Skip to main content

Human/Mouse/Rat HNF-3 beta/FoxA2 Antibody

R&D Systems, part of Bio-Techne | Catalog # MAB2400

Recombinant Monoclonal Antibody.
R&D Systems, part of Bio-Techne
Catalog #
Availability
Size / Price
Qty
Loading...
MAB2400-100
MAB2400-SP
Conjugate
Catalog #

Key Product Details

Species Reactivity

Human, Mouse, Rat

Applications

Immunohistochemistry, Western Blot, Flow Cytometry

Label

Unconjugated

Antibody Source

Recombinant Monoclonal Rabbit IgG Clone # 2141A

Product Specifications

Immunogen

Human/Mouse/Rat HNF‑3 beta/FoxA2 synthetic peptide
Accession # Q9Y261

Specificity

Detects human HNF‑3 beta/FoxA2 in Western blots.

Clonality

Monoclonal

Host

Rabbit

Isotype

IgG

Scientific Data Images for Human/Mouse/Rat HNF-3 beta/FoxA2 Antibody

Detection of Human HNF-3 beta/FoxA2 antibody by Western Blot.

Detection of Human HNF‑3 beta/FoxA2 by Western Blot.

Western blot shows lysates of human lung tissue and human pancreas tissue. PVDF membrane was probed with 2 µg/mL of Rabbit Anti-Human/Mouse/Rat HNF-3 beta/FoxA2 Monoclonal Antibody (Catalog # MAB2400) followed by HRP-conjugated Anti-Rabbit IgG Secondary Antibody (Catalog # HAF008). A specific band was detected for HNF-3 beta/FoxA2 at approximately 50 kDa (as indicated). This experiment was conducted under reducing conditions and using Immunoblot Buffer Group 1.
Detection of HNF-3 beta /FoxA2 antibody in Human HepG2 Cells antibody by Flow Cytometry.

Detection of HNF‑3 beta /FoxA2 in Human HepG2 Cells by Flow Cytometry.

Human HepG2 cell line was stained with Rabbit Anti-Human/Mouse/Rat HNF-3 beta/FoxA2 Monoclonal Antibody (Catalog # MAB2400, filled histogram) or Normal Rabbit IgG Control (Catalog # MAB1050, open histogram) followed by Phycoerythrin-conjugated Anti-Rabbit IgG Secondary Antibody (Catalog # F0110). To facilitate intracellular staining, cells were fixed and permeabilized with FlowX FoxP3 Fixation & Permeabilization Buffer Kit (Catalog # FC012).
Detection of HNF-3 beta /FoxA2 antibody in Human iPS Cells differentiated to Mesoderm antibody by Flow Cytometry.

Detection of HNF-3 beta /FoxA2 in Human iPS Cells differentiated to Mesoderm by Flow Cytometry.

Human iPS cells differentiated to Mesoderm (Catalog # SC030B) were stained with Rabbit Anti-Human/Mouse/Rat HNF-3 beta/FoxA2 Monoclonal Antibody (Catalog # MAB2400, filled histogram) or Normal Rabbit IgG Control (Catalog # MAB1050, open histogram) followed by Phycoerythrin-conjugated Anti-Rabbit IgG Secondary Antibody (Catalog # F0110). To facilitate intracellular staining, cells were fixed and permeabilized with FlowX FoxP3 Fixation & Permeabilization Buffer Kit (Catalog # FC012).

Applications for Human/Mouse/Rat HNF-3 beta/FoxA2 Antibody

Application
Recommended Usage

Flow Cytometry

0.25 µg/106 cells
Sample: HepG2 Human cell line and iPS cells differentiated to Mesoderm

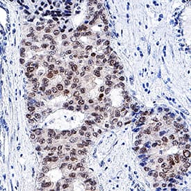
Immunohistochemistry

3-25 µg/mL
Sample: Immersion fixed paraffin-embedded sections of human liver cancer tissue

Western Blot

2 µg/mL
Sample: Human lung tissue and human pancreas tissue

Formulation, Preparation, and Storage

Purification

Protein A or G purified from cell culture supernatant

Reconstitution

Reconstitute at 0.5 mg/mL in sterile PBS. For liquid material, refer to CoA for concentration.

Reconstitution Buffer Available:
Size / Price
Qty
Loading...

Formulation

Lyophilized from a 0.2 μm filtered solution in PBS with Trehalose. *Small pack size (SP) is supplied either lyophilized or as a 0.2 µm filtered solution in PBS.

Shipping

Lyophilized product is shipped at ambient temperature. Liquid small pack size (-SP) is shipped with polar packs. Upon receipt, store immediately at the temperature recommended below.

Stability & Storage

Use a manual defrost freezer and avoid repeated freeze-thaw cycles.
  • 12 months from date of receipt, -20 to -70 °C as supplied.
  • 1 month, 2 to 8 °C under sterile conditions after reconstitution.
  • 6 months, -20 to -70 °C under sterile conditions after reconstitution.

Background: HNF-3 beta/FoxA2

HNF-3 beta, also known as FoxA2, is a member of the forkhead class of DNA-binding proteins. It is a transcriptional activator for liver-specific transcripts such as albumin and transthyretin. Similar family members play roles in the differentiation of the pancreas and liver.

Long Name

Hepatocyte Nuclear Factor-3, beta

Alternate Names

FoxA2, HNF3 beta

Entrez Gene IDs

3170 (Human)

Gene Symbol

FOXA2

UniProt

Additional HNF-3 beta/FoxA2 Products

Product Documents for Human/Mouse/Rat HNF-3 beta/FoxA2 Antibody

Certificate of Analysis

To download a Certificate of Analysis, please enter a lot number in the search box below.

Note: Certificate of Analysis not available for kit components.

Product Specific Notices for Human/Mouse/Rat HNF-3 beta/FoxA2 Antibody

For research use only

Loading...
Loading...
Loading...
Loading...
Loading...