Skip to main content

Key Product Details

Species Reactivity

Human, Mouse, Rat

Applications

Immunohistochemistry, Western Blot, Immunocytochemistry

Label

Unconjugated

Antibody Source

Recombinant Monoclonal Rabbit IgG Clone # 2285D

Product Specifications

Immunogen

Synthetic peptide containing human ACTN2
Accession # P35609

Specificity

Detects human ACTN2 in direct ELISAs.

Clonality

Monoclonal

Host

Rabbit

Isotype

IgG

Scientific Data Images for Human/Mouse/Rat alpha Actinin 2 Antibody

Detection of Human, Mouse, and Rat alpha Actinin 2 antibody by Western Blot.

Detection of Human, Mouse, and Rat alpha Actinin 2 by Western Blot.

Western blot shows lysates of human skeletal muscle tissue, mouse skeletal muscle tissue, mouse heart tissue, and rat skeletal muslce tissue. PVDF membrane was probed with 0.2 µg/mL of Rabbit Anti-Human/Mouse/Rat alpha Actinin 2 Monoclonal Antibody (Catalog # MAB9830) followed by HRP-conjugated Anti-Rabbit IgG Secondary Antibody (HAF008). A specific band was detected for alpha Actinin 2 at approximately 100 kDa (as indicated). This experiment was conducted under reducing conditions and using Immunoblot Buffer Group 1.
Alpha Actinin 2 antibody in C2C12 mouse myoblast cell line by Immunocytochemistry (ICC).

Alpha Actinin 2 in C2C12 mouse myoblast cell line.

Alpha Actinin 2 was detected in immersion fixed C2C12 mouse myoblast cell line using Rabbit Anti-Human/Mouse/Rat alpha Actinin 2 Monoclonal Antibody (Catalog # MAB9830) at 3 µg/mL for 3 hours at room temperature. Cells were stained using the NorthernLights™ 557-conjugated Anti-Rabbit IgG Secondary Antibody (red; NL004) and counterstained with DAPI (blue). Specific staining was localized to cytoplasm and nuclei. View our protocol for Fluorescent ICC Staining of Cells on Coverslips.

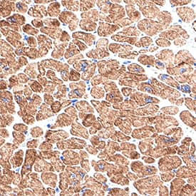
Detection of alpha Actinin 2 in Human Heart.

Alpha Actinin 2 was detected in immersion fixed paraffin-embedded sections of human heart using Rabbit Anti-Human/Mouse/Rat alpha Actinin 2 Monoclonal Antibody (Catalog # MAB9830) at 10 µg/ml for 1 hour at room temperature followed by incubation with the HRP-conjugated Anti-Rabbit IgG Secondary Antibody (Catalog # HAF008) or the Anti-Rabbit IgG VisUCyte™ HRP Polymer Antibody (Catalog # VC003). Before incubation with the primary antibody, tissue was subjected to heat-induced epitope retrieval using VisUCyte Antigen Retrieval Reagent-Basic (Catalog # VCTS021). Tissue was stained using DAB (brown) and counterstained with hematoxylin (blue). Specific staining was localized to the cytoplasm. View our protocol for Chromogenic IHC Staining of Paraffin-embedded Tissue Sections.

Applications for Human/Mouse/Rat alpha Actinin 2 Antibody

Application
Recommended Usage

Immunocytochemistry

3-25 µg/mL
Sample: Immersion fixed C2C12 mouse myoblast cell line

Immunohistochemistry

3-25 µg/mL
Sample: Immersion fixed paraffin-embedded sections of human heart and human skeletal muscle

Western Blot

0.2 µg/mL
Sample: Human skeletal muscle tissue, Mouse skeletal muscle tissue, Mouse heart tissue, and Rat skeletal muslce tissue

Reviewed Applications

Read 1 review rated 5 using MAB9830 in the following applications:

Formulation, Preparation, and Storage

Purification

Protein A or G purified from cell culture supernatant

Reconstitution

Reconstitute at 0.5 mg/mL in sterile PBS. For liquid material, refer to CoA for concentration.

Reconstitution Buffer Available:
Size / Price
Qty
Loading...

Formulation

Lyophilized from a 0.2 μm filtered solution in PBS with Trehalose. See Certificate of Analysis for details.
*Small pack size (-SP) is supplied either lyophilized or as a 0.2 µm filtered solution in PBS.

Shipping

Lyophilized product is shipped at ambient temperature. Liquid small pack size (-SP) is shipped with polar packs. Upon receipt, store immediately at the temperature recommended below.

Stability & Storage

Use a manual defrost freezer and avoid repeated freeze-thaw cycles.
  • 12 months from date of receipt, -20 to -70 °C as supplied.
  • 1 month, 2 to 8 °C under sterile conditions after reconstitution.
  • 6 months, -20 to -70 °C under sterile conditions after reconstitution.

Background: alpha Actinin 2

Actinins are F-actin cross-linking proteins thought to anchor actin to a variety of intracellular structures. alpha-Actinin 2 (ACTN2) is a member of the spectrin superfamily with a predicted molecular weight of approximately 104 kDa.  It is 894 amino acids (aa) in length and shares 99% aa identity with mouse and rat ACTN2.  Two splice forms exist, resulting in 2 distinct isoforms. ACTN2 homodimerizes in an anti-parallel fashion, and can also form heterodimers with ACTN3.

Long Name

Actinin alpha 2

Alternate Names

Actinin alpha 2, Actinin-a2, ACTN2, alpha-Actinin 2, Alpha-Actinin Skeletal Muscle, Alpha-Actinin-2, CMD1AA

Entrez Gene IDs

88 (Human); 11472 (Mouse); 291245 (Rat)

Gene Symbol

ACTN2

UniProt

Additional alpha Actinin 2 Products

Product Documents for Human/Mouse/Rat alpha Actinin 2 Antibody

Certificate of Analysis

To download a Certificate of Analysis, please enter a lot number in the search box below.

Note: Certificate of Analysis not available for kit components.

Product Specific Notices for Human/Mouse/Rat alpha Actinin 2 Antibody

For research use only

Loading...
Loading...
Loading...
Loading...