Skip to main content

Key Product Details

Species Reactivity

Validated:

Human, Mouse, Rat

Cited:

Human, Mouse, Rat, Avian - Chicken, Hamster, Transgenic Mouse

Applications

Validated:

Immunohistochemistry, Western Blot, Intracellular Staining by Flow Cytometry, Immunocytochemistry, Simple Western, Chromatin Immunoprecipitation (ChIP), CyTOF-ready

Cited:

Immunohistochemistry, Immunohistochemistry-Paraffin, Immunohistochemistry-Frozen, Western Blot, Immunocytochemistry, Immunoprecipitation, Chromatin Immunoprecipitation (ChIP), Chromatin Immunoprecipitation Sequencing, Bioassay, Functional Assay

Label

Unconjugated

Antibody Source

Polyclonal Goat IgG

Product Specifications

Immunogen

E. coli-derived recombinant human beta-Catenin
Ala2-Leu781
Accession # P35222

Specificity

Detects human, mouse and rat beta-Catenin in Western blots.

Clonality

Polyclonal

Host

Goat

Isotype

IgG

Scientific Data Images for Human/Mouse/Rat beta-Catenin Antibody

Detection of Human/Mouse/Rat  beta-Catenin antibody by Western Blot.

Detection of Human/Mouse/Rat beta-Catenin by Western Blot.

Western blot shows lysates of HeLa human cervical epithelial carcinoma cell line, C6 rat glioma cell line, and NIH-3T3 mouse embryonic fibroblast cell line. PVDF membrane was probed with 1 µg/mL Goat Anti-Human/Mouse/Rat beta-Catenin Antigen Affinity-purified Polyclonal Antibody (Catalog # AF1329) followed by HRP-conjugated Anti-Goat IgG Secondary Antibody (Catalog # HAF109). For additional reference, recombinant human beta-catenin (1 ng) was included. A specific band for beta-Catenin was detected at approximately 95 kDa (as indicated). This experiment was conducted under reducing conditions and using Immunoblot Buffer Group 1.
Detection of  beta-Catenin-regul-ated Genes antibody by Chromatin Immunoprecipitation.

Detection of beta‑Catenin-regul-ated Genes by Chromatin Immunoprecipitation.

HeLa human cervical epithelial carcinoma cell line were fixed using formaldehyde, resuspended in lysis buffer, and sonicated to shear chromatin. beta-Catenin/ DNA complexes were immuno-precipitated using 5 µg Goat Anti-Human/Mouse/Rat beta-Catenin Antigen Affinity-purified Polyclonal Antibody (Catalog # AF1329) or control antibody (Catalog # AB-108-C) for 15 minutes in an ultrasonic bath, followed by Biotinylated Anti-Goat IgG Secondary Antibody (Catalog # BAF109). Immuno-complexes were captured using 50 µL of MagCellect Streptavidin Ferrofluid (Catalog # MAG999) and DNA was purified using chelating resin solution. TheSU(Z)12promoter was detected by standard PCR.
beta-Catenin antibody in SW480 Human Cell Line by Immunocytochemistry (ICC).

beta‑Catenin in SW480 Human Cell Line.

beta-Catenin was detected in immersion fixed SW480 human colorectal adenocarcinoma cell line using Goat Anti-Human/Mouse/Rat beta-Catenin Antigen Affinity-purified Polyclonal Antibody (Catalog # AF1329) at 15 µg/mL for 3 hours at room temperature. Cells were stained using the NorthernLights™ 557-conjugated Anti-Goat IgG Secondary Antibody (red; Catalog # NL001) and counterstained with DAPI (blue). Specific staining was localized to cytoplasm and nuclei. View our protocol for Fluorescent ICC Staining of Cells on Coverslips.

Applications for Human/Mouse/Rat beta-Catenin Antibody

Application
Recommended Usage

Chromatin Immunoprecipitation (ChIP)

5 µg/5 x 106 cells
Sample: HeLa human cervical epithelial carcinoma cell line chromatin, SU(Z)12 promoter detected by standard PCR.

CyTOF-ready

Ready to be labeled using established conjugation methods. No BSA or other carrier proteins that could interfere with conjugation.

Immunocytochemistry

5-15 µg/mL
Sample: Immersion fixed SW480 human colorectal adenocarcinoma cell line

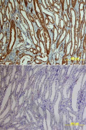
Immunohistochemistry

5-15 µg/mL
Sample: Immersion fixed paraffin-embedded sections of human kidney cancer tissue

Intracellular Staining by Flow Cytometry

2.5 µg/106 cells
Sample: HeLa human cervical epithelial carcinoma cell line fixed with paraformaldehyde and permeabilized with saponin

Simple Western

50 µg/mL
Sample: HeLa human cervical epithelial carcinoma cell line and NIH‑3T3 mouse embryonic fibroblast cell line

Western Blot

1 µg/mL
Sample: HeLa human cervical epithelial carcinoma cell line, C6 rat glioma cell line, and NIH-3T3 mouse embryonic fibroblast cell line

Reviewed Applications

Read 6 reviews rated 4.3 using AF1329 in the following applications:

Formulation, Preparation, and Storage

Purification

Antigen Affinity-purified

Reconstitution

Reconstitute at 0.2 mg/mL in sterile PBS. For liquid material, refer to CoA for concentration.

Reconstitution Buffer Available:
Size / Price
Qty
Loading...

Formulation

Lyophilized from a 0.2 μm filtered solution in PBS with Trehalose. *Small pack size (SP) is supplied either lyophilized or as a 0.2 µm filtered solution in PBS.

Shipping

Lyophilized product is shipped at ambient temperature. Liquid small pack size (-SP) is shipped with polar packs. Upon receipt, store immediately at the temperature recommended below.

Stability & Storage

Use a manual defrost freezer and avoid repeated freeze-thaw cycles.
  • 12 months from date of receipt, -20 to -70 °C as supplied.
  • 1 month, 2 to 8 °C under sterile conditions after reconstitution.
  • 6 months, -20 to -70 °C under sterile conditions after reconstitution.

Background: beta-Catenin

beta-Catenin is a cadherin-associated protein that is involved in the regulation of cell adhesion. It also acts as a transcriptional co-activator in the nucleus and is involved the canonical Wnt signal transduction pathways.

Alternate Names

bCatenin, CTNNB1

Entrez Gene IDs

1499 (Human); 12387 (Mouse); 84353 (Rat)

Gene Symbol

CTNNB1

UniProt

Additional beta-Catenin Products

Product Documents for Human/Mouse/Rat beta-Catenin Antibody

Certificate of Analysis

To download a Certificate of Analysis, please enter a lot number in the search box below.

Note: Certificate of Analysis not available for kit components.

Product Specific Notices for Human/Mouse/Rat beta-Catenin Antibody

For research use only

Loading...
Loading...
Loading...
Loading...
Loading...