Skip to main content

Key Product Details

Species Reactivity

Human

Applications

Immunohistochemistry, Western Blot

Label

Unconjugated

Antibody Source

Monoclonal Mouse IgG2B Clone # 756030

Product Specifications

Immunogen

Chinese hamster ovary cell line CHO-derived recombinant human NAALADase-2/NAALAD2
Lys32-Leu740
Accession # Q9Y3Q0

Specificity

Detects human NAALADase-2/NAALAD2 in direct ELISAs. In direct ELISAs, approximately 50% cross-reactivity with recombinant mouse NAALADase-2 is observed and no cross-reactivity with recombinant human (rh) PSMA/FOLH1/NAALADase-1, rhNAALADase-like 2, or rhNAALADase-like 1 is observed.

Clonality

Monoclonal

Host

Mouse

Isotype

IgG2B

Scientific Data Images for Human NAALADase-2/NAALAD2 Antibody

Detection of Human NAALADase-2/NAALAD2 antibody by Western Blot.

Detection of Human NAALADase-2/NAALAD2 by Western Blot.

Western blot shows lysates of human testis tissue. PVDF membrane was probed with 0.5 µg/mL of Mouse Anti-Human NAALADase-2/NAALAD2 Monoclonal Antibody (Catalog # MAB7658) followed by HRP-conjugated Anti-Mouse IgG Secondary Antibody (Catalog # HAF018). A specific band was detected for NAALADase-2/NAALAD2 at approximately 110 kDa (as indicated). This experiment was conducted under reducing conditions and using Immunoblot Buffer Group 1.
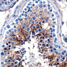
NAALADase-2/NAALAD2 antibody in Human Testis by Immunohistochemistry (IHC-P).

NAALADase-2/NAALAD2 in Human Testis.

NAALADase-2/NAALAD2 was detected in immersion fixed paraffin-embedded sections of human testis using Mouse Anti-Human NAALADase-2/ NAALAD2 Monoclonal Antibody (Catalog # MAB7658) at 15 µg/mL overnight at 4 °C. Tissue was stained using the Anti-Mouse HRP-DAB Cell & Tissue Staining Kit (brown; Catalog # CTS002) and counterstained with hematoxylin (blue). Specific staining was localized to plasma membranes of spermatocytes. View our protocol for Chromogenic IHC Staining of Paraffin-embedded Tissue Sections.

Applications for Human NAALADase-2/NAALAD2 Antibody

Application
Recommended Usage

Immunohistochemistry

8-25 µg/mL
Sample: Immersion fixed paraffin-embedded sections of human testis

Western Blot

0.5 µg/mL
Sample: Human testis tissue

Formulation, Preparation, and Storage

Purification

Protein A or G purified from hybridoma culture supernatant

Reconstitution

Sterile PBS to a final concentration of 0.5 mg/mL. For liquid material, refer to CoA for concentration.

Reconstitution Buffer Available:
Size / Price
Qty
Loading...

Formulation

Lyophilized from a 0.2 μm filtered solution in PBS with Trehalose. *Small pack size (SP) is supplied either lyophilized or as a 0.2 µm filtered solution in PBS.

Shipping

Lyophilized product is shipped at ambient temperature. Liquid small pack size (-SP) is shipped with polar packs. Upon receipt, store immediately at the temperature recommended below.

Stability & Storage

Use a manual defrost freezer and avoid repeated freeze-thaw cycles.
  • 12 months from date of receipt, -20 to -70 °C as supplied.
  • 1 month, 2 to 8 °C under sterile conditions after reconstitution.
  • 6 months, -20 to -70 °C under sterile conditions after reconstitution.

Background: NAALADase-2/NAALAD2

N-acetylated-alpha-linked acidic dipeptidase 2 (NAALADase-2), also known as glutamate carboxypeptidase 3 (GCP3), is a 90-100 kDa type 2 transmembrane protein in the M28 peptidase family. It hydrolyzes beta-citrylglutamate (BCG) and N-acetyl-aspartylglutamate (NAAG) which are abundant dipeptides found in brain and testis. Mature human NAALADase-2 consists of a 7 amino acid (aa) cytoplasmic domain, a 24 aa transmembrane segment, and a 709 aa extracellular region (aa 32-740) that contains the peptidase domain. Over aa 32-740, human NAALADase-2 shares 89% aa sequence identity with mouse NAALADase-2.

Long Name

N-Acetylated Alpha-Linked Acidic Dipeptidase 2

Alternate Names

GCPIII, Glutamate Carboxypeptidase III, NAALAD2, NAALADase2

Entrez Gene IDs

10003 (Human); 72560 (Mouse); 300384 (Rat)

Gene Symbol

NAALAD2

UniProt

Additional NAALADase-2/NAALAD2 Products

Product Documents for Human NAALADase-2/NAALAD2 Antibody

Certificate of Analysis

To download a Certificate of Analysis, please enter a lot number in the search box below.

Note: Certificate of Analysis not available for kit components.

Product Specific Notices for Human NAALADase-2/NAALAD2 Antibody

For research use only

Loading...
Loading...
Loading...
Loading...