Skip to main content

Key Product Details

Validated by

Orthogonal Validation

Species Reactivity

Validated:

Human, Mouse

Cited:

Human, Mouse

Applications

Validated:

Multiplex Immunofluorescence, Immunohistochemistry, Western Blot, Dual RNAscope ISH-IHC Compatible, Immunocytochemistry, Simple Western

Cited:

Immunohistochemistry, Immunohistochemistry-Paraffin, Western Blot, Flow Cytometry, Immunocytochemistry, Chromatin Immunoprecipitation (ChIP)

Label

Unconjugated

Antibody Source

Monoclonal Mouse IgG2B Clone # 634913

Product Specifications

Immunogen

E. coli-derived recombinant human GATA-3
Pro135-Ser258
Accession # P23771

Specificity

Detects human and mouse GATA-3 in Western blots.

Clonality

Monoclonal

Host

Mouse

Isotype

IgG2B

Scientific Data Images for Human/Mouse GATA-3 Antibody

Detection of GATA-3 in Human Breast Cancer via Multiplex Immunofluorescence staining on COMET™​

GATA-3 was detected in immersion fixed paraffin-embedded sections of human breast cancer using Mouse Anti-Human GATA-3 Monoclonal Antibody (MAB6330) at 20 µg/mL at 37 ° Celsius for 4 minutes. Before incubation with the primary antibody, tissue underwent an all-in-one dewaxing and antigen retrieval preprocessing using PreTreatment Module (PT Module) and Dewax and HIER Buffer H (pH 9). Tissue was stained using the Alexa Fluor™ 647 Goat anti-Mouse IgG Secondary Antibody at 1:200 at 37 ° Celsius for 2 minutes. (Yellow; Lunaphore Catalog # DR647MS) and counterstained with DAPI (blue; Lunaphore Catalog # DR100). Specific staining was localized to the nucleus with dim cytoplasmic background signal. Protocol available in COMET™ Panel Builder.
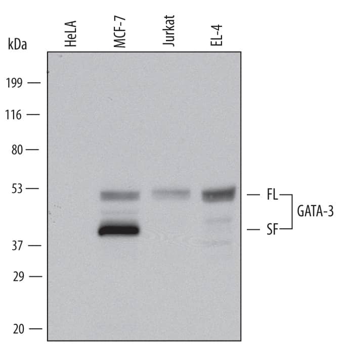
Detection of Human and Mouse GATA-3 antibody by Western Blot.

Detection of Human and Mouse GATA‑3 by Western Blot.

Western blot shows lysates of HeLa human cervical epithelial carcinoma cell line, MCF-7 human breast cancer cell line, Jurkat human acute T cell leukemia cell line, and EL-4 mouse lymphoblast cell line. PVDF Membrane was probed with 0.1 µg/mL of Moue Anti-Human/Mouse GATA-3 Monoclonal Antibody (Catalog # MAB6330) followed by HRP-conjugated Anti-Mouse IgG Secondary Antibody (HAF007). Specific bands were detected for full length (FL) GATA-3 at approximately 52 kDa and the splice form (SF) found in MCF-7 cells at approximately 40 kDa (as indicated). This experiment was conducted under reducing conditions and using Immunoblot Buffer Group 1.
GATA-3 antibody in MCF-7 Human Cell Line by Immunocytochemistry (ICC).

GATA‑3 in MCF‑7 Human Cell Line.

GATA-3 was detected in immersion fixed MCF-7 human breast cancer cell line using Mouse Anti-Human/Mouse GATA-3 Monoclonal Antibody (Catalog # MAB6330) at 3 µg/mL for 3 hours at room temperature. Cells were stained using the NorthernLights™ 557-conjugated Anti-Mouse IgG Secondary Antibody (red; NL007) and counterstained with DAPI (blue). Specific staining was localized to nuclei. View our protocol for Fluorescent ICC Staining of Cells on Coverslips.

Applications for Human/Mouse GATA-3 Antibody

Application
Recommended Usage

Dual RNAscope ISH-IHC Compatible

5-25 µg/mL
Sample: Immersion fixed paraffin-embedded sections of human breast cancer tissue

Immunocytochemistry

3-25 µg/mL
Sample: Immersion fixed MCF-7 human breast cancer cell line

Immunohistochemistry

8-25 µg/mL
Sample: Immersion fixed paraffin-embedded sections of human breast cancer tissue

Multiplex Immunofluorescence

20 µg/mL
Sample: Paraffin embedded tissue sections of Human Breast Cancer

Simple Western

10 µg/mL
Sample: Jurkat human acute T cell leukemia cell line and MCF‑7 human breast cancer cell line

Western Blot

0.1 µg/mL
Sample: HeLa human cervical epithelial carcinoma cell line, MCF‑7 human breast cancer cell line, Jurkat human acute T cell leukemia cell line, and EL‑4 mouse lymphoblast cell line

Reviewed Applications

Read 1 review rated 4 using MAB6330 in the following applications:

Formulation, Preparation, and Storage

Purification

Protein A or G purified from hybridoma culture supernatant

Reconstitution

Reconstitute at 0.5 mg/mL in sterile PBS. For liquid material, refer to CoA for concentration.

Reconstitution Buffer Available:
Size / Price
Qty
Loading...

Formulation

Lyophilized from a 0.2 μm filtered solution in PBS with Trehalose. See Certificate of Analysis for details.
*Small pack size (-SP) is supplied either lyophilized or as a 0.2 µm filtered solution in PBS.

Shipping

Lyophilized product is shipped at ambient temperature. Liquid small pack size (-SP) is shipped with polar packs. Upon receipt, store immediately at the temperature recommended below.

Stability & Storage

Use a manual defrost freezer and avoid repeated freeze-thaw cycles.
  • 12 months from date of receipt, -20 to -70 °C as supplied.
  • 1 month, 2 to 8 °C under sterile conditions after reconstitution.
  • 6 months, -20 to -70 °C under sterile conditions after reconstitution.

Background: GATA-3

GATA-3 belongs to the GATA family of transcription factors, which bind to the consensus DNA sequence (A/T) GATA (A/G) to control diverse tissue-specific programs of gene expression and morphogenesis. It is widely expressed in mesodermal- and endodermal-derived tissues. GATA-3 has been shown to be an essential regulator for immune cell function, sympathetic neuron development and the maintenance of the differentiated state in epithelial cells.

Alternate Names

GATA3

Entrez Gene IDs

2625 (Human); 14462 (Mouse)

Gene Symbol

GATA3

UniProt

Additional GATA-3 Products

Product Documents for Human/Mouse GATA-3 Antibody

Certificate of Analysis

To download a Certificate of Analysis, please enter a lot number in the search box below.

Note: Certificate of Analysis not available for kit components.

Product Specific Notices for Human/Mouse GATA-3 Antibody

For research use only

Loading...
Loading...
Loading...
Loading...