Skip to main content

Key Product Details

Species Reactivity

Validated:

Human, Mouse, Rat

Cited:

Human, Mouse

Applications

Validated:

Immunohistochemistry, Western Blot

Cited:

Western Blot

Label

Unconjugated

Antibody Source

Polyclonal Goat IgG

Product Specifications

Immunogen

E. coli-derived recombinant human HSPA8
Asp534-Gly615
Accession # P11142

Specificity

Detects human, mouse and rat HSPA8/HSC71, Isoform 1 in Western blots. In Western blots, this antibody shows no cross‑reactivity with recombinant human HSPA1A/HSP70, HSPA2, HSPA6, GRP75 or GRP78.

Clonality

Polyclonal

Host

Goat

Isotype

IgG

Scientific Data Images for Human/Mouse/Rat HSPA8/HSC71 Antibody

Detection of Human/Mouse/Rat HSPA8/HSC71 antibody by Western Blot.

Detection of Human/Mouse/Rat HSPA8/HSC71 by Western Blot.

Western blot shows lysates of HeLa human cervical epithelial carcinoma cell line, NIH-3T3 mouse embryonic fibroblast cell line, and L6 rat myoblast cell line. PVDF membrane was probed with 1 µg/mL of Goat Anti-Human/Mouse/Rat HSPA8/HSC71 Antigen Affinity-purified Polyclonal Antibody (Catalog # AF4148) followed by HRP-conjugated Anti-Goat IgG Secondary Antibody (Catalog # HAF017). A specific band was detected for HSPA8/HSC71 at approximately 71 kDa (as indicated). This experiment was conducted using Immunoblot Buffer Group 2.
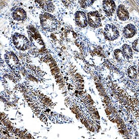
HSPA8/HSC71 antibody in Mouse Intestine by Immunohistochemistry (IHC-Fr).

HSPA8/HSC71 in Mouse Intestine.

HSPA8/HSC71 was detected in immersion fixed frozen sections of mouse intestine using Goat Anti-Human/Mouse/Rat HSPA8/HSC71 Antigen Affinity-purified Polyclonal Antibody (Catalog # AF4148) at 3 µg/mL for 1 hour at room temperature followed by incubation with the Anti-Goat IgG VisUCyte™ HRP Polymer Antibody (Catalog # VC004). Tissue was stained using DAB (brown) and counterstained with hematoxylin (blue). Specific staining was localized to epithelial cells in intestinal glands. View our protocol for IHC Staining with VisUCyte HRP Polymer Detection Reagents.
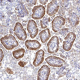
HSPA8/HSC71 antibody in Rat Intestine by Immunohistochemistry (IHC-Fr).

HSPA8/HSC71 in Rat Intestine.

HSPA8/HSC71 was detected in immersion fixed frozen sections of rat intestine using Goat Anti-Human/Mouse/Rat HSPA8/HSC71 Antigen Affinity-purified Polyclonal Antibody (Catalog # AF4148) at 3 µg/mL for 1 hour at room temperature followed by incubation with the Anti-Goat IgG VisUCyte™ HRP Polymer Antibody (Catalog # VC004). Tissue was stained using DAB (brown) and counterstained with hematoxylin (blue). Specific staining was localized to epithelial cells in intestinal glands. View our protocol for IHC Staining with VisUCyte HRP Polymer Detection Reagents.

Applications for Human/Mouse/Rat HSPA8/HSC71 Antibody

Application
Recommended Usage

Immunohistochemistry

3-15 µg/mL
Sample: Immersion fixed frozen sections of mouse intestine, immersion fixed frozen sections of rat intestine, and immersion fixed paraffin-embedded sections of human kidney

Western Blot

1 µg/mL
Sample: HeLa human cervical epithelial carcinoma cell line, NIH-3T3 mouse embryonic fibroblast cell line, and L6 rat myoblast cell line

Reviewed Applications

Read 3 reviews rated 4 using AF4148 in the following applications:

Formulation, Preparation, and Storage

Purification

Antigen Affinity-purified

Reconstitution

Reconstitute at 0.2 mg/mL in sterile PBS. For liquid material, refer to CoA for concentration.

Reconstitution Buffer Available:
Size / Price
Qty
Loading...

Formulation

Lyophilized from a 0.2 μm filtered solution in PBS with Trehalose. *Small pack size (SP) is supplied either lyophilized or as a 0.2 µm filtered solution in PBS.

Shipping

Lyophilized product is shipped at ambient temperature. Liquid small pack size (-SP) is shipped with polar packs. Upon receipt, store immediately at the temperature recommended below.

Stability & Storage

Use a manual defrost freezer and avoid repeated freeze-thaw cycles.
  • 12 months from date of receipt, -20 to -70 °C as supplied.
  • 1 month, 2 to 8 °C under sterile conditions after reconstitution.
  • 6 months, -20 to -70 °C under sterile conditions after reconstitution.

Background: HSPA8/HSC71

The 70 kDa heat shock proteins (HSP70s) are a highly conserved family of stress response proteins. The HSP70 family of proteins contains both heat/stress inducible and constitutively expressed members known as heat shock cognate proteins. Heat Shock 70 kDa Protein 8 (HSPA8), also known as Heat Shock Cognate Protein 71 (HSC71), HSC70, HSP73, HSPA10 and LPS-associated protein 1 (LAP1), is a 646 amino acid (aa) heat shock cognate protein. Many HSPs function as molecular chaperones, facilitating the folding of other cellular proteins. HSPA8 plays an important role in cells by transiently associating with nascent polypeptides to facilitate correct folding. HSPA8 is a ubiquitously expressed protein and rapidly translocates from the cytoplasm to the nucleus in response to heat shock. Two alternatively spliced variants have been identified. This antibody detects isoform 1 but not isoform 2 (HSC54). Human HSPA8 shares greater than 99% identity with mouse and rat HSPA8.

Long Name

Heat Shock 70 kDa Protein 8

Alternate Names

HSC54, HSC70, HSC71, HSP71, HSP73, HSPA10, NIP71

Entrez Gene IDs

3312 (Human)

Gene Symbol

HSPA8

UniProt

Additional HSPA8/HSC71 Products

Product Documents for Human/Mouse/Rat HSPA8/HSC71 Antibody

Certificate of Analysis

To download a Certificate of Analysis, please enter a lot number in the search box below.

Note: Certificate of Analysis not available for kit components.

Product Specific Notices for Human/Mouse/Rat HSPA8/HSC71 Antibody

For research use only

Loading...
Loading...
Loading...
Loading...