Skip to main content

Human/Mouse Phospho-Tie-2 (Y992) Antibody

R&D Systems, part of Bio-Techne | Catalog # AF2720

R&D Systems, part of Bio-Techne
Catalog #
Availability
Size / Price
Qty
Loading...
AF2720
AF2720-SP

Key Product Details

Validated by

Biological Validation

Species Reactivity

Validated:

Human, Mouse

Cited:

Human, Mouse, Rat

Applications

Validated:

Immunohistochemistry, Western Blot, Intracellular Staining by Flow Cytometry, CyTOF-ready

Cited:

Immunohistochemistry, Western Blot, Immunocytochemistry, FACS

Label

Unconjugated

Antibody Source

Polyclonal Rabbit IgG

Product Specifications

Immunogen

Phosphopeptide containing human Tie-2 Y992 site

Specificity

Detects human and mouse Tie-2 when phosphorylated at Y992 in Western blots.

Clonality

Polyclonal

Host

Rabbit

Isotype

IgG

Scientific Data Images for Human/Mouse Phospho-Tie-2 (Y992) Antibody

Detection of Mouse Phospho-Tie-2 (Y992) antibody by Western Blot.

Detection of Mouse Phospho-Tie‑2 (Y992) by Western Blot.

Western blot shows lysates of NIH-3T3 mouse embryonic fibroblast cell line transfected with mouse Tie-2 and untreated (-) or treated (+) with 600 ng/mL Recombinant Human Angiopoietin-1 (Catalog # 923-AN) for 5 minutes. PVDF membrane was probed with 0.5 µg/mL of Rabbit Anti-Human/Mouse Phospho-Tie-2 (Y992) Antigen Affinity-purified Polyclonal Antibody (Catalog # AF2720) followed by HRP-conjugated Anti-Rabbit IgG Secondary Antibody (Catalog # HAF008). A specific band was detected for Phospho-Tie-2 (Y992) at approximately 150 kDa (as indicated). This experiment was conducted under reducing conditions and using Immunoblot Buffer Group 1.
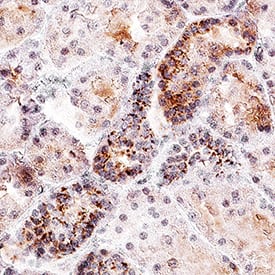
Phospho-Tie-2 (Y992) antibody in Human Kidney Tissue by Immunohistochemistry (IHC-P).

Phospho-Tie-2 (Y992) in Human Kidney Tissue.

Tie-2 was detected in immersion fixed paraffin-embedded sections of human kidney tissue using Rabbit Anti-Human/Mouse Phospho-Tie-2 (Y992) Antigen Affinity-purified Polyclonal Antibody (Catalog # AF2720) at 1 µg/mL overnight at 4 °C. Before incubation with the primary antibody, tissue was subjected to heat-induced epitope retrieval using Antigen Retrieval Reagent-Basic (Catalog # CTS013). Tissue was stained using the Anti-Rabbit IgG VisUCyte™ HRP Polymer Antibody (brown; Catalog # VC003) and counterstained with hematoxylin (blue). Specific staining was localized to cytoplasm in convoluted tubules. View our protocol for IHC Staining with VisUCyte HRP Polymer Detection Reagents.
Detection of Tie-2 antibody in HUVEC Human Cells antibody by Flow Cytometry.

Detection of Tie-2 in HUVEC Human Cells by Flow Cytometry.

HUVEC human umbilical vein endothelial cells were unstimulated (light orange filled histogram) or treated with 100 µM pervanadate for 15 minutes (dark orange filled histogram), then stained with Human/Mouse Phospho- Tie-2 (Y992) Antigen Affinity-purified Polyclonal Antibody (Catalog # AF2720) or control antibody (Catalog # AB-105-C, open histogram), followed by Phycoerythrin-conjugated Anti-Rabbit IgG Secondary Antibody (Catalog # F0110). To facilitate intracellular staining, cells were fixed with paraformaldehyde and permeabilized with methanol.

Applications for Human/Mouse Phospho-Tie-2 (Y992) Antibody

Application
Recommended Usage

CyTOF-ready

Ready to be labeled using established conjugation methods. No BSA or other carrier proteins that could interfere with conjugation.

Immunohistochemistry

1-15 µg/mL
Sample: Immersion fixed paraffin-embedded sections of human kidney tissue

Intracellular Staining by Flow Cytometry

0.25 µg/106 cells
Sample: HUVEC human umbilical vein endothelial cells treated with pervanadate, fixed with paraformaldehyde, and permeabilized with methanol

Western Blot

0.5 µg/mL
Sample: NIH‑3T3 mouse embryonic fibroblast cell line transfected with mouse Tie-2 and treated Recombinant Human Angiopoietin‑1 (Catalog # 923-AN)

Reviewed Applications

Read 2 reviews rated 3 using AF2720 in the following applications:

Formulation, Preparation, and Storage

Purification

Antigen Affinity-purified

Reconstitution

Reconstitute at 0.2 mg/mL in sterile PBS. For liquid material, refer to CoA for concentration.

Reconstitution Buffer Available:
Size / Price
Qty
Loading...

Formulation

Lyophilized from a 0.2 μm filtered solution in PBS with Trehalose. *Small pack size (SP) is supplied either lyophilized or as a 0.2 µm filtered solution in PBS.

Shipping

Lyophilized product is shipped at ambient temperature. Liquid small pack size (-SP) is shipped with polar packs. Upon receipt, store immediately at the temperature recommended below.

Stability & Storage

Use a manual defrost freezer and avoid repeated freeze-thaw cycles.
  • 12 months from date of receipt, -20 to -70 °C as supplied.
  • 1 month, 2 to 8 °C under sterile conditions after reconstitution.
  • 6 months, -20 to -70 °C under sterile conditions after reconstitution.

Background: Tie-2

Tie-2 (also known as TEK) is an angiogenic receptor tyrosine kinase required for the later stage of blood vessel maturation. Ligand binding induces receptor dimerization and autophosphorylation on multiple tyrosine residues. Y992 is located on the putative activation loop of Tie-2 and is a major autophosphorylation site.

Long Name

Tyrosine Kinase with Immunoglobulin and Epidermal Growth Factor Homology Domains 2

Alternate Names

CD202b, TEK, Tie2

Entrez Gene IDs

7010 (Human); 21687 (Mouse); 89804 (Rat); 396729 (Porcine); 403714 (Canine); 102122204 (Cynomolgus Monkey); 30747 (Zebrafish)

Gene Symbol

TEK

Additional Tie-2 Products

Product Documents for Human/Mouse Phospho-Tie-2 (Y992) Antibody

Certificate of Analysis

To download a Certificate of Analysis, please enter a lot number in the search box below.

Note: Certificate of Analysis not available for kit components.

Product Specific Notices for Human/Mouse Phospho-Tie-2 (Y992) Antibody

For research use only

Loading...
Loading...
Loading...
Loading...
Loading...