Skip to main content

Key Product Details

Species Reactivity

Human, Mouse, Rat

Applications

Immunohistochemistry, Western Blot

Label

Unconjugated

Antibody Source

Monoclonal Mouse IgG2B Clone # 998175

Product Specifications

Immunogen

Human embryonic kidney cell, HEK293-derived human FPRP/PTGFRN
Pro27-Pro832
Accession # Q9P2B2

Specificity

Detects human FPRP/PTGFRN in direct ELISAs. Detects human, mouse, and rat FPRP/PTGFRN in Western blots.

Clonality

Monoclonal

Host

Mouse

Isotype

IgG2B

Scientific Data Images for Human/Mouse/Rat FPRP/PTGFRN Antibody

Detection of Human, Mouse, and Rat FPRP/PTGFRN antibody by Western Blot.

Detection of Human, Mouse, and Rat FPRP/PTGFRN by Western Blot.

Western blot shows lysates of LoVo human colorectal adenocarcinoma cell line, NIH-3T3 mouse embryonic fibroblast cell line, C2C12 mouse myoblast cell line, and PC-12 rat adrenal pheochromocytoma cell line. PVDF membrane was probed with 2 µg/mL of Mouse Anti-Human/Mouse/Rat FPRP/PTGFRN Monoclonal Antibody (Catalog # MAB10043) followed by HRP-conjugated Anti-Mouse IgG Secondary Antibody (Catalog # HAF018). A specific band was detected for FPRP at approximately 135 kDa (as indicated). This experiment was conducted under reducing conditions and using Immunoblot Buffer Group 1.
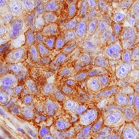
FPRP/PTGFRN antibody in Human Lung Cancer Tissue by Immunohistochemistry (IHC-P).

FPRP/PTGFRN in Human Lung Cancer Tissue.

FPRP/PTGFRN was detected in immersion fixed paraffin-embedded sections of human lung cancer tissue using Mouse Anti-Human FPRP/PTGFRN Monoclonal Antibody (Catalog # MAB10043) at 5 µg/mL for 1 hour at room temperature followed by incubation with the Anti-Mouse IgG VisUCyte™ HRP Polymer Antibody (Catalog # VC001). Before incubation with the primary antibody, tissue was subjected to heat-induced epitope retrieval using Antigen Retrieval Reagent-Basic (Catalog # CTS013). Tissue was stained using DAB (brown) and counterstained with hematoxylin (blue). Specific staining was localized to cell surfaces in cancer cells. View our protocol for IHC Staining with VisUCyte HRP Polymer Detection Reagents.
Detection of FPRP/PTGFRN by Western Blot

Detection of FPRP/PTGFRN by Western Blot

Proteomics analysis of CDsEVs. A,B) Cluster analysis (A) and Venn diagram (B) of the proteomics data for CDsEVs and cochlear tissue. C) Analysis of the proportion of proteins in CDsEVs within the Vesiclepedia and Exocarta databases. D) The volcano map of differentially expressed proteins. E) Verification of CDsEV‐enriched proteins by WB. F–H) GO (F, G) and KEGG (H) analysis of enriched proteins in CDsEVs. The top cellular components (F) and biological processes (G) are shown. Image collected and cropped by CiteAb from the following open publication (https://pubmed.ncbi.nlm.nih.gov/39497619), licensed under a CC-BY license. Not internally tested by R&D Systems.

Applications for Human/Mouse/Rat FPRP/PTGFRN Antibody

Application
Recommended Usage

Immunohistochemistry

5-25 µg/mL
Sample: Immersion fixed paraffin-embedded sections of human lung cancer tissue

Western Blot

2 µg/mL
Sample: LoVo human colorectal adenocarcinoma cell line, NIH‑3T3 mouse embryonic fibroblast cell line, C2C12 mouse myoblast cell line, and PC‑12 rat adrenal pheochromocytoma cell line

Formulation, Preparation, and Storage

Purification

Protein A or G purified from hybridoma culture supernatant

Reconstitution

Reconstitute at 0.5 mg/mL in sterile PBS. For liquid material, refer to CoA for concentration.

Reconstitution Buffer Available:
Size / Price
Qty
Loading...

Formulation

Lyophilized from a 0.2 μm filtered solution in PBS with Trehalose. *Small pack size (SP) is supplied either lyophilized or as a 0.2 µm filtered solution in PBS.

Shipping

Lyophilized product is shipped at ambient temperature. Liquid small pack size (-SP) is shipped with polar packs. Upon receipt, store immediately at the temperature recommended below.

Stability & Storage

Use a manual defrost freezer and avoid repeated freeze-thaw cycles.
  • 12 months from date of receipt, -20 to -70 °C as supplied.
  • 1 month, 2 to 8 °C under sterile conditions after reconstitution.
  • 6 months, -20 to -70 °C under sterile conditions after reconstitution.

Background: FPRP/PTGFRN

FPRP (F2 alpha Prostaglandin receptor Regulatory Protein; also CD315, EWI-F and CD9 partner-1/P-1) is a 130 kDa type I transmembrane (TM) glycoprotein member of the EWI subfamily, Ig superfamily of molecules. It associates with the 7-TM prostaglandin F2 alpha  receptor, inhibiting its activity. It also forms complexes with 4-TM CD9 and CD81, linking these molecules to the intracellular actin cytoskeleton.

Long Name

Prostaglandin F2-alpha Receptor Regulatory Protein

Alternate Names

CD315, CD9P-1, PTGFRN

Entrez Gene IDs

5738 (Human); 19221 (Mouse); 29602 (Rat)

Gene Symbol

PTGFRN

UniProt

Additional FPRP/PTGFRN Products

Product Documents for Human/Mouse/Rat FPRP/PTGFRN Antibody

Certificate of Analysis

To download a Certificate of Analysis, please enter a lot number in the search box below.

Note: Certificate of Analysis not available for kit components.

Product Specific Notices for Human/Mouse/Rat FPRP/PTGFRN Antibody

For research use only

Loading...
Loading...
Loading...
Loading...