Skip to main content

Human/Mouse Pax5/BSAP Antibody

R&D Systems, part of Bio-Techne | Catalog # MAB3487

Recombinant Monoclonal Antibody.
R&D Systems, part of Bio-Techne

Key Product Details

Species Reactivity

Validated:

Human, Mouse

Cited:

Human

Applications

Validated:

Multiplex Immunofluorescence, Immunohistochemistry, Western Blot, Flow Cytometry, Immunocytochemistry, Simple Western, COMET

Cited:

Simple Western

Label

Unconjugated

Antibody Source

Recombinant Monoclonal Rabbit IgG Clone # 1207C

Product Specifications

Immunogen

E. coli-derived recombinant human Pax5
Thr141-His391
Accession # Q02548

Specificity

Detects human Pax5 in direct ELISAs and Western blots.

Clonality

Monoclonal

Host

Rabbit

Isotype

IgG

Scientific Data Images for Human/Mouse Pax5/BSAP Antibody

Detection of PAX5 in Human Tonsil via seqIF™ staining on COMET™​

PAX5 was detected in immersion fixed paraffin-embedded sections of human Tonsil using Rabbit Anti-Human PAX5, Monoclonal Antibody (Catalog # MAB9857) at 5ug/mL at 37 ° Celsius for 4 minutes. Before incubation with the primary antibody, tissue underwent an all-in-one dewaxing and antigen retrieval preprocessing using PreTreatment Module (PT Module) and Dewax and HIER Buffer H (pH 9; Epredia Catalog # TA-999-DHBH). Tissue was stained using the Alexa Fluor™ Plus 555 Goat anti-Rabbit IgG Secondary Antibody at 1:100 at 37 ° Celsius for 2 minutes. (Yellow; Lunaphore Catalog # DR555RB) and counterstained with DAPI (blue; Lunaphore Catalog # DR100). Specific staining was localized to the nucleus. Protocol available in COMET™ Panel Builder.
Detection of Human Pax5/BSAP antibody by Western Blot.

Detection of Human Pax5/BSAP by Western Blot.

Western blot shows lysates of Raji human Burkitt's lymphoma cell line, Ramos human Burkitt's lymphoma cell line, Daudi human Burkitt's lymphoma cell line, and Nalm-6 human Pre-B acute lymphocytic leukemia cell line. PVDF membrane was probed with 0.1 µg/mL of Rabbit Anti-Human/Mouse Pax5/BSAP Monoclonal Antibody (Catalog # MAB3487) followed by HRP-conjugated Anti-Rabbit IgG Secondary Antibody (HAF008). A specific band was detected for Pax5/BSAP at approximately 42 kDa (as indicated). This experiment was conducted under reducing conditions and using Immunoblot Buffer Group 1.
Detection of Pax5/BSAP antibody in Human PBMCs antibody by Flow Cytometry.

Detection of Pax5/BSAP in Human PBMCs by Flow Cytometry.

Human peripheral blood mononuclear cells (PBMCs) were stained with Mouse Anti-Human CD19 APC-conjugated Monoclonal Antibody (FAB4867A) and either (A) Rabbit Anti-Human/Mouse Pax5/BSAP Monoclonal Antibody (Catalog # MAB3487) or (B) Normal Rabbit IgG Control (MAB1050) followed by Phycoerythrin-conjugated Anti-Rabbit IgG Secondary Antibody (F0110). To facilitate intracellular staining, cells were fixed and permeabilized with FlowX FoxP3 Fixation & Permeabilization Buffer Kit (FC012). View our protocol for Staining Intracellular Molecules.

Applications for Human/Mouse Pax5/BSAP Antibody

Application
Recommended Usage

COMET

Flow Cytometry

0.25 µg/106 cells
Sample: Human peripheral blood mononuclear cells (PBMCs) fixed and permeabilized with FlowX FoxP3 Fixation & Permeabilization Buffer Kit (Catalog # FC012).

Immunocytochemistry

3-25 µg/mL
Sample: Immersion fixed Daudi human Burkitt's lymphoma cell line (Positive) & Jurkat human acute T cell leukemia cell line (Negative)

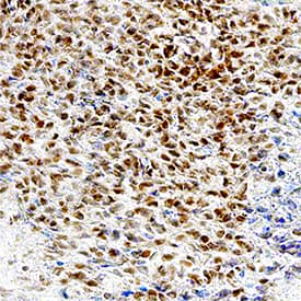
Immunohistochemistry

3-25 µg/mL
Sample: Perfusion fixed frozen sections of mouse embryo (13 d.p.c.)

Multiplex Immunofluorescence

5 µg/mL
Sample: Immersion fixed paraffin-embedded sections of Human Tonsil.

Simple Western

1 µg/mL
Sample: Raji human Burkitt's lymphoma cell line, Ramos human Burkitt's lymphoma cell line, Daudi human Burkitt's lymphoma cell line, and Nalm‑6 human Pre-B acute lymphocytic leukemia cell line

Western Blot

0.1 µg/mL
Sample: Raji human Burkitt's lymphoma cell line, Ramos human Burkitt's lymphoma cell line, Daudi human Burkitt's lymphoma cell line, and Nalm‑6 human Pre-B acute lymphocytic leukemia cell line

Formulation, Preparation, and Storage

Purification

Protein A or G purified from cell culture supernatant

Reconstitution

Reconstitute at 0.5 mg/mL in sterile PBS. For liquid material, refer to CoA for concentration.

Reconstitution Buffer Available:
Size / Price
Qty
Loading...

Formulation

Lyophilized from a 0.2 μm filtered solution in PBS with Trehalose. See Certificate of Analysis for details.
*Small pack size (-SP) is supplied either lyophilized or as a 0.2 µm filtered solution in PBS.

Shipping

Lyophilized product is shipped at ambient temperature. Liquid small pack size (-SP) is shipped with polar packs. Upon receipt, store immediately at the temperature recommended below.

Stability & Storage

Use a manual defrost freezer and avoid repeated freeze-thaw cycles.
  • 12 months from date of receipt, -20 to -70 °C as supplied.
  • 1 month, 2 to 8 °C under sterile conditions after reconstitution.
  • 6 months, -20 to -70 °C under sterile conditions after reconstitution.

Background: Pax5/BSAP

Pax5, also known as BSAP (B-cell-specific transcription factor) is a 42 kDa protein belonging to the paired box transcription factor family. It is a developmental regulator that is important for B-cell lineage commitment and development. Human Pax5 is a 391 amino acid (aa) protein containing the paired DNA-binding domain at the N‑terminal region. Several alternatively spliced isoforms with altered C‑terminal regions and possessing different transactivation properties have been described. All isoforms share the N‑terminal 235 aa with full-length Pax5. Human Pax5 shares 99%, 97% and 94% aa sequence identity with mouse, bovine and canine Pax5, respectively.

Long Name

Paired Box Gene 5/B-cell Specific Activator Protein

Alternate Names

BSAP

Entrez Gene IDs

5079 (Human); 18507 (Mouse)

Gene Symbol

PAX5

UniProt

Additional Pax5/BSAP Products

Product Documents for Human/Mouse Pax5/BSAP Antibody

Certificate of Analysis

To download a Certificate of Analysis, please enter a lot number in the search box below.

Note: Certificate of Analysis not available for kit components.

Product Specific Notices for Human/Mouse Pax5/BSAP Antibody

For research use only

Loading...
Loading...
Loading...
Loading...
Loading...