Skip to main content

Key Product Details

Species Reactivity

Validated:

Human, Mouse

Cited:

Human, Mouse, Monkey, Transgenic Mouse

Applications

Validated:

Immunohistochemistry, Western Blot, Immunocytochemistry

Cited:

Immunohistochemistry, Western Blot

Label

Unconjugated

Antibody Source

Monoclonal Rat IgG2A Clone # 238835

Product Specifications

Immunogen

Mouse myeloma cell line NS0-derived recombinant mouse Semaphorin 3C
Gln24-Ser751 (Arg548Ala, Arg552Ala)
Accession # Q62181

Specificity

Detects mouse Semaphorin 3C in direct ELISAs and Western blots. In direct ELISAs and Western blots, no cross-reactivity with recombinant human Semaphorin 3A, 3B, 6B, 6C, 6D, recombinant mouse Semaphorin 3A, 3B, 3E, 3F, 6A, or 7A is observed.

Clonality

Monoclonal

Host

Rat

Isotype

IgG2A

Scientific Data Images for Human/Mouse Semaphorin 3C Antibody

Semaphorin 3C antibody in MCF-7 Human Cell Line by Immunocytochemistry (ICC).

Semaphorin 3C in MCF‑7 Human Cell Line.

Semaphorin 3C was detected in immersion fixed MCF-7 human breast cancer cell line using Rat Anti-Mouse Semaphorin 3C Monoclonal Antibody (Catalog # MAB1728) at 10 µg/mL for 3 hours at room temperature. Cells were stained using the NorthernLights™ 557-conjugated Anti-Rat IgG Secondary Antibody (red; Catalog # NL013) and counterstained with DAPI (blue). Specific staining was localized to cytoplasm. View our protocol for Fluorescent ICC Staining of Cells on Coverslips.
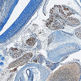
Semaphorin 3C antibody in Mouse Embryo by Immunohistochemistry (IHC-Fr).

Semaphorin 3C in Mouse Embryo.

Semaphorin 3C was detected in immersion fixed frozen sections of mouse embryo (13 d.p.c.) using Rat Anti-Human/Mouse Semaphorin 3C Monoclonal Antibody (Catalog # MAB1728) at 1.7 µg/mL overnight at 4 °C. Tissue was stained using the Anti-Rat HRP-DAB Cell & Tissue Staining Kit (brown; Catalog # CTS017) and counterstained with hematoxylin (blue). Specific staining was localized to developing muscle cells. View our protocol for Chromogenic IHC Staining of Frozen Tissue Sections.

Applications for Human/Mouse Semaphorin 3C Antibody

Application
Recommended Usage

Immunocytochemistry

8-25 µg/mL
Sample: Immersion fixed MCF‑7 human breast cancer cell line

Immunohistochemistry

1-25 µg/mL
Sample: Immersion fixed frozen sections of mouse embryo (13 d.p.c.)

Western Blot

1 µg/mL
Sample: Recombinant Mouse Semaphorin 3C Fc Chimera, Truncated (Catalog # 1728-S3)

Reviewed Applications

Read 2 reviews rated 4.5 using MAB1728 in the following applications:

Formulation, Preparation, and Storage

Purification

Protein A or G purified from hybridoma culture supernatant

Reconstitution

Reconstitute at 0.5 mg/mL in sterile PBS. For liquid material, refer to CoA for concentration.

Reconstitution Buffer Available:
Size / Price
Qty
Loading...

Formulation

Lyophilized from a 0.2 μm filtered solution in PBS with Trehalose. See Certificate of Analysis for details.
*Small pack size (-SP) is supplied either lyophilized or as a 0.2 µm filtered solution in PBS.

Shipping

Lyophilized product is shipped at ambient temperature. Liquid small pack size (-SP) is shipped with polar packs. Upon receipt, store immediately at the temperature recommended below.

Stability & Storage

Use a manual defrost freezer and avoid repeated freeze-thaw cycles.
  • 12 months from date of receipt, -20 to -70 °C as supplied.
  • 1 month, 2 to 8 °C under sterile conditions after reconstitution.
  • 6 months, -20 to -70 °C under sterile conditions after reconstitution.

Background: Semaphorin 3C

Semaphorin 3C (Sema3C; previously semaE) is one of six Class 3 secreted semaphorins which share 40-50% amino acid (aa) identity. Class 3 semaphorins are potent chemorepellents that function in axon and/or vascular guidance during development, and may be upregulated in tumor progression (1, 2). The 751 amino acid (aa) mouse Sema3C is highly modular. It contains a 20 aa signal sequence, an ~500 aa N-terminal Sema domain that forms a beta-propeller structure similar to that found in integrin molecules, a cysteine knot, a furin-type cleavage site, an Ig-like domain, and a C-terminal basic domain (1-3). Covalent dimerization plus cleavage at the C-terminus are required for activity of class 3 semaphorins (4). Mouse Sema3C shares at least 95% aa identity with human, rat, cow and dog Sema3C, and 89% and 75% aa identity with chick and zebrafish Sema3C, respectively. Type 3 semaphorins transduce signals through transmembrane plexins, either directly or by binding associated neuropilin receptors (1, 2). Sema3C signaling is transduced by Plexin-D1 indirectly via neuropilin-1 or neuropilin-2 receptors (5). Sema3C is expressed in all somitic motor neurons, in lung buds and in cardiac neural crest cells during development (1, 5-8). Sema3C activates integrins in certain cells so, in addition to its repulsive activities, it sometimes acts as a chemoattractant (6, 9). In the developing nervous system, this chemoattraction appears to complement Sema3A repulsion in adjacent cell layers (1, 6, 7). Sema3C also provides an attractive force opposing Sema6A and Sema6B to guide migration of neural crest endothelial cells to the cardiac outflow tract (10). Consequently, defects in aortic arch formation occur when Sema3C or Plexin-D1 genes or Sema3C-neuropilin interactions are disrupted (5, 11, 12).

References

  1. Hinck, L. (2004) Dev. Cell 7:783.
  2. Neufeld, G. et al. (2005) Front. Biosci. 10:751.
  3. Gherardi, E. et al. (2004) Curr. Opin. Struct. Biol. 14:669.
  4. Adams, R. H. et al. (1997) EMBO J. 16:6077.
  5. Gitler, A. D. et al. (2004) Dev. Cell 7:107.
  6. Bagnard, D. et al. (1998) Development 125:5043.
  7. Cohen, S. et al. (2005) Eur. J. Neurosci. 21:1767.
  8. Puschel, A. W. et al. (1995) Neuron 14:941.
  9. Herman, J. G. and G. G. Meadows (2007) Int. J. Oncol. 30:1231.
  10. Toyofuku, T. et al. (2008) Dev. Biol. 321:251.
  11. Feiner, L. et al. (2001) Development 128:3061.
  12. Gu, C. et al. (2003) Dev. Cell 5:45.

Alternate Names

SEMA3C, SEMAE, Semaphorin E, SEME

Entrez Gene IDs

10512 (Human); 20348 (Mouse)

Gene Symbol

SEMA3C

UniProt

Additional Semaphorin 3C Products

Product Documents for Human/Mouse Semaphorin 3C Antibody

Certificate of Analysis

To download a Certificate of Analysis, please enter a lot number in the search box below.

Note: Certificate of Analysis not available for kit components.

Product Specific Notices for Human/Mouse Semaphorin 3C Antibody

For research use only

Loading...
Loading...
Loading...
Loading...