti-Human Napsin A Antigen Affinity-purified Polyclonal Antibody (Catalog # AF8489) . This experiment was conducted under reducing conditions and using the 12-230 kDa separation system.

Applications for Human Napsin A Antibody

Application
Recommended Usage

Immunohistochemistry

0.5-10 µg/mL
Sample: Immersion fixed paraffin-embedded sections of human kidney

Simple Western

0.5 µg/mL
Sample: Human Kidney

Western Blot

1:1000 dilution
Sample: Human lung tissue and human kidney tissue

Formulation, Preparation, and Storage

Purification

Antigen Affinity-purified

Reconstitution

For liquid material, refer to CoA for concentration.

Formulation

Supplied as a solution in PBS containing BSA, Glycerol and Sodium Azide. *Small pack size (SP) is supplied either lyophilized or as a 0.2 µm filtered solution in PBS.

Shipping

Lyophilized product is shipped at ambient temperature. Liquid small pack size (-SP) is shipped with polar packs. Upon receipt, store immediately at the temperature recommended below.

Stability & Storage

Use a manual defrost freezer and avoid repeated freeze-thaw cycles.
  • 12 months from date of receipt, -20 to -70 °C, as supplied.
  • 1 month, 2 to 8 °C under sterile conditions after opening.
  • 6 months, -20 to -70 °C under sterile conditions after opening.

Background: Napsin A

Novel Aspartic Proteinase of the Pepsin Family or Napsin A is an aspartic proteinase that belongs to the peptidase A1 family and plays a role in pneumocyte surfactant processing. It consists of a 24-residue signal peptide, a 40-amino acid propart, the mature enzyme of 336 amino acids, and a C-terminal extension of 18 residues. Highest levels of Napsin A have been detected in adult lung (type II pneumocytes), fetal lung, and kidney tissues. Napsin A is also expressed at lower levels in adult spleen and at very low levels in peripheral blood leukocytes. Human napsin A shares 72.6% sequence identity with the mouse homolog.

Alternate Names

ASP4, KAP, NAPA, NAPSA, Napsin-1, SNAPA, TA01/TA02

Entrez Gene IDs

9476 (Human); 16541 (Mouse); 60575 (Rat)

Gene Symbol

NAPSA

UniProt

Additional Napsin A Products

Product Documents for Human Napsin A Antibody

Certificate of Analysis

To download a Certificate of Analysis, please enter a lot number in the search box below.

Note: Certificate of Analysis not available for kit components.

Product Specific Notices for Human Napsin A Antibody

* Contains <0.1% Sodium Azide, which is not hazardous at this concentration according to GHS classifications. Refer to SDS for additional information and handling instructions.

For research use only

Loading...
Loading...
Loading...
Loading...