Skip to main content

Human/Mouse/Rat Glypican 1 Antibody

R&D Systems, part of Bio-Techne | Catalog # MAB45191

R&D Systems, part of Bio-Techne

Key Product Details

Species Reactivity

Human, Mouse, Rat

Applications

Immunohistochemistry, Western Blot

Label

Unconjugated

Antibody Source

Monoclonal Mouse IgG1 Clone # 1019770

Product Specifications

Immunogen

Mouse myeloma cell line NS0-derived recombinant human Glypican 1
Asp24-Ser530
Accession # P35052

Specificity

Detects human, mouse, and rat Glypican 1 in Western blots.

Clonality

Monoclonal

Host

Mouse

Isotype

IgG1

Scientific Data Images for Human/Mouse/Rat Glypican 1 Antibody

Detection of Human, Mouse, and Rat Glypican 1 antibody by Western Blot.

Detection of Human, Mouse, and Rat Glypican 1 by Western Blot.

Western blot shows lysates of MDA-MB-231 human breast cancer cell line, MEF mouse embryonic feeder cells, and RBL-1 rat basophilic leukemia cell line. PVDF membrane was probed with 2 µg/mL of Mouse Anti-Human/Mouse/Rat Glypican 1 Monoclonal Antibody (Catalog # MAB45191) followed by HRP-conjugated Anti-Mouse IgG Secondary Antibody (Catalog # HAF018). A specific band was detected for Glypican 1 at approximately 62 kDa (as indicated). This experiment was conducted under reducing conditions and using Immunoblot Buffer Group 1.
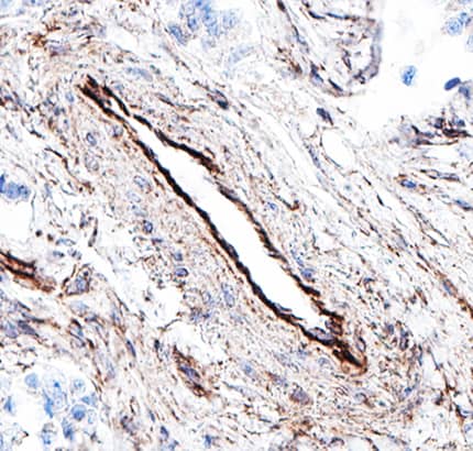
Glypican 1 antibody in Human Placenta by Immunohistochemistry (IHC-P).

Glypican 1 in Human Placenta.

Glypican 1 was detected in immersion fixed paraffin-embedded sections of human placenta using Mouse Anti-Human/Mouse/Rat Glypican 1 Monoclonal Antibody (Catalog # MAB45191) at 5 µg/mL for 1 hour at room temperature followed by incubation with the Anti-Mouse IgG VisUCyte™ HRP Polymer Antibody (Catalog # VC001). Before incubation with the primary antibody, tissue was subjected to heat-induced epitope retrieval using Antigen Retrieval Reagent-Basic (Catalog # CTS013). Tissue was stained using DAB (brown) and counterstained with hematoxylin (blue). Specific staining was localized to endothelial cells. View our protocol for IHC Staining with VisUCyte HRP Polymer Detection Reagents.

Applications for Human/Mouse/Rat Glypican 1 Antibody

Application
Recommended Usage

Immunohistochemistry

5-25 µg/mL
Sample: Immersion fixed paraffin-embedded sections of human placenta

Western Blot

2 µg/mL
Sample: MDA‑MB‑231 human breast cancer cell line, MEF mouse embryonic feeder cells, and RBL‑1 rat basophilic leukemia cell line

Formulation, Preparation, and Storage

Purification

Protein A or G purified from hybridoma culture supernatant

Reconstitution

Reconstitute at 0.5 mg/mL in sterile PBS. For liquid material, refer to CoA for concentration.

Reconstitution Buffer Available:
Size / Price
Qty
Loading...

Formulation

Lyophilized from a 0.2 μm filtered solution in PBS with Trehalose. *Small pack size (SP) is supplied either lyophilized or as a 0.2 µm filtered solution in PBS.

Shipping

Lyophilized product is shipped at ambient temperature. Liquid small pack size (-SP) is shipped with polar packs. Upon receipt, store immediately at the temperature recommended below.

Stability & Storage

Use a manual defrost freezer and avoid repeated freeze-thaw cycles.
  • 12 months from date of receipt, -20 to -70 °C as supplied.
  • 1 month, 2 to 8 °C under sterile conditions after reconstitution.
  • 6 months, -20 to -70 °C under sterile conditions after reconstitution.

Background: Glypican 1

The Glypicans (glypiated proteoglycans) are a small multigene family of GPI-linked proteoglycans that play a key role in growth factor signaling (1, 2, 3, 4). There are six known mammalian Glypicans. They all share a common-sized protein core of 60 - 70 kDa, an N-terminus which likely forms a compact globular domain, 14 conserved cysteines that form multiple intrachain disulfide bonds, and a number of C-terminal N- and O-linked carbohydrate attachment sites. Based on exon organization and the location of O-linked glycosylation sites, at least two subfamilies of Glypicans are known, with one subfamily containing Glypicans 1, 2, 4 and 6, and another subfamily containing Glypicans 3 and 5 (3, 5). Human Glypican 1 (GPC-1) is synthesized as a 558 amino acid (aa) preproprecursor that contains a 23 aa signal sequence, a 507 aa mature segment, and a 28 aa C-terminal prosegment (6, 7). There are two potential N-linked and four potential O-linked sites for glycosylation or glycanation. There are potentially two heparan sulfate (HS) modifications on GPC-1 that could contribute to a native molecular weight of approximately 200 kDa (7, 8, 9). Mature human GPC-1 shares 91% aa identity with mature mouse GPC-1. There are two potential splice variants of human GPC-1. Both show an alternate start site at Met73, while one has an additional 65 aa substitution for the C-terminal 264 amino acids (10, 11). Cells known to express GPC-1 include neurons, smooth and skeletal muscle cells, keratinocytes, osteoblasts, Schwann cells, immature dendritic cells, and tumor, plus tumor-associated vascular endothelial cells (8, 9, 12 - 15). The function of GPC-1 is complex and varied. As a proteoglycan, it appears to make use of its HS adduct to impact select growth factor activity (16). This is accomplished by having juxtramembrane HS attachment sites, and a flexible, GPI-linkage (17). Data suggests GPC-1 and sulfation enzymes may collaborate to regulate FGF signaling. HS modules that are rich in 2-O- and 6-O- sulfate upregulate FGF-2 activation of FGFR1c (18). Similarly, FGF-1 requires both 2-O- and 6-O-sulfation to bind to FGFR2c and 3c. By contract, FGF-1 requires no sulfation to bind to FGFR2b, and FGF-8b needs only 6-O-sulfation to activate FGFR3c. Thus, many FGF receptor isoform specific effects may be attributed to an interaction between Glypican family members and the cell sulfation system (19).

References

  1. Song, H.H. and J. Filmus (2002) Biochim. Biophys. Acta 1573:241.
  2. Fransson, L-A. et al. (2004) Cell. Mol. Life Sci. 61:1016.
  3. De Cat, B. and G. David (2001) Semin. Cell Dev. Biol. 12:117.
  4. Lamoureux, F. et al. (2007) BioEssays 29:758.
  5. Veugelers, M. et al. (1999) J. Biol. Chem. 274:26968.
  6. GenBank Accession # P35052.
  7. David, G. et al. (1990) J. Cell Biol. 111:3165.
  8. Lories, V. et al. (1992) J. Biol. Chem. 267:1116.
  9. Lories, V. et al. (1989) J. Biol. Chem. 264:7009.
  10. GenBank Accession # EAW71184.
  11. GenBank Accession # EAW71183.
  12. Chernousov, M.A. et al. (2006) J. Neurosci. 26:508.
  13. Wegrowski, Y. et al. (2006) Clin. Exp. Immunol. 144:485.
  14. Qiao, D. et al. (2003) J. Biol. Chem. 278:16045.
  15. Kayed, H. et al. (2006) Int. J. Oncol. 29:1139.
  16. Selleck, S.B. (2006) SciSTKE, April 4:pe17.
  17. Qiao, D. et al. (2003) J. Biol. Chem. 278:16045.
  18. Su, G. et al. (2006) Am. J. Pathol. 168:2014.
  19. Allen, B.L. and A.C. Rapraeger (2003) J. Cell Biol. 163:637.

Alternate Names

GPC1

Entrez Gene IDs

2817 (Human); 14733 (Mouse); 58920 (Rat)

Gene Symbol

GPC1

UniProt

Additional Glypican 1 Products

Product Documents for Human/Mouse/Rat Glypican 1 Antibody

Certificate of Analysis

To download a Certificate of Analysis, please enter a lot number in the search box below.

Note: Certificate of Analysis not available for kit components.

Product Specific Notices for Human/Mouse/Rat Glypican 1 Antibody

For research use only

Loading...
Loading...
Loading...
Loading...